Skip to main content

Key Product Details

Species Reactivity

Validated:

Human

Cited:

Human, Rat

Applications

Validated:

Immunohistochemistry, Western Blot, Immunoprecipitation

Cited:

Immunohistochemistry, Western Blot

Label

Unconjugated

Antibody Source

Monoclonal Mouse IgG2B Clone # 350227

Product Specifications

Immunogen

Mouse myeloma cell line NS0-derived recombinant human Clusterin isoform 1
Asp23-Arg227 (beta) & Ser228-Glu449 (alpha)
Accession # NP_001822

Specificity

Detects human Clusterin in direct ELISAs and Western blots. Does not cross-react with recombinant human Clusterin-like 1, recombinant mouse Clusterin, or recombinant rat Clusterin.

Clonality

Monoclonal

Host

Mouse

Isotype

IgG2B

Scientific Data Images for Human Clusterin Antibody

Detection of Human Clusterin antibody by Western Blot.

Detection of Human Clusterin by Western Blot.

Western blot shows lysates of human liver tissue and human serum. PVDF membrane was probed with 0.5 µg/mL of Mouse Anti-Human Clusterin Monoclonal Antibody (Catalog # MAB2937) followed by HRP-conjugated Anti-Mouse IgG Secondary Antibody (Catalog # HAF018). Specific bands were detected for Clusterin Precursor at approximately 60-65 kDa and Clusterin a chain at approximately 36 kDa (as indicated). This experiment was conducted under reducing conditions and using Immunoblot Buffer Group 1.
Clusterin antibody in Mouse Spleen by Immunohistochemistry (IHC-Fr).

Clusterin in Mouse Spleen.

Clusterin was detected in immersion fixed frozen sections of mouse spleen using Mouse Anti-Human Clusterin Monoclonal Antibody (Catalog # MAB2937) at 5 µg/mL for 1 hour at room temperature followed by incubation with the Anti-Mouse IgG VisUCyte™ HRP Polymer Antibody (Catalog # VC001). Tissue was stained using DAB (brown) and counterstained with hematoxylin (blue). Specific staining was localized to cytoplasm. View our protocol for IHC Staining with VisUCyte HRP Polymer Detection Reagents.
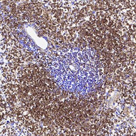
Clusterin antibody in Human Prostate Cancer Tissue by Immunohistochemistry (IHC-P).

Clusterin in Human Prostate Cancer Tissue.

Clusterin was detected in immersion fixed paraffin-embedded sections of human prostate cancer tissue using Mouse Anti-Human Clusterin Monoclonal Antibody (Catalog # MAB2937) at 5 µg/mL for 1 hour at room temperature followed by incubation with the Anti-Mouse IgG VisUCyte™ HRP Polymer Antibody (Catalog # VC001). Tissue was stained using DAB (brown) and counterstained with hematoxylin (blue). Specific staining was localized to cytoplasm. View our protocol for IHC Staining with VisUCyte HRP Polymer Detection Reagents.

Applications for Human Clusterin Antibody

Application
Recommended Usage

Immunohistochemistry

5-25 µg/mL
Sample: Immersion fixed frozen sections of mouse spleen and immersion fixed paraffin-embedded sections of human prostate cancer tissue

Immunoprecipitation

25 µg/mL
Sample: Conditioned cell culture medium spiked with Recombinant Human Clusterin (Catalog # 2937-HS), see our available Western blot detection antibodies

Western Blot

2 µg/mL
Sample:   Human liver tissue and human serum

Formulation, Preparation, and Storage

Purification

Protein A or G purified from hybridoma culture supernatant

Reconstitution

Reconstitute at 0.5 mg/mL in sterile PBS. For liquid material, refer to CoA for concentration.

Reconstitution Buffer Available:
Size / Price
Qty
Loading...

Formulation

Lyophilized from a 0.2 μm filtered solution in PBS with Trehalose. *Small pack size (SP) is supplied either lyophilized or as a 0.2 µm filtered solution in PBS.

