Skip to main content

Key Product Details

Species Reactivity

Human

Applications

Multiplex Immunofluorescence, Immunohistochemistry, Immunocytochemistry

Label

Unconjugated

Antibody Source

Recombinant Monoclonal Rabbit IgG Clone # 2992A

Product Specifications

Immunogen

Chinese Hamster Ovary cell line, CHO-derived human CD4 
Lys26-Trp390
Accession # P01730

Specificity

Detects recombinant human CD4 in Direct ELISA.

Clonality

Monoclonal

Host

Rabbit

Isotype

IgG

Scientific Data Images for Human CD4 Antibody

Detection of CD4 in Human Tonsil via Multiplex Immunofluorescence staining on COMET™

CD4 was detected in immersion fixed paraffin-embedded sections of human tonsil using Rabbit Anti-Human CD4 Monoclonal Antibody (Catalog # MAB11560) at 20µg/mL at 37 ° Celsius for 8 minutes. Before incubation with the primary antibody, tissue underwent an all-in-one dewaxing and antigen retrieval preprocessing using PreTreatment Module (PT Module) and Dewax and HIER Buffer H (pH 9). Tissue was stained using the Alexa Fluor™ Plus 647 Goat anti-Rabbit IgG Secondary Antibody at 1:200 at 37 ° Celsius for 2 minutes. (Yellow; Lunaphore Catalog # DR647RB) and counterstained with DAPI (blue; Lunaphore Catalog # DR100).Specific staining was localized to the membrane. Protocol available in COMET™ Panel Builder.

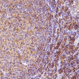
Detection of CD4 in Human Tonsil.

CD4 was detected in immersion fixed paraffin-embedded sections of human tonsil using Rabbit Anti-Human CD4 Monoclonal Antibody (Catalog # MAB11560) at 1 µg/ml for 1 hour at room temperature followed by incubation with the Anti-Rabbit IgG VisUCyte™ HRP Polymer Antibody (Catalog # VC003) or the HRP-conjugated Anti-Rabbit IgG Secondary Antibody (Catalog # HAF008). Before incubation with the primary antibody, tissue was subjected to heat-induced epitope retrieval using VisUCyte Antigen Retrieval Reagent-Basic (Catalog # VCTS021). Tissue was stained using DAB (brown) and counterstained with hematoxylin (blue). Specific staining was localized to the cytoplasm and membrane. View our protocol for Chromogenic IHC Staining of Paraffin-embedded Tissue Sections.

Detection of CD4 in hPBMC cells (Positive) and MCF-7 cells (Negative).

CD4 was detected in fixed hPBMC cells (Positive) and absent in MCF-7 human breast cancer cell line (Negative) using Rabbit Anti-Human CD4 Monoclonal Antibody (Catalog # MAB11560) at 3 µg/ml for 3 hours at room temperature. Cells were stained using the NorthernLights™ 557-conjugated Anti-Rabbit IgG Secondary Antibody (red; Catalog # NL004) and counterstained with DAPI (blue). Specific staining was localized to the membrane. View our protocol for Fluorescent ICC Staining of Non-adherent Cells.

Applications for Human CD4 Antibody

Application
Recommended Usage

Immunocytochemistry

1-25 µg/mL
Sample: fixed hPBMC cells (Positive) and absent in MCF-7 human breast cancer cell line (Negative)

Immunohistochemistry

1-25 µg/mL
Sample: Immersion fixed paraffin-embedded sections of human tonsil

Multiplex Immunofluorescence

20 µg/mL
Sample: Immersion fixed paraffin embedded sections of human tonsil

Formulation, Preparation, and Storage

Purification

Protein A or G purified from hybridoma culture supernatant

Reconstitution

Reconstitute lyophilized material at 0.2mg/ml in sterile PBS. For liquid material, refer to CoA for concentration.

Reconstitution Buffer Available:
Size / Price
Qty
Loading...

Formulation

Lyophilized from a 0.2 μm filtered solution in PBS with Trehalose.

Shipping

Lyophilized product is shipped at ambient temperature. Liquid small pack size (-SP) is shipped with polar packs. Upon receipt, store immediately at the temperature recommended below.

Stability & Storage

Use a manual defrost freezer and avoid repeated freeze-thaw cycles.
  • 12 months from date of receipt, -20 to -70 °C as supplied.
  • 1 month, 2 to 8 °C under sterile conditions after reconstitution.
  • 6 months, -20 to -70 °C under sterile conditions after reconstitution.

Background: CD4

CD4 is an approximately 55 kDa type I membrane glycoprotein that is expressed predominantly on most thymocytes and a subset of mature T lymphocytes. In humans, CD4 is also expressed to a lesser extent on monocytes and macrophage related cells. Human CD4 cDNA encodes a 458 amino acid (aa) precursor protein with a 25 aa signal peptide, a 371 aa extracellular region containing four immunoglobulin homology domains, a 24 aa transmembrane domain and a 38 aa cytoplasmic domain. CD4 is a coreceptor required for T cell recognition of antigens that are presented by class II major histocompatibility complexes. CD4 has been shown to be a coreceptor of HIV entry and specifically binds gp120, the external envelope glycoprotein of HIV.

References

  1. Capon, D.I. et al. (1991) Annu. Rev. Immunol. 9:649.

Alternate Names

CD4

Entrez Gene IDs

920 (Human); 12504 (Mouse); 24932 (Rat); 403931 (Canine); 101864991 (Cynomolgus Monkey); 493775 (Feline)

Gene Symbol

CD4

UniProt

Additional CD4 Products

Product Documents for Human CD4 Antibody

Certificate of Analysis

To download a Certificate of Analysis, please enter a lot number in the search box below.

Note: Certificate of Analysis not available for kit components.

Product Specific Notices for Human CD4 Antibody

For research use only

Loading...
Loading...
Loading...
Loading...