Skip to main content

Human CD28 Antibody

R&D Systems, part of Bio-Techne | Catalog # AF-342-PB

R&D Systems, part of Bio-Techne

Key Product Details

Species Reactivity

Validated:

Human

Cited:

Human, Mouse

Applications

Validated:

Immunohistochemistry, Flow Cytometry, Immunocytochemistry, Agonist Activity, CyTOF-ready

Cited:

Immunohistochemistry, Flow Cytometry, Cell Culture, ELISA Development, Functional Assay

Label

Unconjugated

Antibody Source

Polyclonal Goat IgG

Product Specifications

Immunogen

S. frugiperda insect ovarian cell line Sf 21-derived recombinant human CD28
Asn19-Pro152
Accession # P10747

Specificity

Detects human CD28 in direct ELISAs and Western blots.

Clonality

Polyclonal

Host

Goat

Isotype

IgG

Endotoxin Level

<0.10 EU per 1 μg of the antibody by the LAL method.

Scientific Data Images for Human CD28 Antibody

Human CD28 Antibody Enhances IL-2 Secretion in Jurkat Cells.

Human CD28 Antigen Affinity-purified Polyclonal Antibody enhances IL-2 secretion in Jurkat human acute T cell leukemia cell line stimulated with 10 ng/mL phorbol myristate acetate (PMA) and 0.5 µM calcium ionophore, in a dose-dependent manner, as measured using the Quantikine Human IL-2 ELISA Kit (Catalog # D2050). The ED50 for this effect is typically 0.3-0.6 µg/mL.
CD28 antibody in Human PBMCs by Immunocytochemistry (ICC).

CD28 in Human PBMCs.

CD28 was detected in immersion fixed human peripheral blood mononuclear cells (PBMCs) using 10 µg/mL Goat Anti-Human CD28 Antigen Affinity-purified Polyclonal Antibody (Catalog # AF-342-PB) for 3 hours at room temperature. Cells were stained with the NorthernLights™ 557-conjugated Anti-Goat IgG Secondary Antibody (red; Catalog # NL001) and counter-stained with DAPI (blue). View our protocol for Fluorescent ICC Staining of Non-adherent Cells.
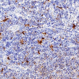
CD28 antibody in Human Tonsil by Immunohistochemistry (IHC-P).

CD28 in Human Tonsil.

CD28 was detected in immersion fixed paraffin-embedded sections of human tonsil using Goat Anti-Human CD28 Antigen Affinity-purified Polyclonal Antibody (Catalog # AF-342-PB) at 3 µg/mL for 1 hour at room temperature followed by incubation with the Anti-Goat IgG VisUCyte™ HRP Polymer Antibody (VC004). Tissue was stained using DAB (brown) and counterstained with hematoxylin (blue). Specific staining was localized to cell surfaces in lymphocytes. View our protocol for IHC Staining with VisUCyte HRP Polymer Detection Reagents.

Applications for Human CD28 Antibody

Application
Recommended Usage

Agonist Activity

0.3-0.6 µg/mL
Sample: Jurkat human acute T cell leukemia cell line

CyTOF-ready

Ready to be labeled using established conjugation methods. No BSA or other carrier proteins that could interfere with conjugation.

Flow Cytometry

2.5 µg/106 cells
Sample: Human whole blood CD3+ T cells

Immunocytochemistry

5-15 µg/mL
Sample: Immersion fixed human peripheral blood mononuclear cells (PBMCs)

Immunohistochemistry

3-15 µg/mL
Sample: Immersion fixed paraffin-embedded sections of human tonsil

Reviewed Applications

Read 2 reviews rated 4 using AF-342-PB in the following applications:

Formulation, Preparation, and Storage

Purification

Antigen Affinity-purified

Reconstitution

Reconstitute at 0.2 mg/mL in sterile PBS. For liquid material, refer to CoA for concentration.

Reconstitution Buffer Available:
Size / Price
Qty
Loading...

Formulation

Lyophilized from a 0.2 μm filtered solution in PBS with Trehalose. *Small pack size (SP) is supplied either lyophilized or as a 0.2 µm filtered solution in PBS.

Shipping

Lyophilized product is shipped at ambient temperature. Liquid small pack size (-SP) is shipped with polar packs. Upon receipt, store immediately at the temperature recommended below.

Stability & Storage

Use a manual defrost freezer and avoid repeated freeze-thaw cycles.
  • 12 months from date of receipt, -20 to -70 °C as supplied.
  • 1 month, 2 to 8 °C under sterile conditions after reconstitution.
  • 6 months, -20 to -70 °C under sterile conditions after reconstitution.

Background: CD28

CD28 and CTLA-4, together with their ligands, B7-1 and B7-2, constitute one of the dominant costimulatory pathways that regulate T and B cell responses. CD28 and CTLA-4 are structurally homologous molecules that are members of the immunoglobulin (Ig) gene superfamily. Both CD28 and CTLA-4 are composed of a single Ig V‑like extracellular domain, a transmembrane domain and an intracellular domain. CD28 and CTLA-4 are both expressed on the cell surface as disulfide-linked homodimers or as monomers. The genes encoding these two molecules are closely linked on human chromosome 2 and mouse chromosome 1. Mouse CD28 is expressed constitutively on virtually 100% of mouse T cells and on developing thymocytes. Cell surface expression of mouse CD28 is down-regulated upon ligation of CD28 in the presence of PMA or PHA. In contrast, CTLA-4 is not expressed constitutively but is up-regulated rapidly following T cell activation and CD28 ligation. Cell surface expression of mouse CTLA-4 peaks approximately 48 hours after activation. Although both CTLA-4 and CD28 can bind to the same ligands, CTLA-4 binds to B7-1 and B7-2 with a 20-100 fold higher affinity than CD28. CD28/B7 interaction has been shown to prevent apoptosis of activated T cells via the upregulation of Bcl-xL. CD28 ligation has also been shown to regulate Th1/Th2 differentiation.

References

  1. Lenschow, D.J. et al. (1996) Annu. Rev. Immunol. 14:233.
  2. Hathcock, K.S. and R.J. Hodes (1996) Advances in Immunol. 62:131.
  3. Ward, S.G. (1996) Biochem. J. 318:361.

Alternate Names

CD28

Entrez Gene IDs

940 (Human); 12487 (Mouse); 102146670 (Cynomolgus Monkey)

Gene Symbol

CD28

UniProt

Additional CD28 Products

Product Documents for Human CD28 Antibody

Certificate of Analysis

To download a Certificate of Analysis, please enter a lot number in the search box below.

Note: Certificate of Analysis not available for kit components.

Product Specific Notices for Human CD28 Antibody

For research use only

Loading...
Loading...
Loading...
Loading...
Loading...