Skip to main content

Human CD9 Antibody

R&D Systems, part of Bio-Techne | Catalog # MAB25292

R&D Systems, part of Bio-Techne
Catalog #
Availability
Size / Price
Qty
Loading...
MAB25292-100
MAB25292-SP

Key Product Details

Species Reactivity

Validated:

Human

Cited:

Human

Applications

Validated:

Immunohistochemistry, Western Blot, Flow Cytometry, Immunocytochemistry, CyTOF-ready

Cited:

Immunohistochemistry

Label

Unconjugated

Antibody Source

Monoclonal Mouse IgG2B Clone # 1021007

Product Specifications

Immunogen

Chinese Hamster Ovary cell line, CHO-derived human CD9
Ser112-Ile195
Accession # P21926

Specificity

Detects human CD9 in direct ELISAs.

Clonality

Monoclonal

Host

Mouse

Isotype

IgG2B

Scientific Data Images for Human CD9 Antibody

Detection of Human CD9 antibody by Western Blot.

Detection of Human CD9 by Western Blot.

Western blot shows lysates of TIME human endothelial cell line and human platelets. PVDF membrane was probed with 2 µg/mL of Mouse Anti-Human CD9 Monoclonal Antibody (Catalog # MAB25292) followed by HRP-conjugated Anti-Mouse IgG Secondary Antibody (Catalog # HAF018). A specific band was detected for CD9 at approximately 24 kDa (as indicated). This experiment was conducted under reducing conditions and using Immunoblot Buffer Group 1.
Detection of CD9 antibody in Human Platelets antibody by Flow Cytometry.

Detection of CD9 in Human Platelets by Flow Cytometry.

Human peripheral blood platelets were stained with A) Mouse Anti-Human CD9 Monoclonal Antibody (Catalog # MAB25292) or B) isotype control antibody (Catalog # MAB0041) followed by anti-Mouse IgG PE-conjugated Secondary Antibody (Catalog # F0102B) and Mouse anti-Human Integrin alpha 2b/CD41 APC-conjugated antibody (Catalog # FAB7616A). View our protocol for Staining Membrane-associated Proteins.
CD9 antibody in RPMI 8226 Human Cell Line by Immunocytochemistry (ICC).

CD9 in RPMI 8226 Human Cell Line.

CD9 was detected in immersion fixed RPMI 8226 human multiple myeloma cell line (left panel; positive staining) and U937 human histiocytic lymphoma cell line (right panel; negative staining) using Mouse Anti-Human CD9 Monoclonal Antibody (Catalog # MAB25292) at 8 µg/mL for 3 hours at room temperature. Cells were stained using the NorthernLights™ 557-conjugated Anti-Mouse IgG Secondary Antibody (red; Catalog # NL007) and counterstained with DAPI (blue). Specific staining was localized to cell surface . View our protocol for Fluorescent ICC Staining of Cells on Coverslips.

Applications for Human CD9 Antibody

Application
Recommended Usage

CyTOF-ready

Ready to be labeled using established conjugation methods. No BSA or other carrier proteins that could interfere with conjugation.

Flow Cytometry

0.25 µg/106 cells
Sample: Human platelets

Immunocytochemistry

5-25 µg/mL
Sample: Immersion fixed RPMI 8226 human multiple myeloma cell line

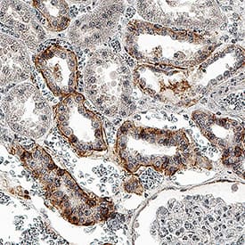
Immunohistochemistry

5-25 µg/mL
Sample: Immersion fixed paraffin-embedded sections of human kidney tissue

Western Blot

2 µg/mL
Sample: TIME human endothelial cell line and Human platelets

Formulation, Preparation, and Storage

Purification

Protein A or G purified from hybridoma culture supernatant

Reconstitution

Reconstitute at 0.5 mg/mL in sterile PBS. For liquid material, refer to CoA for concentration.

Reconstitution Buffer Available:
Size / Price
Qty
Loading...

Formulation

Lyophilized from a 0.2 μm filtered solution in PBS with Trehalose. *Small pack size (SP) is supplied either lyophilized or as a 0.2 µm filtered solution in PBS.

Shipping

Lyophilized product is shipped at ambient temperature. Liquid small pack size (-SP) is shipped with polar packs. Upon receipt, store immediately at the temperature recommended below.

