Skip to main content

Key Product Details

Validated by

Orthogonal Validation

Species Reactivity

Validated:

Human

Cited:

Human

Applications

Validated:

Multiplex Immunofluorescence, Immunohistochemistry, Dual RNAscope ISH-IHC Compatible

Cited:

Immunohistochemistry-Paraffin

Label

Unconjugated

Antibody Source

Monoclonal Mouse IgG2B Clone # 298813

Product Specifications

Immunogen

Mouse myeloma cell line NS0-derived recombinant human CD68/SR‑D1
Asn22-Ile320
Accession # AAB25811

Specificity

Detects human CD68/SR‑D1 in direct ELISAs and Western blots.

Clonality

Monoclonal

Host

Mouse

Isotype

IgG2B

Scientific Data Images for Human CD68/SR-D1 Antibody

Detection of CD68 in Human Tonsil via Multiplex Immunofluorescence staining on COMET™​

CD68 was detected in immersion fixed paraffin-embedded sections of human tonsil using Mouse Anti-Human CD68 Monoclonal Antibody (Catalog # MAB2040) at 20 µg/mL at 37 ° Celsius for 4 minutes. Before incubation with the primary antibody, tissue underwent an all-in-one dewaxing and antigen retrieval preprocessing using PreTreatment Module (PT Module) and Dewax and HIER Buffer H (pH 9). Tissue was stained using the Alexa Fluor™ 647 Goat anti-Mouse IgG Secondary Antibody at 1:200 at 37 ° Celsius for 2 minutes. (Yellow; Lunaphore Catalog # DR647MS) and counterstained with DAPI (blue; Lunaphore Catalog # DR100). Specific staining was localized to the cytoplasm. Protocol available in COMET™ Panel Builder.
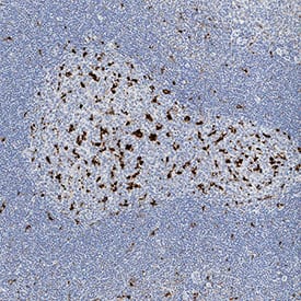
CD68/SR-D1 antibody in Human Tonsil by Immunohistochemistry (IHC-P).

CD68/SR‑D1 in Human Tonsil.

CD68/SR-D1 was detected in immersion fixed paraffin-embedded sections of human tonsil using Mouse Anti-Human CD68/SR-D1 Monoclonal Antibody (Catalog # MAB2040) at 15 µg/mL for 1 hour at room temperature followed by incubation with the Anti-Mouse IgG VisUCyte™ HRP Polymer Antibody (Catalog # VC001). Before incubation with the primary antibody, tissue was subjected to heat-induced epitope retrieval using Antigen Retrieval Reagent-Basic (Catalog # CTS013). Tissue was stained using DAB (brown) and counterstained with hematoxylin (blue). Specific staining was localized to cell surface and cytoplasm in lymphocytes. View our protocol for IHC Staining with VisUCyte HRP Polymer Detection Reagents.
CD68/SR-D1 antibody in Human Tonsil Using Dual RNAscope®ISH and IHC.

CD68/SR-D1 in Human Tonsil Using Dual RNAscope®ISH and IHC.

CD68/SR-D1 mRNA (red) and protein (green) was detected in formalin-fixed paraffin-embedded tissue sections of human tonsil probed with ACD RNAScope®Probe (Catalog # 560591) followed by immunohistochemistry using R&D Systems Mouse Anti-Human CD68/SR-D1 Monoclonal Antibody (Catalog# MAB2040) at 5ug/mL for 1 hour at room temperature followed by incubation with the Anti-Mouse IgG VisUCyte HRP Polymer Antibody (R&D Systems, Catalog # VC001). Tissue was stained using ACD RNAscope® 2.5 HD Duplex Detection Reagents (Catalog # 322500). Specific staining was localized to cytoplasm in lymphocytes.

Applications for Human CD68/SR-D1 Antibody

Application
Recommended Usage

Dual RNAscope ISH-IHC Compatible

5 µg/mL
Sample: Immersion fixed paraffin-embedded sections of human tonsil

Immunohistochemistry

8-25 µg/mL
Sample: Immersion fixed paraffin-embedded sections of human tonsil

Multiplex Immunofluorescence

20 µg/mL
Sample: Paraffin embedded tissue sections of Human Tonsil

Formulation, Preparation, and Storage

Purification

Protein A or G purified from hybridoma culture supernatant

Reconstitution

Reconstitute at 0.5 mg/mL in sterile PBS. For liquid material, refer to CoA for concentration.

Reconstitution Buffer Available:
Size / Price
Qty
Loading...

Formulation

Lyophilized from a 0.2 μm filtered solution in PBS with Trehalose. See Certificate of Analysis for details.
*Small pack size (-SP) is supplied either lyophilized or as a 0.2 µm filtered solution in PBS.

Shipping

Lyophilized product is shipped at ambient temperature. Liquid small pack size (-SP) is shipped with polar packs. Upon receipt, store immediately at the temperature recommended below.

Stability & Storage

Use a manual defrost freezer and avoid repeated freeze-thaw cycles.
  • 12 months from date of receipt, -20 to -70 °C as supplied.
  • 1 month, 2 to 8 °C under sterile conditions after reconstitution.
  • 6 months, -20 to -70 °C under sterile conditions after reconstitution.

Background: CD68/SR-D1

CD68, also called Scavenger Receptor D1 (SR-D1), is a type I transmembrane glycoprotein that belongs to the LAMP family of molecules. CD68 is expressed on monocytes and macrophages and serves as a scavenger receptor for oxidized LDL.

Alternate Names

CD68, gp110, Macrosialin, SCARD1, SR-D1, SRD1

Entrez Gene IDs

968 (Human); 12514 (Mouse); 287435 (Rat)

Gene Symbol

CD68

UniProt

Additional CD68/SR-D1 Products

Product Documents for Human CD68/SR-D1 Antibody

Certificate of Analysis

To download a Certificate of Analysis, please enter a lot number in the search box below.

Note: Certificate of Analysis not available for kit components.

Product Specific Notices for Human CD68/SR-D1 Antibody

For research use only

Loading...
Loading...
Loading...
Loading...