Skip to main content

Key Product Details

Species Reactivity

Human

Applications

Immunohistochemistry, Multiplex Immunofluorescence

Label

Unconjugated

Antibody Source

Monoclonal Mouse IgG1 Clone # 1095112

Product Specifications

Immunogen

Synthetic Peptide
Accession # P27487

Specificity

Detects a synthetic peptide specific for human DPP4 around amino acid 490 in Direct ELISA.

Clonality

Monoclonal

Host

Mouse

Isotype

IgG1

Scientific Data Images for Human DPPIV/CD26 Antibody

Detection of CD26/DPP4 in Human Prostate Cancer via seqIF™ staining on COMET™

CD26/DPP4 Antibody was detected in immersion fixed paraffin-embedded sections of human Prostate Cancer using Mouse Anti-Human CD26/DPP4, Monoclonal Antibody (Catalog #MAB11678) at 25ug/mL at 37° Celsius for 8 minutes. Before incubation with the primary antibody, tissue underwent an all-in-one dewaxing and antigen retrieval preprocessing using PreTreatment Module (PT Module) and Dewax and HIER Buffer H (pH 9; Epredia Catalog # TA-999-DHBH). Tissue was stained using the Alexa Fluor™ 647 Goat anti-Mouse IgG Secondary Antibody at 1:200 at 37 ° Celsius for 2 minutes. (Yellow; Lunaphore Catalog # DR647MS) and counterstained with DAPI (blue; Lunaphore Catalog # DR100). Specific staining was localized to the membrane of lymphatic endothelial cells. Protocol available in COMET™ Panel Builder.

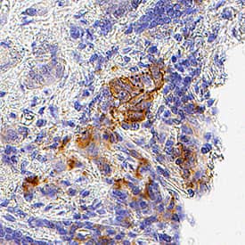
Detection of DPPIV/CD26 in Human Prostate Cancer.

DPPIV/CD26 was detected in immersion fixed paraffin-embedded sections of human prostate cancer using Mouse Anti-Human DPPIV/CD26 Monoclonal Antibody (Catalog # MAB11664) at 5 µg/ml for 1 hour at room temperature followed by incubation with the Anti-Mouse IgG VisUCyte™ HRP Polymer Antibody (Catalog # VC001) or the HRP-conjugated Anti-Mouse IgG Secondary Antibody (Catalog # HAF007). Before incubation with the primary antibody, tissue was subjected to heat-induced epitope retrieval using VisUCyte Antigen Retrieval Reagent-Basic (Catalog # VCTS021). Tissue was stained using DAB (brown) and counterstained with hematoxylin (blue). Specific staining was localized to the membrane of lymphatic vessels. View our protocol for IHC Staining with VisUCyte HRP Polymer Detection Reagents.

Applications for Human DPPIV/CD26 Antibody

Application
Recommended Usage

Immunohistochemistry

3-25 µg/mL
Sample: Immersion fixed paraffin-embedded sections of human prostate cancer

Multiplex Immunofluorescence

25 µg/mL
Sample: Immersion fixed paraffin-embedded sections of human Prostate Cancer.

Formulation, Preparation, and Storage

Purification

Protein A or G purified from hybridoma culture supernatant

Reconstitution

Reconstitute lyophilized material at 0.2 mg/ml in sterile PBS. For liquid material, refer to CoA for concentration.

Reconstitution Buffer Available:
Size / Price
Qty
Loading...

Formulation

Lyophilized from a 0.2 μm filtered solution in PBS with Trehalose.

Shipping

Lyophilized product is shipped at ambient temperature. Liquid small pack size (-SP) is shipped with polar packs. Upon receipt, store immediately at the temperature recommended below.

Stability & Storage

Use a manual defrost freezer and avoid repeated freeze-thaw cycles.
  • 12 months from date of receipt, -20 to -70 °C as supplied.
  • 1 month, 2 to 8 °C under sterile conditions after reconstitution.
  • 6 months, -20 to -70 °C under sterile conditions after reconstitution.

Background: DPPIV/CD26

DPPIV/CD26 (EC 3.4.14.5) is a serine exopeptidase that releases Xaa-Pro dipeptides from the N-terminus of oligo- and polypeptides (1, 2). It is a type II membrane protein consisting of a short cytoplasmic tail, a transmembrane domain, and a long extracellular domain (3‑5). The extracellular domain contains glycosylation sites, a cysteine-rich region and the catalytic active site (Ser, Asp and His charge relay system). The amino acid sequence of the mouse DPPIV/CD26 extracellular domain is 84% and 91% identical to the human and rat counterparts, respectively. In the native state, DPPIV/CD26 is present as a noncovalently linked homodimer on the cell surface of a variety of cell types. The soluble form is also detectable in human serum and other body fluids, the levels of which may have clinical significance in patients with cancer, liver and kidney diseases, and depression. DPPIV/CD26 plays an important role in many biological and pathological processes. It functions as T cell-activating molecule (THAM). It serves as a cofactor for entry of HIV in CD4+ cells (6). It binds adenosine deaminase, the deficiency of which causes severe combined immunodeficiency disease in humans (7). It cleaves chemokines such as stromal-cell-derived factor 1 alpha and macrophage-derived chemokine (8, 9). It degrades peptide hormones such as glucagon (10). It truncates procalcitonin, a marker for systemic bacterial infections with elevated levels detected in patients with thermal injury, sepsis and severe infection, and in children with bacterial meningitis (11).

References

  1. Misumi and Ikehara (1998) in Handbook of Proteolytic Enzymes. Barrett, et al. (eds) San Diego: Academic Press, p. 378.
  2. Ikehara, et al. (1994) Methods Enzymol. 244:215.
  3. Marguet, et al. (1992) J. Biol. Chem. 267:2200.
  4. Bernard, et al. (1994) Biochemistry 33:15204.
  5. Viver, et al. (1991) J. Immunol. 147:447.
  6. Callebaut, et al. (1993) Science 262:2045.
  7. Kameoka, et al. (1993) Science 261:466.
  8. Ohtsuki, et al. (1998) FEBS Lett. 431:236.
  9. Proost, et al. (1999) J. Biol. Chem. 274:3988.
  10. Hinke, et al. (2000) J. Biol. Chem. 275:3827.
  11. Wrenger, et al. (2000) FEBS Lett. 466:155.

Long Name

Dipeptidyl-peptidase IV

Alternate Names

CD26, DPP4

Entrez Gene IDs

1803 (Human); 13482 (Mouse); 397492 (Porcine); 102133935 (Cynomolgus Monkey)

Gene Symbol

DPP4

UniProt

Additional DPPIV/CD26 Products

Product Documents for Human DPPIV/CD26 Antibody

Certificate of Analysis

To download a Certificate of Analysis, please enter a lot number in the search box below.

Note: Certificate of Analysis not available for kit components.

Product Specific Notices for Human DPPIV/CD26 Antibody

For research use only

Loading...
Loading...
Loading...
Loading...