Skip to main content

Key Product Details

Species Reactivity

Validated:

Human

Cited:

Human, Mouse, Rat, Bat, Camelid, Ferret, Primate

Applications

Validated:

Immunohistochemistry, Western Blot, Immunocytochemistry, Simple Western

Cited:

Immunohistochemistry, Immunohistochemistry-Paraffin, Immunohistochemistry-Frozen, Western Blot, Neutralization, Flow Cytometry, Immunocytochemistry, Immunoprecipitation, Chromatin Immunoprecipitation (ChIP), Blocking

Label

Unconjugated

Antibody Source

Polyclonal Goat IgG

Product Specifications

Immunogen

Mouse myeloma cell line NS0-derived recombinant human DPPIV/CD26 (Catalog # 1180-SE)
Asp34-Pro766
Accession # Q53TN1

Specificity

Detects human DPPIV/CD26 in direct ELISAs.  In direct ELISAs, less than 5% cross-reactivity with recombinant mouse DPPIV is observed.

Clonality

Polyclonal

Host

Goat

Isotype

IgG

Scientific Data Images for Human DPPIV/CD26 Antibody

Detection of Human DPPIV/CD26 antibody by Western Blot.

Detection of Human DPPIV/CD26 by Western Blot.

Western blot shows lysate of human peripheral blood mononuclear cells (PBMC). PVDF membrane was probed with 0.2 µg/mL of Goat Anti-Human DPPIV/CD26 Antigen Affinity-purified Polyclonal Antibody (Catalog # AF1180) followed by HRP-conjugated Anti-Goat IgG Secondary Antibody (HAF109). A specific band was detected for DPPIV/CD26 at approximately 110 kDa (as indicated). This experiment was conducted under reducing conditions and using Immunoblot Buffer Group 1.
Detection of Human DPPIV/CD26 antibody by Western Blot.

Detection of Human DPPIV/CD26 by Western Blot.

Western blot shows lysate of LoVo human colorectal adenocarcinoma cell line. PVDF membrane was probed with 0.2 µg/mL of Goat Anti-Human DPPIV/CD26 Antigen Affinity-purified Polyclonal Antibody (Catalog # AF1180) followed by HRP-conjugated Anti-Goat IgG Secondary Antibody (HAF017). A specific band was detected for DPPIV/CD26 at approximately 110 kDa (as indicated). This experiment was conducted under reducing conditions and using Immunoblot Buffer Group 1.
DPPIV/CD26 antibody in Human PBMCs by Immunocytochemistry (ICC).

DPPIV/CD26 in Human PBMCs.

DPPIV/CD26 was detected in immersion fixed human peripheral blood mononuclear cells (PBMCs) using Goat Anti-Human DPPIV/CD26 Antigen Affinity-purified Polyclonal Antibody (Catalog # AF1180) at 1.7 µg/mL for 3 hours at room temperature. Cells were stained using the NorthernLights™ 557-conjugated Anti-Goat IgG Secondary Antibody (red; NL001) and counterstained with DAPI (blue). Specific staining was localized to cytoplasm and plasma membranes. View our protocol for Fluorescent ICC Staining of Non-adherent Cells.

Applications for Human DPPIV/CD26 Antibody

Application
Recommended Usage

Immunocytochemistry

1-15 µg/mL
Sample: Immersion fixed human peripheral blood mononuclear cells (PBMCs)

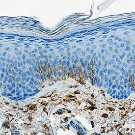
Immunohistochemistry

1-15 µg/mL
Sample: Immersion fixed paraffin-embedded sections of human prostate and psoriatic skin

Simple Western

2 µg/mL
Sample: LoVo human colorectal adenocarcinoma cell line

Western Blot

0.2 µg/mL
Sample: Human peripheral blood mononuclear cells (PBMC) and LoVo human colorectal adenocarcinoma cell line

Reviewed Applications

Read 6 reviews rated 4.7 using AF1180 in the following applications:

Formulation, Preparation, and Storage

Purification

Antigen Affinity-purified

Reconstitution

Reconstitute at 0.2 mg/mL in sterile PBS. For liquid material, refer to CoA for concentration.

Reconstitution Buffer Available:
Size / Price
Qty
Loading...

Formulation

Lyophilized from a 0.2 μm filtered solution in PBS with Trehalose. See Certificate of Analysis for details.
*Small pack size (-SP) is supplied either lyophilized or as a 0.2 µm filtered solution in PBS.

Shipping

Lyophilized product is shipped at ambient temperature. Liquid small pack size (-SP) is shipped with polar packs. Upon receipt, store immediately at the temperature recommended below.

Stability & Storage

Use a manual defrost freezer and avoid repeated freeze-thaw cycles.
  • 12 months from date of receipt, -20 to -70 °C as supplied.
  • 1 month, 2 to 8 °C under sterile conditions after reconstitution.
  • 6 months, -20 to -70 °C under sterile conditions after reconstitution.

Background: DPPIV/CD26

DPPIV/CD26 (EC 3.4.14.5) is a serine exopeptidase that releases Xaa-Pro dipeptides from the N-terminus of oligo- and polypeptides. It is a type II membrane protein consisting of a short cytoplasmic tail, a transmembrane domain, and a long extracellular domain. The extracellular domain contains glycosylation sites, a cysteine-rich region and the catalytic active site (Ser, Asp and His charge relay system). The amino acid sequence of the mouse DPPIV/CD26 extracellular domain is 84% and 91% identical to the human and rat counterparts, respectively. In the native state, DPPIV/CD26 is present as a noncovalently linked homodimer on the cell surface of a variety of cell types. The soluble form is also detectable in human serum and other body fluids, the levels of which may have clinical significance in patients with cancer, liver and kidney diseases, and depression.

DPPIV/CD26 plays an important role in many biological and pathological processes. It functions as T cell-activating molecule (THAM). It serves as a cofactor for entry of HIV in CD4+ cells. It binds adenosine deaminase, the deficiency of which causes severe combined immunodeficiency disease in humans. It cleaves chemokines such as stromal-cell-derived factor 1 alpha and macrophage-derived chemokine. It degrades peptide hormones such as glucagon. It truncates procalcitonin, a marker for systemic bacterial infections with elevated levels detected in patients with thermal injury, sepsis and severe infection, and in children with bacterial meningitis.

Long Name

Dipeptidyl-peptidase IV

Alternate Names

CD26, DPP4

Entrez Gene IDs

1803 (Human); 13482 (Mouse); 397492 (Porcine); 102133935 (Cynomolgus Monkey)

Gene Symbol

DPP4

UniProt

Additional DPPIV/CD26 Products

Product Documents for Human DPPIV/CD26 Antibody

Certificate of Analysis

To download a Certificate of Analysis, please enter a lot number in the search box below.

Note: Certificate of Analysis not available for kit components.

Product Specific Notices for Human DPPIV/CD26 Antibody

For research use only

Loading...
Loading...
Loading...
Loading...