Skip to main content

Key Product Details

Species Reactivity

Human

Applications

CyTOF-ready, ELISA, Flow Cytometry, Immunohistochemistry

Label

Unconjugated

Antibody Source

Monoclonal Mouse IgG1 Clone # 962703

Product Specifications

Immunogen

Chinese Hamster Ovary cell line, CHO-derived recombinant human CEACAM-7
Thr36-Asn233
Accession # Q14002

Specificity

Detects human CEACAM-7 in direct ELISAs.

Clonality

Monoclonal

Host

Mouse

Isotype

IgG1

Scientific Data Images for Human CEACAM-7 Antibody

Detection of CEACAM-7 antibody in HEK293 Human Cell Line Transfected with Human CEACAM-7 and eGFP antibody by Flow Cytometry.

Detection of CEACAM‑7 in HEK293 Human Cell Line Transfected with Human CEACAM-7 and eGFP by Flow Cytometry.

HEK293 human embryonic kidney cell line transfected with human CEACAM-7 and eGFP was stained with either (A) Mouse Anti-Human CEACAM-7 Monoclonal Antibody (Catalog # MAB44781) or (B) Mouse IgG1 Isotype Control (Catalog # MAB002) followed by APC-conjugated Anti-Mouse IgG Secondary Antibody(Catalog # F0101B). View our protocol for Staining Membrane-associated Proteins.
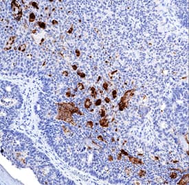
CEACAM-7 antibody in Human Colon Cancer Tissue by Immunohistochemistry (IHC-P).

CEACAM‑7 in Human Colon Cancer Tissue.

CEACAM-7 was detected in immersion fixed paraffin-embedded sections of human colon cancer tissue using Mouse Anti-Human CEACAM-7 Monoclonal Antibody (Catalog # MAB44781) at 5 µg/mL for 1 hour at room temperature followed by incubation with the Anti-Mouse IgG VisUCyte™ HRP Polymer Antibody (Catalog # VC001). Tissue was stained using DAB (brown) and counterstained with hematoxylin (blue). Specific staining was localized to cytoplasm. View our protocol for IHC Staining with VisUCyte HRP Polymer Detection Reagents.
Human CEACAM-7 Antibody in ELISA Standard Curve.

Human CEACAM‑7 ELISA Standard Curve.

Recombinant Human CEACAM-7 protein was serially diluted 2-fold and captured by Mouse Anti-Human CEACAM-7 Monoclonal Antibody (Catalog # MAB44782) coated on a Clear Polystyrene Microplate (Catalog # DY990). Mouse Anti-Human CEACAM-7 Monoclonal Antibody (Catalog # MAB44781) was biotinylated and incubated with the protein captured on the plate. Detection of the standard curve was achieved by incubating Streptavidin-HRP (Catalog # DY998) followed by Substrate Solution (Catalog # DY999) and stopping the enzymatic reaction with Stop Solution (Catalog # DY994).

Applications for Human CEACAM-7 Antibody

Application
Recommended Usage

CyTOF-ready

Ready to be labeled using established conjugation methods. No BSA or other carrier proteins that could interfere with conjugation.

ELISA

This antibody functions as an ELISA detection antibody when paired with Mouse Anti-Human CEACAM‑7 Monoclonal Antibody (Catalog # MAB44782).

This product is intended for assay development on various assay platforms requiring antibody pairs. We recommend the Human CEACAM-7 DuoSet ELISA Kit (Catalog # DY4478-05) for convenient development of a sandwich ELISA.

Flow Cytometry

0.25 µg/106 cells
Sample: HEK293 Human Cell Line Transfected with Human CEACAM-7 and eGFP

Immunohistochemistry

5-25 µg/mL
Sample: Immersion fixed paraffin-embedded sections of human colon cancer tissue

Reviewed Applications

Read 1 review rated 5 using MAB44781 in the following applications:

Formulation, Preparation, and Storage

Purification

Protein A or G purified from hybridoma culture supernatant

Reconstitution

Reconstitute at 0.5 mg/mL in sterile PBS. For liquid material, refer to CoA for concentration.

Reconstitution Buffer Available:
Size / Price
Qty
Loading...

Formulation

Lyophilized from a 0.2 μm filtered solution in PBS with Trehalose. *Small pack size (SP) is supplied either lyophilized or as a 0.2 µm filtered solution in PBS.

Shipping

Lyophilized product is shipped at ambient temperature. Liquid small pack size (-SP) is shipped with polar packs. Upon receipt, store immediately at the temperature recommended below.

Stability & Storage

Use a manual defrost freezer and avoid repeated freeze-thaw cycles.
  • 12 months from date of receipt, -20 to -70 °C as supplied.
  • 1 month, 2 to 8 °C under sterile conditions after reconstitution.
  • 6 months, -20 to -70 °C under sterile conditions after reconstitution.

Background: CEACAM-7

Carcinoembryonic antigen-related cell adhesion molecule 7 (CEACAM-7), also known as CGM2, is an approximately 40 kDa GPI-anchored glycoprotein in the CEACAM family of adhesion molecules (1). Mature human CEACAM-7 consists of two Ig-like domains followed by the GPI anchor (2). Alternative splicing generates a short isoform that lacks the second Ig-like domain. CEACAM-7 is preferentially expressed on the luminal surface of epithelial cells near the mouth of colonic crypts and on pancreatic ductal epithelial cells (3, 4). It is down-regulated during colorectal adenoma progression (2-6) but can be up-regulated during the development of gastric carcinoma (7). R&D Systems in-house testing indicates that CEACAM-7 binds to CEACAM-1, consistent with the heterophilic interaction of CEACAM-1 with other CEACAM family members (1, 8, 9).

References

  1. Tchoupa, A.K. et al. (2014) Cell Commun. Signal. 12:27.
  2. Thompson, J. et al. (1994) J. Biol. Chem. 269:32924.
  3. Thompson, J. et al. (1997) Cancer Res. 57:1776.
  4. Scholzel, S. et al. (2000) Am. J. Pathol. 156:595.
  5. Nollau, P. et al. (1997) Cancer Res. 57:2354.
  6. Nollau, P. et al. (1997) Am. J. Pathol. 151:521.
  7. Zhou, J. et al. (2011) World J. Surgical Oncol. 9:172.
  8. Markel, G. et al. (2004) J. Immunol. 173:3732.
  9. Oikawa, S. et al. (1992) Biochem. Biophys. Res. Commun. 186:881.

Long Name

Carcinoembryonic Antigen-related Cell Adhesion Molecule 7

Alternate Names

CEACAM7, CGM2

Entrez Gene IDs

1087 (Human)

Gene Symbol

CEACAM7

UniProt

Additional CEACAM-7 Products

Product Documents for Human CEACAM-7 Antibody

Certificate of Analysis

To download a Certificate of Analysis, please enter a lot number in the search box below.

Note: Certificate of Analysis not available for kit components.

Product Specific Notices for Human CEACAM-7 Antibody

For research use only

Loading...
Loading...
Loading...
Loading...
Loading...