Skip to main content

Key Product Details

Validated by

Knockout/Knockdown

Species Reactivity

Validated:

Human

Cited:

Human, Mouse, Rat, Naked mole-rat, Transgenic Mouse

Applications

Validated:

Knockout Validated, Immunohistochemistry, Western Blot, Flow Cytometry, Simple Western, Immunoprecipitation, CyTOF-ready

Cited:

Immunohistochemistry, Western Blot, Neutralization, Flow Cytometry, Immunocytochemistry, Simple Western, Immunoprecipitation, Cell Culture, Surface Plasmon Resonance

Label

Unconjugated

Antibody Source

Monoclonal Mouse IgG2A Clone # 2C5

Product Specifications

Immunogen

Recombinant human CD44v3-10 (includes the invariant N-terminal exons and CD44v3-10 exons)

Specificity

Detects human CD44s on a panel of CD44 transfected COS cells by flow cytometry (Fox, S.B. et al. (1994) Cancer Res. 54:4539). This antibody recognizes an epitope in the invariant N-terminal region of all CD44 protein isoforms.

Clonality

Monoclonal

Host

Mouse

Isotype

IgG2A

Scientific Data Images for Human CD44s Pan Specific Antibody

Detection of Human CD44 antibody by Western Blot.

Detection of Human CD44 by Western Blot.

Western blot shows lysates of PC-3 human prostate cancer cell line and human tonsil tissue. PVDF membrane was probed with 2 µg/mL of Mouse Anti-Human CD44 s Pan Specific Monoclonal Antibody (Catalog # BBA10) followed by HRP-conjugated Anti-Mouse IgG Secondary Antibody (HAF018). A specific band was detected for CD44 at approximately 90 kDa (as indicated). This experiment was conducted under reducing conditions and using Immunoblot Buffer Group 1.
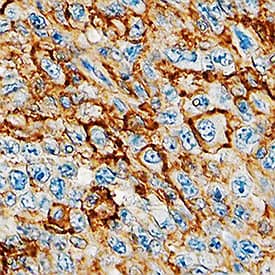
CD44 antibody in Human Lymphoma by Immunohistochemistry (IHC-P).

CD44 in Human Lymphoma.

CD44 was detected in immersion fixed paraffin-embedded sections of human lymphoma using Mouse Anti-Human CD44 s Pan Specific Monoclonal Antibody (Catalog # BBA10) at 15 µg/mL overnight at 4 °C. Tissue was stained using the Anti-Mouse HRP-DAB Cell & Tissue Staining Kit (brown; CTS002) and counterstained with hematoxylin (blue). Specific staining was localized to plasma membrane. View our protocol for Chromogenic IHC Staining of Paraffin-embedded Tissue Sections.
Detection of Human CD44 antibody by Simple WesternTM.

Detection of Human CD44 by Simple WesternTM.

Simple Western lane view shows lysates of human tonsil tissue, loaded at 0.2 mg/mL. A specific band was detected for CD44 at approximately 156 kDa (as indicated) using 20 µg/mL of Mouse Anti-Human CD44 s Pan Specific Monoclonal Antibody (Catalog # BBA10) . This experiment was conducted under reducing conditions and using the 12-230 kDa separation system.

Applications for Human CD44s Pan Specific Antibody

Application
Recommended Usage

CyTOF-ready

Ready to be labeled using established conjugation methods. No BSA or other carrier proteins that could interfere with conjugation.

Flow Cytometry

2.5 µg/106 cells
Sample: Human whole blood monocytes & MDA-MB-231 human breast cancer cell line lysates

Immunohistochemistry

8-25 µg/mL
Sample: Immersion fixed paraffin-embedded sections of human lymphoma

Immunoprecipitation

Fox, S.B. et al. (1994) Cancer Res. 54:4539.

Knockout Validated

CD44 is specifically detected in MDA-MB-231 parental cell line but is not detectable in knockout MDA-MB-231 cell line.

