Skip to main content

Key Product Details

Species Reactivity

Human

Applications

Immunocytochemistry, Immunohistochemistry, Simple Western, Western Blot

Label

Unconjugated

Antibody Source

Monoclonal Mouse IgG Clone # 1086526

Product Specifications

Immunogen

Mouse myeloma cell line, NS0-derived human CKAP-4
His128-Val602
Accession # Q07065

Specificity

Detects recombinant human CKAP4 in Direct ELISA.

Clonality

Monoclonal

Host

Mouse

Isotype

IgG

Scientific Data Images for Human CKAP4/p63 Antibody

Detection of Human CKAP4/p63 by Western Blot.

Western Blot shows lysates of HepG2 human hepatocellular carcinoma cell line and HT1080 human fibrosarcoma cell line. PVDF membrane was probed with 1 µg/ml of Mouse Anti-Human CKAP4/p63 Monoclonal Antibody (Catalog # MAB11600) followed by HRP-conjugated Anti-Mouse IgG Secondary Antibody (Catalog # HAF018). A specific band was detected for CKAP4/p63 at approximately 65 kDa (as indicated). This experiment was conducted under reducing conditions and using Western Blot Buffer Group 1.

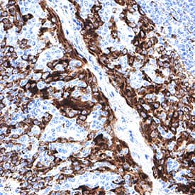
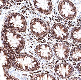
Detection of CKAP4/p63 in Human Colon.

CKAP4/p63 was detected in immersion fixed paraffin-embedded sections of human colon using Mouse Anti-Human CKAP4/p63 Monoclonal Antibody (Catalog # MAB11600) at 5 µg/ml for 1 hour at room temperature followed by incubation with the Anti-Mouse IgG VisUCyte™ HRP Polymer Antibody (Catalog # VC001). Before incubation with the primary antibody, tissue was subjected to heat-induced epitope retrieval using VisUCyte Antigen Retrieval Reagent-Basic (Catalog # VCTS021). Tissue was stained using DAB (brown) and counterstained with hematoxylin (blue). Specific staining was localized to the cell surface and cytoplasm. View our protocol for IHC Staining with VisUCyte HRP Polymer Detection Reagents.

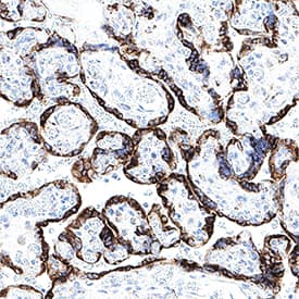
Detection of CKAP4/p63 in Human Placenta.

CKAP4/p63 was detected in immersion fixed paraffin-embedded sections of human placenta using Mouse Anti-Human CKAP4/p63 Monoclonal Antibody (Catalog # MAB11600) at 5 µg/ml for 1 hour at room temperature followed by incubation with the Anti-Mouse IgG VisUCyte™ HRP Polymer Antibody (Catalog # VC001). Before incubation with the primary antibody, tissue was subjected to heat-induced epitope retrieval using VisUCyte Antigen Retrieval Reagent-Basic (Catalog # VCTS021). Tissue was stained using DAB (brown) and counterstained with hematoxylin (blue). Specific staining was localized to the cell surface and cytoplasm. View our protocol for IHC Staining with VisUCyte HRP Polymer Detection Reagents.

Applications for Human CKAP4/p63 Antibody

Application
Recommended Usage

Immunocytochemistry

3-25 µg/mL
Sample: Immersion fixed HT-1080 cells and MG-63 human osteosarcoma cell line

Immunohistochemistry

3-25 µg/mL
Sample: Immersion fixed paraffin-embedded sections of human colon, sections of human placenta and sections of human tonsil

Simple Western

4 µg/mL
Sample: HepG2 human hepatocellular carcinoma cell line

Western Blot

1 µg/mL
Sample: HepG2 human hepatocellular carcinoma cell line and HT1080 human fibrosarcoma cell line

Formulation, Preparation, and Storage

Purification

Protein A or G purified from hybridoma culture supernatant

Reconstitution

Reconstitute lyophilized material at 0.2 mg/ml in sterile PBS. For liquid material, refer to CoA for concentration.

Reconstitution Buffer Available:
Size / Price
Qty
Loading...

Formulation

Lyophilized from a 0.2 μm filtered solution in PBS with Trehalose.

Shipping

Lyophilized product is shipped at ambient temperature. Liquid small pack size (-SP) is shipped with polar packs. Upon receipt, store immediately at the temperature recommended below.

Stability & Storage

Use a manual defrost freezer and avoid repeated freeze-thaw cycles.
  • 12 months from date of receipt, -20 to -70 °C as supplied.
  • 1 month, 2 to 8 °C under sterile conditions after reconstitution.
  • 6 months, -20 to -70 °C under sterile conditions after reconstitution.

Background: CKAP4/p63

CKAP4 (Cytoskeleton-associated protein 4; also CLIMP63 and p63) is a 63-64 kDa molecule that belongs to no known protein family. It is found intracellularly, and on the plasma membrane of select cells such as vascular smooth muscle and Type II Greater alveolar lung cells. CKAP4 has a bimodal distribution. First, it is embedded in the membrane of a compartment that links the ER with the Golgi apparatus. This localization is dependent upon its ability to form homooligomers, and its presence serves to anchor microtubules and direct the formation of tubular ER. Second, it is embedded in the plasma membrane and serves as a receptor for SP-A/surfactant protein-A (in lung) and tPA (in vessels). Human CKAP4 is a 602 amino acid (aa) type II transmembrane nonglycosylated protein. It contains a 106 aa N-terminal cytoplasmic region plus a 475 aa C-terminal luminal domain (aa 128-602). The luminal domain contains three coiled-coil regions (aa 130-214; 256-460; 533-602) plus three utilized phosphorylation sites. CKAP4 undergoes reversible palmitoylation. There are two potential isoform variants. One contains an alternative start at Met269, while another shows a deletion of aa 258-435. Over aa 128-602, human CKAP4 shares 82% aa sequence identity with mouse CKAP4.

Long Name

Cytoskeleton-associated Protein-4/Climp-63

Alternate Names

CLIMP-63, ERGIC-63, p63

Entrez Gene IDs

10970 (Human); 216197 (Mouse); 362859 (Rat)

Gene Symbol

CKAP4

UniProt

Additional CKAP4/p63 Products

Product Documents for Human CKAP4/p63 Antibody

Certificate of Analysis

To download a Certificate of Analysis, please enter a lot number in the search box below.

Note: Certificate of Analysis not available for kit components.

Product Specific Notices for Human CKAP4/p63 Antibody

For research use only

Loading...
Loading...
Loading...
Loading...