Skip to main content

Key Product Details

Species Reactivity

Human

Applications

Immunocytochemistry, Immunohistochemistry, Simple Western, Western Blot

Label

Unconjugated

Antibody Source

Monoclonal Mouse IgG2B Clone # 1092920

Product Specifications

Immunogen

E. coli-derived recombinant human CDK-6
Met1-Ala326
Accession # Q00534

Specificity

Detects recombinant human CDK-6 protein in Direct ELISA.

Clonality

Monoclonal

Host

Mouse

Isotype

IgG2B

Scientific Data Images for Human Cdk6 Antibody

Detection of Human Cdk6 by Western Blot.

Western Blot shows lysates of Jurkat human acute T cell leukemia cell line and SUP-T1 human T cell lymphoblastic lymphoma cell line. PVDF membrane was probed with 0.5 µg/ml of Mouse Anti-Human Cdk6 Monoclonal Antibody (Catalog # MAB11636) followed by HRP-conjugated Anti-Mouse IgG Secondary Antibody (Catalog # HAF018). A specific band was detected for Cdk6 at approximately 36 kDa (as indicated). This experiment was conducted under reducing conditions and using Western Blot Buffer Group 1.

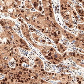
Detection of Cdk6 in Human Lung Cancer.

Cdk6 was detected in immersion fixed paraffin-embedded sections of human lung cancer using Mouse Anti-Human Cdk6 Monoclonal Antibody (Catalog # MAB11636) at 5 µg/ml for 1 hour at room temperature followed by incubation with the Anti-Mouse IgG VisUCyte™ HRP Polymer Antibody (Catalog # VC001). Before incubation with the primary antibody, tissue was subjected to heat-induced epitope retrieval using VisUCyte Antigen Retrieval Reagent-Basic (Catalog # VCTS021). Tissue was stained using DAB (brown) and counterstained with hematoxylin (blue). Specific staining was localized to the nucleus and cytoplasm. View our protocol for IHC Staining with VisUCyte HRP Polymer Detection Reagents.

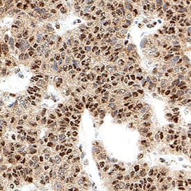
Detection of Cdk6 in Human Pancreatic Cancer.

Cdk6 was detected in immersion fixed paraffin-embedded sections of human pancreatic cancer using Mouse Anti-Human Cdk6 Monoclonal Antibody (Catalog # MAB11636) at 5 µg/ml for 1 hour at room temperature followed by incubation with the Anti-Mouse IgG VisUCyte™ HRP Polymer Antibody (Catalog # VC001). Before incubation with the primary antibody, tissue was subjected to heat-induced epitope retrieval using VisUCyte Antigen Retrieval Reagent-Basic (Catalog # VCTS021). Tissue was stained using DAB (brown) and counterstained with hematoxylin (blue). Specific staining was localized to the nucleus and cytoplasm. View our protocol for IHC Staining with VisUCyte HRP Polymer Detection Reagents.

Applications for Human Cdk6 Antibody

Application
Recommended Usage

Immunocytochemistry

3-25 µg/mL
Sample: Immersion fixed HepG2 human hepatocellular carcinoma cell line

Immunohistochemistry

3-25 µg/mL
Sample: Immersion fixed paraffin-embedded sections of human lung cancer and human pancreatic cancer tissue sections

Simple Western

10 µg/mL
Sample: Jurkat human acute T cell leukemia cell line and SUP-T1 human T cell lymphoblastic lymphoma cell line

Western Blot

0.5 µg/mL
Sample: Jurkat human acute T cell leukemia cell line and SUP-T1 human T cell lymphoblastic lymphoma cell line

Formulation, Preparation, and Storage

Purification

Protein A or G purified from hybridoma culture supernatant

Reconstitution

Reconstitute lyophilized material at 0.2 mg/ml in sterile PBS. For liquid material, refer to CoA for concentration.

Reconstitution Buffer Available:
Size / Price
Qty
Loading...

Formulation

Lyophilized from a 0.2 μm filtered solution in PBS with Trehalose.

Shipping

Lyophilized product is shipped at ambient temperature. Liquid small pack size (-SP) is shipped with polar packs. Upon receipt, store immediately at the temperature recommended below.

Stability & Storage

Use a manual defrost freezer and avoid repeated freeze-thaw cycles.
  • 12 months from date of receipt, -20 to -70 °C as supplied.
  • 1 month, 2 to 8 °C under sterile conditions after reconstitution.
  • 6 months, -20 to -70 °C under sterile conditions after reconstitution.

Background: Cdk6

Cell division protein kinase 6 (CDK6) is an enzyme that is regulated by Cyclin D proteins and Cyclin-dependent kinase inhibitor proteins. CDK6 plays an important role in hematopoiesis and loss of CDK6 causes mild anemia, thymic atrophy and delayed G1 progression in lymphocytes.  Overexpression of CDK6 has been reported in T-cell lymphoblastic lymphoma and leukemia and in all B-lymphoid malignancies.

References

  1. Meyerson M, Harlow E. Identification of G1 kinase activity for cdk6, a novel cyclin D partner. Mol Cell Biol. 1994 Mar;14(3):2077-86. doi: 10.1128/mcb.14.3.2077-2086.1994. PMID: 8114739; PMCID: PMC358568. 
  2. Nebenfuehr S, Kollmann K, Sexl V. The role of CDK6 in cancer. Int J Cancer. 2020 Dec 1;147(11):2988-2995. doi: 10.1002/ijc.33054. Epub 2020 May 30. PMID: 32406095; PMCID: PMC7586846.

Long Name

Cyclin-dependent kinase 6

Alternate Names

CDKN6

Entrez Gene IDs

1021 (Human); 12571 (Mouse)

Gene Symbol

CDK6

UniProt

Additional Cdk6 Products

Product Documents for Human Cdk6 Antibody

Certificate of Analysis

To download a Certificate of Analysis, please enter a lot number in the search box below.

Note: Certificate of Analysis not available for kit components.

Product Specific Notices for Human Cdk6 Antibody

For research use only

Loading...
Loading...
Loading...
Loading...