Skip to main content

Human CFTR C-Terminus Antibody

R&D Systems, part of Bio-Techne | Catalog # MAB25031

R&D Systems, part of Bio-Techne
Catalog #
Availability
Size / Price
Qty
Loading...
MAB25031
MAB25031-SP

Key Product Details

Validated by

Biological Validation

Species Reactivity

Validated:

Human

Cited:

Human, Mouse, Rat, Amphibian, Fish, Fish - Goldlined seabream, Fish - Plotosus lineatus (Striped Eel Catfish), Frog - Xenopus (African Clawed Frog), Ovine, Primate - Cercopithecus aethiops (African Green Monkey), Primate - Chlorocebus pygerythrus (Vervet Monkey)

Applications

Validated:

Immunohistochemistry, Western Blot, Immunoprecipitation

Cited:

Immunohistochemistry, Immunohistochemistry-Paraffin, Immunohistochemistry-Frozen, Western Blot, Flow Cytometry, Immunocytochemistry, Immunoprecipitation, Co-Immunoprecipitation

Label

Unconjugated

Antibody Source

Monoclonal Mouse IgG2A Clone # 24-1

Product Specifications

Immunogen

Glutathione S-transferase-coupled CFTR
aa 1377-1480
Accession # P13569

Specificity

Detects in vitro synthesized CFTR and endogenous CFTR in Western blots.

Clonality

Monoclonal

Host

Mouse

Isotype

IgG2A

Scientific Data Images for Human CFTR C-Terminus Antibody

CFTR antibody in Human Placenta by Immunohistochemistry (IHC-P).

CFTR in Human Placenta.

CFTR was detected in immersion fixed paraffin-embedded sections of human placenta using 8 µg/mL Mouse Anti-Human CFTR C-Terminus Monoclonal Antibody (Catalog # MAB25031) overnight at 4 °C. Tissue was stained with the Anti-Mouse HRP-AEC Cell & Tissue Staining Kit (red; Catalog # CTS003) and counterstained with hematoxylin (blue). View our protocol for Chromogenic IHC Staining of Paraffin-embedded Tissue Sections.
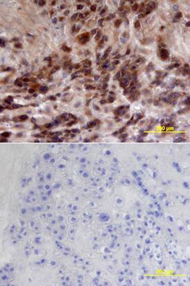
CFTR antibody in Human Placenta by Immunohistochemistry (IHC-P).

CFTR in Human Placenta.

CFTR was detected in immersion fixed paraffin-embedded sections of human placenta using Mouse Anti-Human CFTR C-Terminus Monoclonal Antibody (Catalog # MAB25031) at 25 µg/mL overnight at 4 °C. Tissue was stained using the Anti-Mouse HRP-DAB Cell & Tissue Staining Kit (brown; Catalog # CTS002) and counterstained with hematoxylin (blue). Lower panel shows a lack of labeling if primary antibodies are omitted and tissue is stained only with secondary antibody followed by incubation with detection reagents. View our protocol for Chromogenic IHC Staining of Paraffin-embedded Tissue Sections.
Detection of Human CFTR by Western Blot

Detection of Human CFTR by Western Blot

Chronic exposure to cigarette smoke (CS) decreases airway surface liquid (ASL) height. Primary human airway epithelial cells from 4 donors (n = 8) were exposed to 30 puffs of whole cigarette smoke (2 cigarettes) every day for 5 days (120 hrs). (A) ASL height was measured one hour after each exposure to CS. ASL height was undisturbed over the course of the reading. *p < 0.05. (B) CFTR present at the plasma membrane was detected by immunoblotting after biotinylation of cell surface proteins (see Methods). Image collected and cropped by CiteAb from the following publication (https://pubmed.ncbi.nlm.nih.gov/24957904), licensed under a CC-BY license. Not internally tested by R&D Systems.

Applications for Human CFTR C-Terminus Antibody

Application
Recommended Usage

Immunohistochemistry

8-25 µg/mL
Sample: Immersion fixed paraffin-embedded sections of human placenta

Immunoprecipitation

1-2 µg/106 cells
Sample: T84 human colon carcinoma cell line, see our available Western blot detection antibodies

Western Blot

1 µg/mL
Sample: Human CFTR transfected cell line

Reviewed Applications

Read 13 reviews rated 4.3 using MAB25031 in the following applications:

Formulation, Preparation, and Storage

Purification

Protein A or G purified from hybridoma culture supernatant

Reconstitution

Reconstitute at 0.5 mg/mL in sterile PBS. For liquid material, refer to CoA for concentration.

Reconstitution Buffer Available:
Size / Price
Qty
Loading...

Formulation

Lyophilized from a 0.2 μm filtered solution in PBS with Trehalose. *Small pack size (SP) is supplied either lyophilized or as a 0.2 µm filtered solution in PBS.

Shipping

Lyophilized product is shipped at ambient temperature. Liquid small pack size (-SP) is shipped with polar packs. Upon receipt, store immediately at the temperature recommended below.

Stability & Storage

Use a manual defrost freezer and avoid repeated freeze-thaw cycles.
  • 12 months from date of receipt, -20 to -70 °C as supplied.
  • 1 month, 2 to 8 °C under sterile conditions after reconstitution.
  • 6 months, -20 to -70 °C under sterile conditions after reconstitution.

Background: CFTR

Cystic fibrosis transmembrane conductance regulator (CFTR) is a multi-pass transmembrane protein that functions as a chloride channel. CFTR belongs to the ATP‑binding cassette (ABC) superfamily. Mutations in CFTR cause the pulmonary disease, cystic fibrosis (CF). Specifically, deletion of phenyalanine at position 508 (DeltaF508-CFTR) results in a folding defect which impairs chloride channel function. The mechanism by which channel dysfunction relates to disease symptoms is a focus of intense research. CFTR dysfunction results in disruption of ion transport and subsequent blockage of airways by secreted mucus. CFTR may also play a role in the skeletal muscle atrophy and dysfunction that characterizes CF. In addition, CFTR-mediated chloride secretion underlies fluid accumulation and cyst growth in autosomal dominant polycystic kidney disease (ADPKD).

Long Name

Cystic Fibrosis Transmembrane Conductance Regulator

Alternate Names

ABC35, ABCC7CF, ATP-binding cassette sub-family C member 7, ATP-binding cassette transporter sub-family C member 7, cAMP-dependent chloride channel, CFTR/MRP, Channel conductance-controlling ATPase, cystic fibrosis transmembrane conductance regulator, cystic fibrosis transmembrane conductance regulator (ATP-binding cassettesub-family C, member 7), cystic fibrosis transmembrane conductance regulator, ATP-binding cassette(sub-family C, member 7), dJ760C5.1, EC 3.6.3, MRP7EC 3.6.3.49, TNR-CFTR

Entrez Gene IDs

1080 (Human)

Gene Symbol

CFTR

UniProt

Additional CFTR Products

Product Documents for Human CFTR C-Terminus Antibody

Certificate of Analysis

To download a Certificate of Analysis, please enter a lot number in the search box below.

Note: Certificate of Analysis not available for kit components.

Product Specific Notices for Human CFTR C-Terminus Antibody

For research use only

Loading...
Loading...
Loading...
Loading...