Skip to main content

Key Product Details

Species Reactivity

Validated:

Human

Cited:

Human

Applications

Validated:

Immunohistochemistry, Western Blot

Cited:

Western Blot, Immunocytochemistry

Label

Unconjugated

Antibody Source

Monoclonal Mouse IgG2B Clone # 468642

Product Specifications

Immunogen

Mouse myeloma cell line NS0-derived recombinant human Collagen XXIII alpha1
Glu111-Lys540
Accession # NP_775736

Specificity

Detects human Collagen XXIII alpha1 in direct ELISAs and Western blots. In direct ELISAs and Western blots, 50% cross-reactivity with recombinant human Collagen XXV alpha1 is observed.

Clonality

Monoclonal

Host

Mouse

Isotype

IgG2B

Scientific Data Images for Human Collagen XXIII  alpha1 Antibody

Detection of Human Collagen XXIII a1 antibody by Western Blot.

Detection of Human Collagen XXIII alpha1 by Western Blot.

Western blot shows lysates of NCI-H460 human large cell lung carcinoma cell line. PVDF Membrane was probed with 2 µg/mL of Human Collagen XXIII a1 Monoclonal Antibody (Catalog # MAB4165) followed by HRP-conjugated Anti-Mouse IgG Secondary Antibody (Catalog # HAF007). Specific bands were detected for Collagen XXIII a1 at approximately 75 and 60 kDa (as indicated). This experiment was conducted under reducing conditions and using Immunoblot Buffer Group 1.
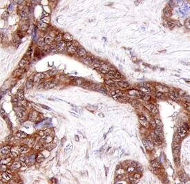
Collagen XXIII a1 antibody in Human Adenocarcinoma by Immunohistochemistry (IHC-P).

Collagen XXIII alpha1 in Human Adenocarcinoma.

Collagen XXIII a1 was detected in immersion fixed paraffin-embedded sections of human adenocarcinoma using Human Collagen XXIII a1 Monoclonal Antibody (Catalog # MAB4165) at 25 µg/mL overnight at 4 °C. Tissue was stained using the Anti-Mouse HRP-DAB Cell & Tissue Staining Kit (brown; Catalog # CTS002) and counterstained with hematoxylin (blue). Specific staining was localized to cytoplasm. View our protocol for Chromogenic IHC Staining of Paraffin-embedded Tissue Sections.

Applications for Human Collagen XXIII  alpha1 Antibody

Application
Recommended Usage

Immunohistochemistry

8-25 µg/mL
Sample: Immersion fixed paraffin-embedded sections of human adenocarcinoma

Western Blot

2 µg/mL
Sample: NCI‑H460 human large cell lung carcinoma cell line

Formulation, Preparation, and Storage

Purification

Protein A or G purified from hybridoma culture supernatant

Reconstitution

Reconstitute at 0.5 mg/mL in sterile PBS. For liquid material, refer to CoA for concentration.

Reconstitution Buffer Available:
Size / Price
Qty
Loading...

Formulation

Lyophilized from a 0.2 μm filtered solution in PBS with Trehalose. *Small pack size (SP) is supplied either lyophilized or as a 0.2 µm filtered solution in PBS.

Shipping

Lyophilized product is shipped at ambient temperature. Liquid small pack size (-SP) is shipped with polar packs. Upon receipt, store immediately at the temperature recommended below.

Stability & Storage

Use a manual defrost freezer and avoid repeated freeze-thaw cycles.
  • 12 months from date of receipt, -20 to -70 °C as supplied.
  • 1 month, 2 to 8 °C under sterile conditions after reconstitution.
  • 6 months, -20 to -70 °C under sterile conditions after reconstitution.

Background: Collagen XXIII alpha 1

Collagen XXIII alpha1 (COL23A1) is an epithelial cell type 2 transmembrane glycoprotein with multiple collagen like domains in its extracellular region. Intracellular furin mediated cleavage of the 68 kDa molecule generates a 58 kDa shed fragment that forms disulfide linked trimers. An alternately spliced isoform consists of nearly 300 amino acids of the membrane proximal extracellular domain (ECD), flanked by substituted sequences. COL23A1 is upregulated in many transformed cell lines and serves as an indicator for tumor aggressiveness in prostate cancer. Within the ECD, human COL23A1 shares 89% aa sequence identity with mouse and rat COL23A1.

Alternate Names

COL23A1

Entrez Gene IDs

91522 (Human); 237759 (Mouse); 353303 (Rat)

Gene Symbol

COL23A1

UniProt

Additional Collagen XXIII alpha 1 Products

Product Documents for Human Collagen XXIII  alpha1 Antibody

Certificate of Analysis

To download a Certificate of Analysis, please enter a lot number in the search box below.

Note: Certificate of Analysis not available for kit components.

Product Specific Notices for Human Collagen XXIII  alpha1 Antibody

For research use only

Loading...
Loading...
Loading...
Loading...