Skip to main content

Key Product Details

Species Reactivity

Human

Applications

Immunohistochemistry, Immunocytochemistry

Label

Unconjugated

Antibody Source

Monoclonal Mouse IgG2A Clone # 998215

Product Specifications

Immunogen

Mouse myeloma cell line NS0-derived recombinant human CD45
Thr24-Asn575
Accession # P08575

Specificity

Detects human CD45 in direct ELISA.

Clonality

Monoclonal

Host

Mouse

Isotype

IgG2A

Scientific Data Images for Human CD45 Antibody

CD45 antibody in Human PBMCs and MCF-7 Cell Line by Immunocytochemistry (ICC).

CD45 in Human PBMCs and MCF-7 Cell Line.

CD45 was detected in immersion fixed human peripheral blood mononuclear cells (positive staining; left panel) and MCF-7 human breast cancer cell line (negative staining; right panel) using Mouse Anti-Human CD45 Monoclonal Antibody (Catalog # MAB14302) at 8 µg/mL for 3 hours at room temperature. Cells were stained using the NorthernLights™ 557-conjugated Anti-Mouse IgG Secondary Antibody (red; Catalog # NL007) and counterstained with DAPI (blue). Specific staining was localized to cell surfaces. View our protocol for Fluorescent ICC Staining of Non-adherent Cells.
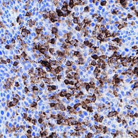
CD45 antibody in Human Tonsil by Immunohistochemistry (IHC-P).

CD45 in Human Tonsil.

CD45 was detected in immersion fixed paraffin-embedded sections of human tonsil using Mouse Anti-Human CD45 Monoclonal Antibody (Catalog # MAB14302) at 15 µg/mL for 1 hour at room temperature followed by incubation with the Anti-Mouse IgG VisUCyte™ HRP Polymer Antibody (Catalog # VC001). Before incubation with the primary antibody, tissue was subjected to heat-induced epitope retrieval using Antigen Retrieval Reagent-Basic (Catalog # CTS013). Tissue was stained using DAB (brown) and counterstained with hematoxylin (blue). Specific staining was localized to cytoplasm in lymphocytes. View our protocol for IHC Staining with VisUCyte HRP Polymer Detection Reagents.
Detection of Mouse CD45 by Immunocytochemistry/ Immunofluorescence

Detection of Mouse CD45 by Immunocytochemistry/ Immunofluorescence

Deletion of Arginase 1 (Arg1) in myeloid cells decreases cell proliferation and cell death during early stages of pancreatic ductal adenocarcinoma.(A) Experimental design for KF and KFCA mice aged to 2 mo. (B) Representative images of co-immunofluorescence staining for ARG1 (red), macrophages (F4/80, green), epithelial (CK19, gray), and DAPI (blue) in KF and KFCA pancreata at 2 mo. Yellow staining shows co-localization of ARG1 and F4/80. Scale bar, 50 μm. Quantification on the right, n=4–6/group (C) Representative hematoxylin and eosin (H&E) images for KF and KFCA mice at 2 mo, n=6–7/group. Scale bar, 100 μm. On the right, percentage of ADM/PanIN lesions area in KF and KFCA tissue at 2 mo, n=6–7/group. (D) Representative immunohistochemistry staining for total cell proliferation (Ki67) and total cell death (cleaved caspase-3 [CC3]). Scale bar, 100 μm. Quantification on the right, n=6–7/group. (E) Representative immunofluorescence staining for immune cells (CD45, green) and epithelial cells (CK19, gray). Scale bar, 50 μm. Quantification on the right, n=4/group. (F) Representative immunohistochemistry staining for macrophages (F4/80) and CD8+ T cells (CD8) in KF and KFCA tissue at 2 mo. Scale bar, 100 μm. Positive staining quantification is shown on the right. Student’s t test was used to determine significance. Statistically significant when p<0.005. Image collected and cropped by CiteAb from the following open publication (https://pubmed.ncbi.nlm.nih.gov/36727849), licensed under a CC-BY license. Not internally tested by R&D Systems.

Applications for Human CD45 Antibody

Application
Recommended Usage

Immunocytochemistry

8-25 µg/mL
Sample: Immersion fixed human peripheral blood mononuclear cells and MCF‑7 human breast cancer cell line

Immunohistochemistry

5-25 µg/mL
Sample: Immersion fixed paraffin-embedded sections of human tonsil

Reviewed Applications

Read 1 review rated 5 using MAB14302 in the following applications:

Formulation, Preparation, and Storage

Purification

Protein A or G purified from hybridoma culture supernatant

Reconstitution

Reconstitute at 0.5 mg/mL in sterile PBS. For liquid material, refer to CoA for concentration.

