Skip to main content

Key Product Details

Species Reactivity

Validated:

Human

Cited:

Human, Mouse

Applications

Validated:

Immunohistochemistry, Western Blot, Immunocytochemistry

Cited:

Immunohistochemistry, Immunohistochemistry-Paraffin

Label

Unconjugated

Antibody Source

Monoclonal Mouse IgG2A Clone # LL001

Product Specifications

Immunogen

Human Cytokeratin 14 synthetic peptide
DGKVVSTHEQVLRTKN

Specificity

Detects human Cytokeratin 14 in Western blots.

Clonality

Monoclonal

Host

Mouse

Isotype

IgG2A

Scientific Data Images for Human Cytokeratin 14 Antibody

Cytokeratin 14 in A431 Human Cell Line.

Cytokeratin 14 was detected in immersion fixed A431 human epithelial carcinoma cell line using Mouse Anti-Human Cytokeratin 14 Monoclonal Antibody (Catalog # MAB3164) at 10 µg/mL for 3 hours at room temperature. Cells were stained using the NorthernLights™ 557-conjugated Anti-Mouse IgG Secondary Antibody (red; NL007) and counterstained with DAPI (blue). Specific staining was localized to cytoplasm. Staining was performed using our protocol for Fluorescent ICC Staining of Non-adherent Cells.
Cytokeratin 14 antibody in NHEK Human Normal Epidermal Keratinocytes by Immunocytochemistry (ICC).

Cytokeratin 14 in NHEK Human Normal Epidermal Keratinocytes.

Cytokeratin 14 was detected in immersion fixed NHEK human normal epidermal keratinocytes using Mouse Anti-Human Cytokeratin 14 Monoclonal Antibody (Catalog # MAB3164) at 10 µg/mL for 3 hours at room temperature. Cells were stained using the NorthernLights™ 557-conjugated Anti-Mouse IgG Secondary Antibody (red; Catalog # NL007). CKAP4/p63 was also detected using Sheep Anti-Human CKAP4/p63 Affinity-purified Polyclonal Antibody (Catalog # AF7355) and stained using the NorthernLights™ 493-conjugated Anti-Sheep IgG Secondary Antibody (green; Catalog # NL012). Cells were counterstained with DAPI (blue). Specific staining of Cytokeratin 14 was localized to intermediate filaments. View our protocol for Fluorescent ICC Staining of Cells on Coverslips.

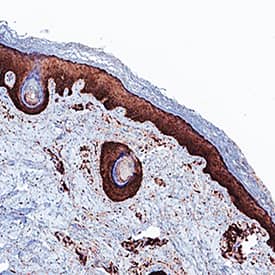
Detection of Cytokeratin 14 in human skin.

Cytokeratin 14 was detected in immersion fixed paraffin-embedded sections of human skin using Mouse Anti-Human Cytokeratin 14 Monoclonal Antibody (Catalog # MAB3164) at 3 µg/mL for 1 hour at room temperature followed by incubation with the Anti-Mouse IgG VisUCyte™ HRP Polymer Antibody (Catalog # VC001). Before incubation with the primary antibody, tissue was subjected to heat-induced epitope retrieval using VisUCyte Antigen Retrieval Reagent-Basic (Catalog # VCTS021). Tissue was stained using DAB (brown) and counterstained with hematoxylin (blue). Specific staining was localized to keratinocytes. View our protocol for IHC Staining with VisUCyte HRP Polymer Detection Reagents.

Applications for Human Cytokeratin 14 Antibody

Application
Recommended Usage

Immunocytochemistry

8-25 µg/mL
Sample: Immersion fixed A431 human epithelial carcinoma cell line and NHEK human normal epidermal keratinocytes

Immunohistochemistry

3-25 µg/mL
Sample: Immersion fixed paraffin-embedded sections of human skin

Western Blot

Purkis, P. et al. (1990) J. Cell Sci. 97:39. This application was not tested by R&D Systems.

Reviewed Applications

Read 3 reviews rated 4 using MAB3164 in the following applications:

Formulation, Preparation, and Storage

Purification

Protein A or G purified from hybridoma culture supernatant

Reconstitution

Reconstitute at 0.5 mg/mL in sterile PBS. For liquid material, refer to CoA for concentration.

Reconstitution Buffer Available:
Size / Price
Qty
Loading...

Formulation

Lyophilized from a 0.2 μm filtered solution in PBS with Trehalose. *Small pack size (SP) is supplied either lyophilized or as a 0.2 µm filtered solution in PBS.

Shipping

Lyophilized product is shipped at ambient temperature. Liquid small pack size (-SP) is shipped with polar packs. Upon receipt, store immediately at the temperature recommended below.

Stability & Storage

Use a manual defrost freezer and avoid repeated freeze-thaw cycles.
  • 12 months from date of receipt, -20 to -70 °C as supplied.
  • 1 month, 2 to 8 °C under sterile conditions after reconstitution.
  • 6 months, -20 to -70 °C under sterile conditions after reconstitution.

Background: Cytokeratin 14

Cytokeratin 14, a type I intermediate filament protein, is one of the two keratins which distinguish stratifying epithelium from simple epithelium.

Alternate Names

CK14, KRT14

Entrez Gene IDs

3861 (Human)

Gene Symbol

KRT14

Additional Cytokeratin 14 Products

Product Documents for Human Cytokeratin 14 Antibody

Certificate of Analysis

To download a Certificate of Analysis, please enter a lot number in the search box below.

Note: Certificate of Analysis not available for kit components.

Product Specific Notices for Human Cytokeratin 14 Antibody

For research use only

Loading...
Loading...
Loading...
Loading...