Stability & Storage

Use a manual defrost freezer and avoid repeated freeze-thaw cycles.
  • 12 months from date of receipt, -20 to -70 °C as supplied.
  • 1 month, 2 to 8 °C under sterile conditions after reconstitution.
  • 6 months, -20 to -70 °C under sterile conditions after reconstitution.

Background: CD9

CD9, also known as Tspan29, is a 24-27 kDa cell surface protein belonging to the tetraspanin family (1). Common to other tetraspanins, CD9 is composed of four transmembrane domains, short N- and C-terminal cytoplasmic domains, and two extracellular loops. The larger extracellular loop, referred to as the LEL or EC2, contains highly conserved CCG and PXSC motifs (2, 3). The LEL mediates noncovalent protein-protein interactions, allowing tetraspanins to associate with each other as well as signaling molecules, structural proteins, and G-protein coupled receptors (4-6). Human CD9 is expressed in multiple cell and tissue types and has been identified in diverse biological roles due to its involvement in the formation of tetraspanin-enriched microdomains (TEMs). TEMs are associated with numerous processes ranging from cell adhesion and fusion, membrane trafficking, and endocytosis to leukocyte adherence and motility (4-7). These tetraspanin-enriched microdomains (TEMs) are associated with a wide range of functions from cell adhesion and fusion, membrane trafficking and endocytosis, and eukocyte adherence and motility. The LEL of human CD9 shares 77% and 84% amino acid sequence identity with mouse and rat CD9, respectively.  CD9 can form homodimers or interact with other proteins including CD117, CD29, CD46, CD49c, CD81, CD315, Tspan4, TGF-alpha, and HBEGF (1, 4, 8-13). Increased expression of CD9 has been shown to enhance transmembrane TGF-alpha -induced EGFR stimulation (1), and injection of human CD9 mRNA into CD9 knock-out mouse oocytes restored sperm-egg fusion (14). CD9-LEL may also be involved in the inhibition of multinucleated giant cell formation (3) as well as possess anti-adhesive effects against bacteria trying to invade mammalian cells (6, 15). CD9 interacts with integrins to regulate cell adhesion and motility (16-18). CD9 has been implicated in platelet activation and aggregation (17, 19). It may act as the terminal signal of myelination in the peripheral nervous system and can regulate the formation of paranodal junctions (20). Also, it has been suggested CD9 plays an important role both in the self-antigen and recall antigen-induced T cell activation (21).

References

  1. Shi, W. et al. (2000) J. Cell Biol. 148:591.
  2. Hemler, M. (2003) Annu Rev Cell Biol. 19:397.
  3. Hulme, R. et al. (2014) PLoS One 9:e116289.
  4. Stipp, C. et al. (2003) Trends Biochem Sci. 28:106.
  5. Barreiro, O. et al. (2005) Blood 105:2852.
  6. Ventress, J. et al. (2016) PLoS One 11:e0160387.
  7. Rubinstein, E. (2011) Biochem Soc Trans. 39:501.
  8. Anzai, N. et al. (2002) Blood 99:4413.
  9. Radford, K. et al. (1996) Biochem. Biophys. Res. Commun. 222:13.
  10. Lozahic, S. et al. (2000) Eur. J. Immunol. 30:900.
  11. Park, K. et al. (2000) Mol. Hum. Reprod. 6:252.
  12. Charrin, S. et al. (2001) J. Biol. Chem. 276:14329.
  13. Tachibana, I. et al. (1997) J. Biol. Chem. 272:29181.
  14. Zhu, G. et al. (2002) Development 129:1995.
  15. Green, L. et al. (2011) Infect Immun. 79:2241.
  16. Powner, D. et al. (2011) Biochem. Soc. Trans. 39:563.
  17. Detchokul, S. et al. (2014) British Journal of Pharmacology 171:5462.
  18. Reyes, R. et al. (2018) Front. Immunol. 9:863.
  19. Slupsky, J. et al. (1989) J Biol chem. 264:12289.
  20. Ishibashi, T. et al. (2004) J. Neuroscience 24:96.
  21. Kobayashi, H. et al. (2004) Clin Exp Immunol. 137:101.

Alternate Names

CD9, DRAP-27, MIC3, p24, TSPAN29

Entrez Gene IDs

928 (Human); 12527 (Mouse)

Gene Symbol

CD9

UniProt

Additional CD9 Products

Product Documents for Human CD9 Antibody

Certificate of Analysis

To download a Certificate of Analysis, please enter a lot number in the search box below.

Note: Certificate of Analysis not available for kit components.

Product Specific Notices for Human CD9 Antibody

For research use only

Loading...
Loading...
Loading...
Loading...
Loading...