Reconstitution Buffer Available:
Size / Price
Qty
Loading...

Formulation

Lyophilized from a 0.2 μm filtered solution in PBS with Trehalose. *Small pack size (SP) is supplied either lyophilized or as a 0.2 µm filtered solution in PBS.

Shipping

Lyophilized product is shipped at ambient temperature. Liquid small pack size (-SP) is shipped with polar packs. Upon receipt, store immediately at the temperature recommended below.

Stability & Storage

Use a manual defrost freezer and avoid repeated freeze-thaw cycles.
  • 12 months from date of receipt, -20 to -70 °C as supplied.
  • 1 month, 2 to 8 °C under sterile conditions after reconstitution.
  • 6 months, -20 to -70 °C under sterile conditions after reconstitution.

Background: CD45

CD45, previously called LCA (leukocyte common antigen), T200, or Ly5 in mice, is member C of the class 1 (receptor‑like) protein tyrosine phosphatase family (PTPRC) (1, 2). It is a variably glycosylated 180‑220 kDa transmembrane protein that is abundantly expressed on all nucleated cells of hematopoietic origin (1‑3). CD45 has several isoforms, expressed according to cell type, developmental stage and antigenic exposure (1‑5). The longest form, CD45RABC (called B220 in mouse), is expressed on B lymphocytes (5). The CD45RABC cDNA encodes 1304 amino acids (aa), including a 23 aa signal sequence, a 552 aa extracellular domain containing the splicing region, a cysteine‑rich region and two fibronectin type III domains, a 22 aa transmembrane sequence, and a 707 aa cytoplasmic domain that contains two phosphatase domains, D1 and D2. Only D1 has phosphatase activity. CD45R0 is the shortest form, lacking exons 4, 5 and 6 which encode aa 32‑191. It is expressed on memory cells, while intermediate sizes are expressed on other T cells (3, 4, 6). CD45 has been best studied in T cells, where it determines T cell receptor signaling thresholds (3, 6‑8). CD45 is moved into or out of the immunological synapse (IS) membrane microdomain depending on the relative influence of interaction with the extracellular galectin lattice or the intracellular actin cytoskeleton (9, 10). Galectin interaction can be fine‑tuned by varying usage of the heavily O‑glycosylated spliced regions and sialylation of N‑linked carbohydrates (4, 9). Within the IS, CD45 dephosphorylates and negatively regulates the Src family kinase, Lck (8‑10). In other leukocytes, CD45 influences differentiation and links immunoreceptor signaling with cytokine secretion and cell survival, partially overlapping in function with DEP‑1/CD148 (11‑14). CD45 deletion causes in severe immunodeficiency, while point mutations may be associated with autoimmune disorders (6, 7).

References

  1. Anderson, J.N. et al. (2004) FASEB J. 18:8.
  2. Streuli, M. et al. (1987) J. Exp. Med. 166:1548.
  3. Hermiston, M.L. et al. (2003) Annu. Rev. Immunol. 21:107.
  4. Earl, L.A. and L.G. Baum (2008) Immunol. Cell Biol. 86:608.
  5. Ralph, S.J. et al. (1987) EMBO J. 6:1251.
  6. Falahti, R. and D. Leitenberg (2008) J. Immunol. 181:6082.
  7. Tchilian, E.Z. and P.C.L. Beverley (2006) Trends Immunol. 27:146.
  8. McNiell, L. et al. (2007) Immunity 27:425.
  9. Chen, I-J. et al. (2007) J. Biol. Chem. 282:35361.
  10. Freiberg, B.A. et al. (2002) Nat. Immunol. 3:911.
  11. Zhu, J.W. et al. (2008) Immunity 28:183.
  12. Huntington, N.D. et al. (2006) Nat. Immunol. 7:190.
  13. Hesslein, D.G. et al. (2006) Proc. Natl. Acad. Sci. USA 103:7012.
  14. Cross, J.L. et al. (2008) J. Immunol. 180:8020.

Long Name

Cluster of Differentiation 45

Alternate Names

CD45, LCA, PTPRC, T200 Glycoprotein

Entrez Gene IDs

5788 (Human); 19264 (Mouse); 490255 (Canine); 100061950 (Equine)

Gene Symbol

PTPRC

UniProt

Additional CD45 Products

Product Documents for Human CD45 Antibody

Certificate of Analysis

To download a Certificate of Analysis, please enter a lot number in the search box below.

Note: Certificate of Analysis not available for kit components.

Product Specific Notices for Human CD45 Antibody

For research use only

Loading...
Loading...
Loading...
Loading...