Simple Western

20 µg/mL
Sample: Human tonsil tissue

Western Blot

2 µg/mL
Sample: PC‑3 human prostate cancer cell line and human tonsil tissue

Reviewed Applications

Read 14 reviews rated 4.6 using BBA10 in the following applications:

Formulation, Preparation, and Storage

Purification

Protein A or G purified from ascites

Reconstitution

Sterile PBS to a final concentration of 0.5 mg/mL.

Reconstitution Buffer Available:
Size / Price
Qty
Loading...

Formulation

Lyophilized from a 0.2 μm filtered solution in PBS with Trehalose.

Shipping

The product is shipped at ambient temperature. Upon receipt, store it immediately at the temperature recommended below.

Stability & Storage

Use a manual defrost freezer and avoid repeated freeze-thaw cycles.
  • 12 months from date of receipt, -20 to -70 °C as supplied.
  • 1 month, 2 to 8 °C under sterile conditions after reconstitution.
  • 6 months, -20 to -70 °C under sterile conditions after reconstitution.

Background: CD44

CD44 is a ubiquitously expressed protein that is the major receptor for hyaluronan and exerts control over cell growth and migration (1-3). Human CD44 has a 20 amino acid (aa) signal sequence, an extracellular domain (ECD) with a 100 aa hyaluronan-binding disulfide-stabilized link region and a 325-530 aa stem region, a 21 aa transmembrane domain, and a 72 aa cytoplasmic domain. Within the stem, ten variably spliced exons (v1-10, exons 6-15) produce multiple protein isoforms (1‑3). The standard or hematopoietic form, CD44s, does not include the variable segments (1‑3). Cancer aggressiveness and T cell activation have been correlated with expression of specific isoforms (1, 3). With variable N- and O-glycosylation and splicing within the stalk, CD44 can range from 80-200 kDa (1). Within the N‑terminal invariant portion of the ECD (aa 21-220), human CD44 shares 76%, 76%, 86%, 83%, and 79% identity with corresponding mouse, rat, equine, canine, and bovine CD44, respectively. The many reported functions of CD44 fall within three categories (1). First, CD44 binds hyaluronan and other ligands within the extracellular matrix and can function as a “platform” for growth factors and metalloproteinases. Second, CD44 can function as a co-receptor that modifies activity of receptors including MET and the ERBB family of tyrosine kinases. Third, the CD44 intracellular domain links the plasma membrane to the actin cytoskeleton via the ERM proteins, ezrin, radixin and moesin. CD44 can be synthesized in a soluble form (4) or may be cleaved at multiple sites by either membrane-type matrix metalloproteinases, or ADAM proteases to produce soluble ectodomains (5, 6). The cellular portion may then undergo gamma secretase-dependent intramembrane cleavage to form an A beta-like transmembrane portion and a cytoplasmic signaling portion that affects gene expression (7, 8). These cleavage events are thought to promote metastasis by enhancing tumor cell motility and growth (1, 5).

References

  1. Ponta, H. et al. (2003) Nat. Rev. Mol. Cell Biol. 4:33.
  2. Screaton, G.R. et al. (1992) Proc. Natl. Acad. Sci. USA 89:12160.
  3. Lynch, K.W. (2004) Nat. Rev. Immunol. 4:931.
  4. Yu, Q. and B.P. Toole (1996) J. Biol. Chem. 271:20603.
  5. Nagano, O. and H. Saya (2004) Cancer Sci. 95:930.
  6. Nakamura, H. et al. (2004) Cancer Res. 64:876.
  7. Murakami, D. et al. (2003) Oncogene 22:1511.
  8. Lammich, S. et al. (2002) J. Biol. Chem. 277:44754.

Alternate Names

CD44, ECMR-III, HCAM, HCELL, LHR, MDU2, MDU3, MIC4, MUTCH-I, Pgp1

Entrez Gene IDs

960 (Human); 12505 (Mouse); 25406 (Rat); 100126860 (Porcine)

Gene Symbol

CD44

Additional CD44 Products

Product Documents for Human CD44s Pan Specific Antibody

Certificate of Analysis

To download a Certificate of Analysis, please enter a lot number in the search box below.

Note: Certificate of Analysis not available for kit components.

Product Specific Notices for Human CD44s Pan Specific Antibody

For research use only

Loading...
Loading...
Loading...
Loading...
Loading...