Skip to main content

Key Product Details

Species Reactivity

Validated:

Human

Cited:

Human, Mouse, Rat

Applications

Validated:

Immunohistochemistry, Western Blot, Intracellular Staining by Flow Cytometry, Immunoprecipitation, CyTOF-ready

Cited:

Immunohistochemistry, Western Blot, Immunocytochemistry

Label

Unconjugated

Antibody Source

Polyclonal Goat IgG

Product Specifications

Immunogen

Mouse myeloma cell line NS0-derived recombinant human ECE-1
Gln90-Trp770
Accession # P42892

Specificity

Detects human ECE-1 in direct ELISAs and Western blots. In direct ELISAs and Western blots, approximately 5% cross-reactivity with recombinant human ECE-2 is observed.

Clonality

Polyclonal

Host

Goat

Isotype

IgG

Scientific Data Images for Human ECE-1 Antibody

Detection of ECE-1 antibody in MCF-7 Human Cell Line antibody by Flow Cytometry.

Detection of ECE-1 in MCF-7 Human Cell Line by Flow Cytometry.

MCF-7 human breast cancer cell line was stained with Human ECE-1 Antigen Affinity-purified Polyclonal Antibody (Catalog # AF1784, filled histogram) or control antibody (Catalog # AB-108-C, open histogram), followed by Allophycocyanin-conjugated Anti-Goat IgG Secondary Antibody (Catalog # F0108). To facilitate intracellular staining, cells were fixed with paraformaldehyde and permeabilized with saponin.
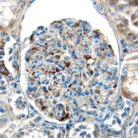
ECE-1 antibody in Human Kidney by Immunohistochemistry (IHC-P).

ECE-1 in Human Kidney.

ECE-1 was detected in immersion fixed paraffin-embedded sections of human kidney using Goat Anti-Human ECE-1 Antigen Affinity-purified Polyclonal Antibody (Catalog # AF1784) at 15 µg/mL overnight at 4 °C. Tissue was stained using the Anti-Goat HRP-DAB Cell & Tissue Staining Kit (brown; Catalog # CTS008) and counterstained with hematoxylin (blue). Specific labeling was localized to the endothelial cells in glomeruli. View our protocol for Chromogenic IHC Staining of Paraffin-embedded Tissue Sections.

Applications for Human ECE-1 Antibody

Application
Recommended Usage

CyTOF-ready

Ready to be labeled using established conjugation methods. No BSA or other carrier proteins that could interfere with conjugation.

Immunohistochemistry

5-15 µg/mL
Sample: Immersion fixed paraffin-embedded sections of human kidney

Immunoprecipitation

25 µg/mL
Sample: Conditioned cell culture medium spiked with Recombinant Human ECE‑1 (Catalog # 1784‑ZN), see our available Western blot detection antibodies

Intracellular Staining by Flow Cytometry

2.5 µg/106 cells
Sample: MCF-7 human breast cancer cell line fixed with paraformaldehyde and permeabilized with saponin

Western Blot

0.1 µg/mL
Sample: Recombinant Human ECE-1 (Catalog # 1784-ZN)

Formulation, Preparation, and Storage

Purification

Antigen Affinity-purified

Reconstitution

Reconstitute at 0.2 mg/mL in sterile PBS. For liquid material, refer to CoA for concentration.

Reconstitution Buffer Available:
Size / Price
Qty
Loading...

Formulation

Lyophilized from a 0.2 μm filtered solution in PBS with Trehalose. *Small pack size (SP) is supplied either lyophilized or as a 0.2 µm filtered solution in PBS.

Shipping

Lyophilized product is shipped at ambient temperature. Liquid small pack size (-SP) is shipped with polar packs. Upon receipt, store immediately at the temperature recommended below.

Stability & Storage

Use a manual defrost freezer and avoid repeated freeze-thaw cycles.
  • 12 months from date of receipt, -20 to -70 °C as supplied.
  • 1 month, 2 to 8 °C under sterile conditions after reconstitution.
  • 6 months, -20 to -70 °C under sterile conditions after reconstitution.

Background: ECE-1

Endothelin-converting Enzyme 1 (ECE-1) is a zinc protease of the neprilysin (NEP) family, which also includes ECE-2, PEX, XCE, DINE, Kell and several NEP-like proteins (1). ECE-1 is a type II transmembrane protein with a short cytoplasmic tail and a large ectodomain. Four alternatively spliced isoforms differ in their cytoplasmic tail (2, 3). In addition to big endothelin-1, ECE-1 cleaves a variety of bioactive peptides such as bradykinin, neurotensin, angiotensin I, and substance P (1). Together with ECE-2, it is also involved in degradation of beta-amyloid peptide (4). The ectodomain of human ECE-1, which is common to all isoforms, was expressed with an N-terminal His tag and purified.

References

  1. Turner, A.J. et al. (2001) BioEssays 23:261.
  2. Valdennaire, O. et al. (1999) Eur. J. Biochem. 264:341.
  3. Schweizer, A. et al. (1997) Biochem. J. 328:871.
  4. Eckman, E.A. et al. (2003) J. Biol. Chem. 278:2081.

Long Name

Endothelin-converting Enzyme-1

Alternate Names

ECE1

Entrez Gene IDs

1889 (Human)

Gene Symbol

ECE1

UniProt

Additional ECE-1 Products

Product Documents for Human ECE-1 Antibody

Certificate of Analysis

To download a Certificate of Analysis, please enter a lot number in the search box below.

Note: Certificate of Analysis not available for kit components.

Product Specific Notices for Human ECE-1 Antibody

For research use only

Loading...
Loading...
Loading...
Loading...
Loading...