Skip to main content

Key Product Details

Species Reactivity

Human

Applications

Immunohistochemistry, Immunocytochemistry

Label

Unconjugated

Antibody Source

Monoclonal Mouse IgG2B Clone # 715511

Product Specifications

Immunogen

Human human embryonic kidney cell line HEK293EBNA-derived recombinant human DEK
Val282-Ser375
Accession # P35659

Specificity

Detects human DEK in direct ELISAs.

Clonality

Monoclonal

Host

Mouse

Isotype

IgG2B

Scientific Data Images for Human DEK Antibody

DEK antibody in HeLa Human Cell Line by Immunocytochemistry (ICC).

DEK in HeLa Human Cell Line.

DEK was detected in immersion fixed HeLa human cervical epithelial carcinoma cell line using Mouse Anti-Human DEK Monoclonal Antibody (Catalog # MAB70201) at 10 µg/mL for 3 hours at room temperature. Cells were stained using the NorthernLights™ 557-conjugated Anti-Mouse IgG Secondary Antibody (red, upper panel; Catalog # NL007) and counterstained with DAPI (blue, lower panel). Specific staining was localized to nucleus. View our protocol for Fluorescent ICC Staining of Cells on Coverslips.
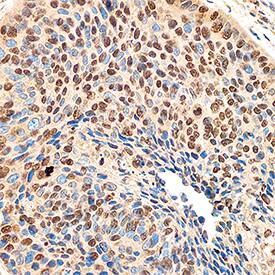
DEK antibody in Human Cervical Cancer Tissue by Immunohistochemistry (IHC-P).

DEK in Human Cervical Cancer Tissue.

DEK was detected in immersion fixed paraffin-embedded sections of human cervical cancer tissue using Mouse Anti-Human DEK Monoclonal Antibody (Catalog # MAB70201) at 5 µg/mL overnight at 4 °C. Tissue was stained using the Anti-Mouse HRP-DAB Cell & Tissue Staining Kit (brown; Catalog # CTS002) and counterstained with hematoxylin (blue). Specific staining was localized to nuclei. View our protocol for Chromogenic IHC Staining of Paraffin-embedded Tissue Sections.

Applications for Human DEK Antibody

Application
Recommended Usage

Immunocytochemistry

8-25 µg/mL
Sample: Immersion fixed HeLa human cervical epithelial carcinoma cell line

Immunohistochemistry

5-15 µg/mL
Sample: Immersion fixed paraffin-embedded sections of human cervical cancer tissue

Reviewed Applications

Read 1 review rated 5 using MAB70201 in the following applications:

Formulation, Preparation, and Storage

Purification

Protein A or G purified from hybridoma culture supernatant

Reconstitution

Sterile PBS to a final concentration of 0.5 mg/mL. For liquid material, refer to CoA for concentration.

Reconstitution Buffer Available:
Size / Price
Qty
Loading...

Formulation

Lyophilized from a 0.2 μm filtered solution in PBS with Trehalose. *Small pack size (SP) is supplied either lyophilized or as a 0.2 µm filtered solution in PBS.

Shipping

Lyophilized product is shipped at ambient temperature. Liquid small pack size (-SP) is shipped with polar packs. Upon receipt, store immediately at the temperature recommended below.

Stability & Storage

Use a manual defrost freezer and avoid repeated freeze-thaw cycles.
  • 12 months from date of receipt, -20 to -70 °C as supplied.
  • 1 month, 2 to 8 °C under sterile conditions after reconstitution.
  • 6 months, -20 to -70 °C under sterile conditions after reconstitution.

Background: DEK

The DEK oncogene is an approximately 45 kDa phosphoprotein with pleiotropic activities. It is a chromatin remodeling factor, a transcriptional coactivator and corepressor, a component of RNA spliceosomes, and a promoter of DNA repair during apoptosis. DEK is upregulated in many cancers and promotes epithelial cell transformation. It functions as a proinflammatory factor when secreted by activated macrophages. It is an autoantigen in juvenile arthritis and lupus and a target of chromosomal translocation with the CAN gene in acute myelogenous leukemia. DEK contains one SAP domain (aa 149-183), one nuclear localization sequence (aa 205-221), and a DNA-binding C-terminal domain (aa 321-375). Within aa 292-375, human DEK shares 95% aa sequence identity with mouse and rat DEK.

Alternate Names

D6S231EDEK oncogene (DNA binding), DEK oncogene, protein DEK

Entrez Gene IDs

7913 (Human); 110052 (Mouse); 306817 (Rat)

Gene Symbol

DEK

UniProt

Additional DEK Products

Product Documents for Human DEK Antibody

Certificate of Analysis

To download a Certificate of Analysis, please enter a lot number in the search box below.

Note: Certificate of Analysis not available for kit components.

Product Specific Notices for Human DEK Antibody

For research use only

Loading...
Loading...
Loading...
Loading...