Skip to main content

Key Product Details

Species Reactivity

Validated:

Human

Cited:

Human, Primate - Macaca fascicularis (Crab-eating Monkey or Cynomolgus Macaque), Rabbit

Applications

Validated:

Immunohistochemistry, ELISA Detection (Matched Antibody Pair)

Cited:

Western Blot, ELISA Development

Label

Biotin

Antibody Source

Polyclonal Goat IgG

Product Specifications

Immunogen

Mouse myeloma cell line NS0-derived recombinant human Dkk-3
Ala22-Ile350
Accession # Q9UBP4

Specificity

Detects human Dkk‑3 in ELISAs. In sandwich immunoassays, less than 0.1% cross-reactivity with recombinant mouse (rm) Dkk-1, rmDkk-3, rmDkk-4, recombinant human (rh) Dkk-1, and rhDkk-4 is observed.

Clonality

Polyclonal

Host

Goat

Isotype

IgG

Scientific Data Images for Human Dkk-3 Biotinylated Antibody

Dkk-3 antibody in Human Lung by Immunohistochemistry (IHC-P).

Dkk-3 in Human Lung.

Dkk-3 was detected in immersion fixed paraffin-embedded sections of human lung using Goat Anti-Human Dkk-3 Biotinylated Antigen Affinity-purified Polyclonal Antibody (Catalog # BAF1118) at 15 µg/mL overnight at 4 °C. Tissue was stained using the Anti-Goat HRP-DAB Cell & Tissue Staining Kit (brown; CTS008) and counterstained with hematoxylin (blue). View our protocol for Chromogenic IHC Staining of Paraffin-embedded Tissue Sections.
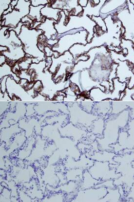
Dkk-3 antibody in Human Lung by Immunohistochemistry (IHC-P).

Dkk‑3 in Human Lung.

Dkk-3 was detected in immersion fixed paraffin-embedded sections of human lung array using Goat Anti-Human Dkk-3 Biotinylated Antigen Affinity-purified Polyclonal Antibody (Catalog # BAF1118) at 15 µg/mL overnight at 4 °C. Tissue was stained using the Anti-Goat HRP-DAB Cell & Tissue Staining Kit (brown; CTS008) and counterstained with hematoxylin (blue). Lower panel shows a lack of labeling if primary antibodies are omitted and tissue is stained only with secondary antibody followed by incubation with detection reagents. View our protocol for Chromogenic IHC Staining of Paraffin-embedded Tissue Sections.

Applications for Human Dkk-3 Biotinylated Antibody

Application
Recommended Usage

Immunohistochemistry

5-15 µg/mL
Sample: Immersion fixed paraffin-embedded sections of human lung

Human Dkk-3 Sandwich Immunoassay

ELISA Detection (Matched Antibody Pair)
Recommended Concentration: 0.1-0.4 µg/mL
Use in combination with these reagents:
  • Capture Reagent: Human Dkk-3 Antibody (Catalog # MAB11181)
  • Standard: Recombinant Human Dkk-3 Protein, CF (Catalog # 1118-DK)
Please Note: Optimal dilutions of this antibody should be experimentally determined.

Formulation, Preparation, and Storage

Purification

Antigen Affinity-purified

Reconstitution

Reconstitute at 0.2 mg/mL in sterile PBS.

Reconstitution Buffer Available:
Size / Price
Qty
Loading...

Formulation

Lyophilized from a 0.2 μm filtered solution in PBS and NaCl with BSA as a carrier protein.

Shipping

The product is shipped at ambient temperature. Upon receipt, store it immediately at the temperature recommended below.

Stability & Storage

Use a manual defrost freezer and avoid repeated freeze-thaw cycles.
  • 12 months from date of receipt, -20 to -70 °C as supplied.
  • 1 month, 2 to 8 °C under sterile conditions after reconstitution.
  • 6 months, -20 to -70 °C under sterile conditions after reconstitution.

Background: Dkk-3

Dkk-3, also known as REIC (Reduced Expansion in Immortalized Cells), is one of four numbered members of the Dickkopf family of Wnt antagonists (1). Dkk-3 is a secreted monomer expressed in many normal human tissues, most strongly in heart, brain and spinal cord (1, 2), and during early embryonic development in the mouse (3). N-glycosylation at up to four sites preceding or between two conserved cysteine-rich motifs results in expression of a 45-65 kDa glycoprotein (1, 4). The cysteine-rich motifs contain 10 cysteines each, with prokineticin and colipase families containing sequences similar to those of the second motif (1, 5). Human Dkk-3 shows 82%, 88%, 85%, and 53% amino acid (aa) identity with mouse, bovine, canine, and chick Dkk-3, respectively, and 37-45% aa identity with other human Dkk family members. Several lines of evidence implicate Dkk-3 as a negative growth regulator. Dkk-3 is downregulated in many tumors as compared to normal cells, sometimes by loss of heterozygosity (4, 6). Downregulation by CpG hypermethylation in acute lymphoblastic leukemia is correlated with faster progression and shorter survival (7). Release of cultured cells from serum starvation results in downregulation of Dkk-3 in late G1 phase of the cell cycle (6). Over-expression of Dkk‑3 results in tumor cell-line-specific growth inhibition, induction of apoptosis, and decreased tumorigenicity in nude mice (2, 4, 6). The prototype Dickkopf member, Dkk-1, antagonizes Wnt family signaling by binding to Wnt receptors LRP5 and LRP6 (low-density lipoprotein receptor-related proteins) and promoting their internalization (1, 9, 10). Results are less straightforward for Dkk-3, where some studies show binding to LRP5/6 while others do not. These effects appear to be dependent on the cells and conditions used (1, 6-10).

References

  1. Krupnik, V.E. et al. (1999) Gene 238:301.
  2. Tsuji, T. et al. (2000) Biochem. Biophys. Res. Comm. 268:20.
  3. Kemp, C. et al. (2005) Dev. Dyn. 233:1064.
  4. Hsieh, S.-Y. et al. (2004) Oncogene 23:9183.
  5. Bullock, C.M. et al. (2004) Mol. Pharmacol. 65:582.
  6. Tsuji, T. et al. (2001) Biochem. Biophys. Res. Comm. 289:257.
  7. Roman-Gomez, J. et al. (2004) Br. J. Cancer 91:707.
  8. Hoang, B.H. et al. (2004) Cancer Res. 64:2734.
  9. Caricasole, A. et al. (2003) J. Biol. Chem. 278:37024.
  10. Mao, B. et al. (2001) Nature 411:321.

Long Name

Dickkopf-3

Alternate Names

Dkk3, REIC

Entrez Gene IDs

27122 (Human); 50781 (Mouse)

Gene Symbol

DKK3

UniProt

Additional Dkk-3 Products

Product Documents for Human Dkk-3 Biotinylated Antibody

Certificate of Analysis

To download a Certificate of Analysis, please enter a lot number in the search box below.

Note: Certificate of Analysis not available for kit components.

Product Specific Notices for Human Dkk-3 Biotinylated Antibody

For research use only

Loading...
Loading...
Loading...
Loading...