Skip to main content

Key Product Details

Species Reactivity

Human

Applications

Immunohistochemistry, Immunocytochemistry

Label

Unconjugated

Antibody Source

Monoclonal Mouse IgG2B Clone # 290101

Product Specifications

Immunogen

NS0 mouse myeloma cell line transfected with human CD43
Ser20-Pro400
Accession # P16150

Specificity

Detects human CD43 in direct ELISAs.

Clonality

Monoclonal

Host

Mouse

Isotype

IgG2B

Scientific Data Images for Human CD43 Antibody

CD43 antibody in Human PBMCs by Immunocytochemistry (ICC).

CD43 in Human PBMCs.

CD43 was detected in immersion fixed human peripheral blood mononuclear cells (PBMCs) using Mouse Anti-Human CD43 Monoclonal Antibody (Catalog # MAB20381) at 8 µg/mL for 3 hours at room temperature. Cells were stained using the NorthernLights™ 557-conjugated Anti-Mouse IgG Secondary Antibody (red; Catalog # NL007) and counterstained with DAPI (blue). Specific staining was localized to cell surfaces. View our protocol for Fluorescent ICC Staining of Non-adherent Cells.
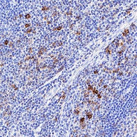
CD43 antibody in Human Tonsil by Immunohistochemistry (IHC-P).

CD43 in Human Tonsil.

CD43 was detected in immersion fixed paraffin-embedded sections of human tonsil using Mouse Anti-Human CD43 Monoclonal Antibody (Catalog # MAB20381) at 1.7 µg/mL for 1 hour at room temperature followed by incubation with the Anti-Mouse IgG VisUCyte™ HRP Polymer Antibody (Catalog # VC001). Before incubation with the primary antibody, tissue was subjected to heat-induced epitope retrieval using Antigen Retrieval Reagent-Basic (Catalog # CTS013). Tissue was stained using DAB (brown) and counterstained with hematoxylin (blue). Specific staining was localized to cell surfaces in lymphocytes. View our protocol for IHC Staining with VisUCyte HRP Polymer Detection Reagents.

Applications for Human CD43 Antibody

Application
Recommended Usage

Immunocytochemistry

8-25 µg/mL
Sample: Immersion fixed human peripheral blood mononuclear cells (PBMCs)

Immunohistochemistry

1-25 µg/mL
Sample: Immersion fixed paraffin-embedded sections of human tonsil

Reviewed Applications

Read 2 reviews rated 5 using MAB20381 in the following applications:

Formulation, Preparation, and Storage

Purification

Protein A or G purified from hybridoma culture supernatant

Reconstitution

Reconstitute at 0.5 mg/mL in sterile PBS. For liquid material, refer to CoA for concentration.

Reconstitution Buffer Available:
Size / Price
Qty
Loading...

Formulation

Lyophilized from a 0.2 μm filtered solution in PBS with Trehalose. *Small pack size (SP) is supplied either lyophilized or as a 0.2 µm filtered solution in PBS.

Shipping

Lyophilized product is shipped at ambient temperature. Liquid small pack size (-SP) is shipped with polar packs. Upon receipt, store immediately at the temperature recommended below.

Stability & Storage

Use a manual defrost freezer and avoid repeated freeze-thaw cycles.
  • 12 months from date of receipt, -20 to -70 °C as supplied.
  • 1 month, 2 to 8 °C under sterile conditions after reconstitution.
  • 6 months, -20 to -70 °C under sterile conditions after reconstitution.

Background: CD43

CD43, also known as Leukosialin and Sialophorin and Ly-48 in mouse, is a 100-105 kDa type I transmembrane sialylated mucin that is expressed on most leukocytes and some tumor cells. Notably, the membrane expression of CD43 seems to be a characteristic of leukocytes, while cytoplasmic expression without membrane insertion occurs in endothelium and select epithelia. While CD43 restricts leukocyte adhesion and modulates T cell activation, these activities are context specific. CD43 can both induce and protect against apoptosis, and can either promote or block cell adhesion. Mature CD43 shows 49% amino (aa) sequence identity between human and mouse.

Long Name

Cluster of Differentiation 43

Alternate Names

CD43, GPL115, Leukosialin, LSN, Ly-48, Sialophorin, SPN

Entrez Gene IDs

6693 (Human); 20737 (Mouse); 24796 (Rat); 102147271 (Cynomolgus Monkey)

Gene Symbol

SPN

UniProt

Additional CD43 Products

Product Documents for Human CD43 Antibody

Certificate of Analysis

To download a Certificate of Analysis, please enter a lot number in the search box below.

Note: Certificate of Analysis not available for kit components.

Product Specific Notices for Human CD43 Antibody

For research use only

Loading...
Loading...
Loading...
Loading...