Skip to main content

Key Product Details

Species Reactivity

Human

Applications

Immunohistochemistry, Western Blot, Simple Western

Label

Unconjugated

Antibody Source

Polyclonal Sheep IgG

Product Specifications

Immunogen

Mouse myeloma cell line NS0-derived recombinant human CD38
Val43-Ile300
Accession # P28907

Specificity

Detects human CD38 in direct ELISAs and Western blots. In Western blots, approximately 10% cross-reactivity with recombinant mouse CD38 is observed.

Clonality

Polyclonal

Host

Sheep

Isotype

IgG

Scientific Data Images for Human CD38 Antibody

Detection of Human CD38 antibody by Western Blot.

Detection of Human CD38 by Western Blot.

Western blot shows lysates of MOLT-4 human acute lymphoblastic leukemia cell line, RPMI 8226 human multiple myeloma cell line, and CEM human T-lymphoblastoid cell line. PVDF membrane was probed with 0.1 µg/mL of Sheep Anti-Human CD38 Antigen Affinity-purified Polyclonal Antibody (Catalog # AF2404) followed by HRP-conjugated Anti-Sheep IgG Secondary Antibody (Catalog # HAF016). A specific and diffuse band was detected for CD38 at approximately 45 kDa (as indicated). This experiment was conducted under reducing conditions and using Immunoblot Buffer Group 1.
Detection of Human CD38 antibody by Simple WesternTM.

Detection of Human CD38 by Simple WesternTM.

Simple Western lane view shows lysates of Raji human Burkitt's lymphoma cell line, loaded at 0.2 mg/mL. A specific band was detected for CD38 at approximately 64 kDa (as indicated) using 10 µg/mL of Sheep Anti-Human CD38 Antigen Affinity-purified Polyclonal Antibody (Catalog # AF2404) . This experiment was conducted under reducing conditions and using the 12-230 kDa separation system.

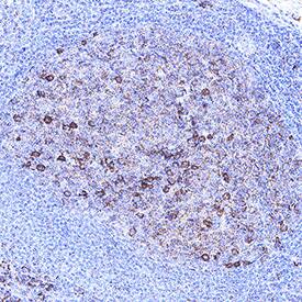
Detection of CD38 in human tonsil.

CD38 was detected in immersion fixed paraffin-embedded sections of human tonsil using Sheep Anti-Human CD38 Antigen Affinity-purified Polyclonal Antibody (Catalog # AF2404) at 0.3 µg/mL for 1 hour at room temperature followed by incubation with the Anti-Sheep IgG VisUCyte™ HRP Polymer Antibody (Catalog # VC006). Before incubation with the primary antibody, tissue was subjected to heat-induced epitope retrieval using VisUCyte Antigen Retrieval Reagent-Basic (Catalog # VCTS021). Tissue was stained using DAB (brown) and counterstained with hematoxylin (blue). Specific staining was localized to cell surface in lymphocytes. View our protocol for IHC Staining with VisUCyte HRP Polymer Detection Reagents.

Applications for Human CD38 Antibody

Application
Recommended Usage

Immunohistochemistry

0.1-15 µg/mL
Sample: Immersion fixed paraffin-embedded sections of human tonsil

Simple Western

10 µg/mL
Sample: Raji human Burkitt's lymphoma cell line

Western Blot

0.1 µg/mL
Sample: MOLT‑4 human acute lymphoblastic leukemia cell line, RPMI 8226 human multiple myeloma cell line, and CEM human T-lymphoblastoid cell line

Formulation, Preparation, and Storage

Purification

Antigen Affinity-purified

Reconstitution

Reconstitute at 0.2 mg/mL in sterile PBS. For liquid material, refer to CoA for concentration.

Reconstitution Buffer Available:
Size / Price
Qty
Loading...

Formulation

Lyophilized from a 0.2 μm filtered solution in PBS with Trehalose. *Small pack size (SP) is supplied either lyophilized or as a 0.2 µm filtered solution in PBS.

Shipping

Lyophilized product is shipped at ambient temperature. Liquid small pack size (-SP) is shipped with polar packs. Upon receipt, store immediately at the temperature recommended below.

Stability & Storage

Use a manual defrost freezer and avoid repeated freeze-thaw cycles.
  • 12 months from date of receipt, -20 to -70 °C as supplied.
  • 1 month, 2 to 8 °C under sterile conditions after reconstitution.
  • 6 months, -20 to -70 °C under sterile conditions after reconstitution.

Background: CD38

CD38, also known as ADP-ribosyl cyclase, is a Type II integral membrane protein. The enzyme is able to transform NAD(P)+ into three different products with calcium mobilizing ability, cyclic ADP-ribose, NAADP+, and ADP-ribose (1). CD38 is expressed in B and T lymphocytes, osteoclasts, and in cardiac, pancreatic, liver and kidney cells (2, 3). Through its production of cyclic ADP-ribose, CD38 modulates calcium-mediated signal transduction in many types of cells, including neutrophils and pancreatic beta cells (4, 5).

References

  1. Schuber, F. and F.E. Lund (2004) Curr. Mol. Med. 4:249.
  2. Jackson, D.G. and J.I. Bell (1990) J. Immunol. 144:2811.
  3. Sun, L. et al. (1999) J. Cell Biol. 146:1161.
  4. Partida-Sanchez, S. et al. (2001) Nature Med. 7:1209.
  5. Kato, I. et al. (1995) J. Biol. Chem. 270:30045.

Long Name

Cluster of Differentiation 38

Alternate Names

ADP-ribosyl Cyclase, CD38, Cyclic ADP-ribose Hydrolase

Entrez Gene IDs

952 (Human); 12494 (Mouse); 25668 (Rat); 102126394 (Cynomolgus Monkey)

Gene Symbol

CD38

UniProt

Additional CD38 Products

Product Documents for Human CD38 Antibody

Certificate of Analysis

To download a Certificate of Analysis, please enter a lot number in the search box below.

Note: Certificate of Analysis not available for kit components.

Product Specific Notices for Human CD38 Antibody

For research use only

Loading...
Loading...
Loading...
Loading...