Skip to main content

Key Product Details

Species Reactivity

Human

Applications

Immunohistochemistry, Western Blot

Label

Unconjugated

Antibody Source

Monoclonal Mouse IgG2B Clone # 706962

Product Specifications

Immunogen

Mouse myeloma cell line NS0-derived recombinant human CD79A
Leu33-Arg143
Accession # P11912

Specificity

Detects human CD79A in direct ELISAs and Western blots. In direct ELISAs and Western blots, no cross-reactivity with recombinant mouse CD79A is observed.

Clonality

Monoclonal

Host

Mouse

Isotype

IgG2B

Scientific Data Images for Human CD79A Antibody

Detection of Human CD79A antibody by Western Blot.

Detection of Human CD79A by Western Blot.

Western blot shows lysates of Daudi human Burkitt's lymphoma cell line, Raji human Burkitt's lymphoma cell line, and Ramos human Burkitt's lymphoma cell line. PVDF membrane was probed with 0.1 µg/mL of Mouse Anti-Human CD79A Monoclonal Antibody (Catalog # MAB6920) followed by HRP-conjugated Anti-Mouse IgG Secondary Antibody (HAF007). Specific bands were detected for CD79A at approximately 44 to 52 kDa (as indicated). This experiment was conducted under reducing conditions and using Immunoblot Buffer Group 1.

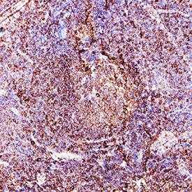
Detection of CD79A in Human Lymph Node.

CD79A was detected in immersion fixed paraffin-embedded sections of Human Lymph Node using Mouse Anti-Human CD79A Monoclonal Antibody (Catalog # MAB6920) at 5 µg/mL for 1 hour at room temperature followed by incubation with the Anti-Mouse IgG VisUCyte™ HRP Polymer Antibody (Catalog # VC001). Before incubation with the primary antibody, tissue was subjected to heat-induced epitope retrieval using VisUCyte Antigen Retrieval Reagent-Basic (Catalog # VCTS021). Tissue was stained using DAB (brown) and counterstained with hematoxylin (blue). Specific staining was localized to lymphocytes. View our protocol for IHC Staining with VisUCyte HRP Polymer Detection Reagents.

Applications for Human CD79A Antibody

Application
Recommended Usage

Immunohistochemistry

5-25 µg/mL
Sample: Immersion fixed paraffin-embedded sections of Human Lymph Node

Western Blot

0.1 µg/mL
Sample: Daudi human Burkitt's lymphoma cell line, Raji human Burkitt's lymphoma cell line, and Ramos human Burkitt's lymphoma cell line

Formulation, Preparation, and Storage

Purification

IgM-specific Affinity-purified from hybridoma culture supernatant

Reconstitution

Sterile PBS to a final concentration of 0.5 mg/mL. For liquid material, refer to CoA for concentration.

Reconstitution Buffer Available:
Size / Price
Qty
Loading...

Formulation

Lyophilized from a 0.2 μm filtered solution in PBS with Trehalose. *Small pack size (SP) is supplied either lyophilized or as a 0.2 µm filtered solution in PBS.

Shipping

Lyophilized product is shipped at ambient temperature. Liquid small pack size (-SP) is shipped with polar packs. Upon receipt, store immediately at the temperature recommended below.

Stability & Storage

Use a manual defrost freezer and avoid repeated freeze-thaw cycles.
  • 12 months from date of receipt, -20 to -70 °C as supplied.
  • 1 month, 2 to 8 °C under sterile conditions after reconstitution.
  • 6 months, -20 to -70 °C under sterile conditions after reconstitution.

Background: CD79A

CD79A, also known as Ig alpha and MB-1, is a 44 kDa transmembrane glycoprotein in the immunoglobulin superfamily. It contains a single Ig-like domain in its extracellular region (ECD) and one cytoplasmic immunoreceptor tyrosine-based activation motif (ITAM). Alternate splicing generates a short isoform with a 39 aa deletion in the ECD. Heterodimers of CD79A and CD79B/Ig beta associate with a membrane bound immunoglobulin on the B cell surface to form the B cell antigen receptor complex (BCR). CD79A and CD79B are required for BCR-mediated signaling and consequently for the development and activation of B lineage cells. Within the ECD, human CD79A shares 57% aa sequence identity with mouse and rat CD79A.

Alternate Names

CD79A, MB-1

Entrez Gene IDs

973 (Human); 12518 (Mouse); 681236 (Rat); 722190 (Rhesus Macaque)

Gene Symbol

CD79A

UniProt

Additional CD79A Products

Product Documents for Human CD79A Antibody

Certificate of Analysis

To download a Certificate of Analysis, please enter a lot number in the search box below.

Note: Certificate of Analysis not available for kit components.

Product Specific Notices for Human CD79A Antibody

For research use only

Loading...
Loading...
Loading...
Loading...