Skip to main content

Key Product Details

Species Reactivity

Human

Applications

Immunohistochemistry, Western Blot

Label

Unconjugated

Antibody Source

Polyclonal Sheep IgG

Product Specifications

Immunogen

E. coli-derived recombinant human CEACAM-7
Asn37-Phe142
Accession # Q14002

Specificity

Detects human CEACAM-7 in direct ELISAs and Western blots. In direct ELISAs and Western blots, less than 15% cross-reactivity with recombinant human (rh) CEACAM-3, rhCEACAM-8, and rhCEACAM-1 is observed and less than 2% cross-reactivity with rhCEACAM-6 and rhCEACAM-5 is observed.

Clonality

Polyclonal

Host

Sheep

Isotype

IgG

Scientific Data Images for Human CEACAM-7 Antibody

Detection of Human CEACAM-7 antibody by Western Blot.

Detection of Human CEACAM-7 by Western Blot.

Western blot shows lysates of LNCaP human prostate cancer cell line, HeLa human cervical epithelial carcinoma cell line and human liver tissue. PVDF membrane was probed with 1 µg/mL of Sheep Anti-Human CEACAM-7 Antigen Affinity-purified Polyclonal Antibody (Catalog # AF4478) followed by HRP-conjugated Anti-Sheep IgG Secondary Antibody (Catalog # HAF016). A specific band was detected for CEACAM-7 at approximately 45 kDa (as indicated). This experiment was conducted under reducing conditions and using Immunoblot Buffer Group 8.
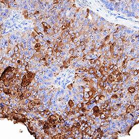
CEACAM-7 antibody in Human Colon Cancer Tissue by Immunohistochemistry (IHC-P).

CEACAM‑7 in Human Colon Cancer Tissue.

CEACAM-7 was detected in immersion fixed paraffin-embedded sections of human colon cancer tissue using Sheep Anti-Human CEACAM-7 Antigen Affinity-purified Polyclonal Antibody (Catalog # AF4478) at 3 µg/mL overnight at 4 °C. Tissue was stained using the Anti-Sheep HRP-DAB Cell & Tissue Staining Kit (brown; Catalog # CTS019) and counterstained with hematoxylin (blue). Specific staining was localized to cell surfaces of cancer cells. View our protocol for Chromogenic IHC Staining of Paraffin-embedded Tissue Sections.

Applications for Human CEACAM-7 Antibody

Application
Recommended Usage

Immunohistochemistry

3-15 µg/mL
Sample: Immersion fixed paraffin-embedded sections of human colon cancer tissue

Western Blot

1 µg/mL
Sample: LNCaP human prostate cancer cell line, HeLa human cervical epithelial carcinoma cell line and human liver tissue

Reviewed Applications

Read 1 review rated 5 using AF4478 in the following applications:

Formulation, Preparation, and Storage

Purification

Antigen Affinity-purified

Reconstitution

Reconstitute at 0.2 mg/mL in sterile PBS. For liquid material, refer to CoA for concentration.

Reconstitution Buffer Available:
Size / Price
Qty
Loading...

Formulation

Lyophilized from a 0.2 μm filtered solution in PBS with Trehalose. *Small pack size (SP) is supplied either lyophilized or as a 0.2 µm filtered solution in PBS.

Shipping

Lyophilized product is shipped at ambient temperature. Liquid small pack size (-SP) is shipped with polar packs. Upon receipt, store immediately at the temperature recommended below.

Stability & Storage

Use a manual defrost freezer and avoid repeated freeze-thaw cycles.
  • 12 months from date of receipt, -20 to -70 °C as supplied.
  • 1 month, 2 to 8 °C under sterile conditions after reconstitution.
  • 6 months, -20 to -70 °C under sterile conditions after reconstitution.

Background: CEACAM-7

CEACAM-7 (carcinoembryonic antigen cell adhesion molecule 7; also CGM2) is a 40‑45 kDa member of the CEACAM subfamily of the CEA family of proteins. It has a restricted expression pattern, being found on epithelium of the colon, appendix and pancreatic ducts. It is markedly down‑regulated in colon carcinoma. Mature human CEACAM-7 is a 209 amino acid (aa), GPI-linked glycoprotein. It contains one V-type (aa 36‑142) and one C2-type (aa 146‑233) Ig-like domain, plus a 21 aa C‑terminal propeptide. One alternate splice form exists that shows a deletion of aa 143‑235. No definitive rodent CEACAM-7 has been reported.

Long Name

Carcinoembryonic Antigen-related Cell Adhesion Molecule 7

Alternate Names

CEACAM7, CGM2

Entrez Gene IDs

1087 (Human)

Gene Symbol

CEACAM7

UniProt

Additional CEACAM-7 Products

Product Documents for Human CEACAM-7 Antibody

Certificate of Analysis

To download a Certificate of Analysis, please enter a lot number in the search box below.

Note: Certificate of Analysis not available for kit components.

Product Specific Notices for Human CEACAM-7 Antibody

For research use only

Loading...
Loading...
Loading...
Loading...