Shipping

Lyophilized product is shipped at ambient temperature. Liquid small pack size (-SP) is shipped with polar packs. Upon receipt, store immediately at the temperature recommended below.

Stability & Storage

Use a manual defrost freezer and avoid repeated freeze-thaw cycles.
  • 12 months from date of receipt, -20 to -70 °C as supplied.
  • 1 month, 2 to 8 °C under sterile conditions after reconstitution.
  • 6 months, -20 to -70 °C under sterile conditions after reconstitution.

Background: Clusterin

Clusterin, also known as Apolipoprotein J, Sulfated Glycoprotein 2 (SGP-2), TRPM-2, and SP-40, is a secreted multi-functional protein that was named for its ability to induce cellular clustering. It binds a wide range of molecules and may function as a chaperone of misfolded extracellular proteins. It also participates in the control of cell proliferation, apoptosis, and carcinogenesis (1, 2). Clusterin is predominantly expressed in adult testis, ovary, adrenal gland, liver, heart, and brain and in many epithelial tissues during embryonic development (3). Human Clusterin is synthesized as a precursor that contains two coiled coil domains, three nuclear localization signals (NLS), and one heparin binding domain (4-6). Intracellular cleavages of the precursor remove the signal peptide and generate comparably sized alpha and beta chains which are secreted as an 80 kDa N-glycosylated disulfide-linked heterodimer (7, 8). Mature human Clusterin shares 77% amino acid sequence identity with mouse and rat Clusterin. High μg/mL concentrations of Clusterin circulate predominantly as a component of high density lipoprotein particles, and these are internalized and degraded through interactions with LRP-2/Megalin (9, 10). In human, an alternately spliced 50 kDa isoform of Clusterin (nCLU) lacks the signal peptide and remains intracellular (5, 11). This molecule is neither glycosylated nor cleaved into alpha and beta chains (11). In the cytoplasm, nCLU destabilizes the actin cytoskeleton and inhibits NF kappaB activation (12, 13). Cellular exposure to ionizing radiation promotes the translocation of nCLU to the nucleus where it interacts with Ku70 and promotes apoptosis (5, 11). This function contrasts with the cytoprotective effect of secreted Clusterin (14). During colon cancer tumor progression there is a downregulation of the intracellular form and an upregulation of the glycosylated secreted form (11).

References

  1. Carver, J.A. et al. (2003) IUBMB Life 55:661.
  2. Shannan, B. et al. (2006) Cell Death Differ. 13:12.
  3. French, L.E. et al. (1993) J. Cell Biol. 122:1119.
  4. Kirszbaum, L. et al. (1989) EMBO J. 8:711.
  5. Leskov, K.S. et al. (2003) J. Biol. Chem. 278:11590.
  6. Pankhurst, G.J. et al. (1998) Biochemistry 37:4823.
  7. Burkey, B.F. et al. (1991) J. Lipid. Res. 32:1039.
  8. de Silva, H.V. et al. (1990) J. Biol. Chem. 265:14292.
  9. Jenne, D.E. et al. (1991) J. Biol. Chem. 266:11030.
  10. Kounnas, M.Z. et al. (1995) J. Biol. Chem. 270:13070.
  11. Pucci, S. et al. (2004) Oncogene 23:2298.
  12. Moretti, R. M. et al. (2007) Cancer Res. 67:10325.
  13. Santilli, G. et al. (2003) J. Biol. Chem. 278:38214.
  14. Trougakos, I.P. et al. (2004) Cancer Res. 64:1834.

Alternate Names

APOJ, CLI, CLU, SGP-2, SP-40, TRPM-2

Entrez Gene IDs

1191 (Human); 12759 (Mouse)

Gene Symbol

CLU

UniProt

Additional Clusterin Products

Product Documents for Human Clusterin Antibody

Certificate of Analysis

To download a Certificate of Analysis, please enter a lot number in the search box below.

Note: Certificate of Analysis not available for kit components.

Product Specific Notices for Human Clusterin Antibody

For research use only

Loading...
Loading...
Loading...
Loading...