Skip to main content

Key Product Details

Species Reactivity

Validated:

Human

Cited:

Human

Applications

Validated:

Immunohistochemistry, Western Blot, Neutralization, Flow Cytometry, Simple Western, CyTOF-ready

Cited:

Immunohistochemistry, Western Blot, ELISA Development

Label

Unconjugated

Antibody Source

Polyclonal Goat IgG

Product Specifications

Immunogen

S. frugiperda insect ovarian cell line Sf 21-derived recombinant human CD27
Thr21-Ile192
Accession # P26842

Specificity

Detects human CD27 in direct ELISAs and Western blots.

Clonality

Polyclonal

Host

Goat

Isotype

IgG

Endotoxin Level

<0.10 EU per 1 μg of the antibody by the LAL method.

Scientific Data Images for Human CD27/TNFRSF7 Antibody

Detection of Human CD27/TNFRSF7 antibody by Western Blot.

Detection of Human CD27/TNFRSF7 by Western Blot.

Western blot shows lysates of Raji human Burkitt's lymphoma cell line, Daudi human Burkitt's lymphoma cell line, Ramos human Burkitt's lymphoma cell line, and human tonsil tissue. PVDF membrane was probed with 1 µg/mL of Goat Anti-Human CD27/TNFRSF7 Antigen Affinity-purified Polyclonal Antibody (Catalog # AF382) followed by HRP-conjugated Anti-Goat IgG Secondary Antibody (HAF017). A specific band was detected for CD27/ TNFRSF7 at approximately 50 kDa (as indicated). This experiment was conducted under reducing conditions and using Immunoblot Buffer Group 1.
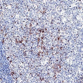
CD27/TNFRSF7 antibody in Human Tonsil by Immunohistochemistry (IHC-P).

CD27/TNFRSF7 in Human Tonsil.

CD27/TNFRSF7 was detected in immersion fixed paraffin-embedded sections of human tonsil using Goat Anti-Human CD27/TNFRSF7 Antigen Affinity-purified Polyclonal Antibody (Catalog # AF382) at 3 µg/mL overnight at 4 °C. Tissue was stained using the Anti-Goat HRP-DAB Cell & Tissue Staining Kit (brown; CTS008) and counterstained with hematoxylin (blue). Specific staining was localized to lymphocytes in germinal center. View our protocol for Chromogenic IHC Staining of Paraffin-embedded Tissue Sections.
Detection of Human CD27/TNFRSF7 antibody by Simple WesternTM.

Detection of Human CD27/TNFRSF7 by Simple WesternTM.

Simple Western lane view shows lysates of human tonsil tissue, loaded at 0.2 mg/mL. A specific band was detected for CD27/TNFRSF7 at approximately 49 kDa (as indicated) using 20 µg/mL of Goat Anti-Human CD27/ TNFRSF7 Antigen Affinity-purified Polyclonal Antibody (Catalog # AF382) followed by 1:50 dilution of HRP-conjugated Anti-Goat IgG Secondary Antibody (Catalog # HAF109). This experiment was conducted under reducing conditions and using the 12-230 kDa separation system.

Applications for Human CD27/TNFRSF7 Antibody

Application
Recommended Usage

CyTOF-ready

Ready to be labeled using established conjugation methods. No BSA or other carrier proteins that could interfere with conjugation.

Flow Cytometry

0.25 µg/106 cells
Sample: Human whole blood lymphocytes

Immunohistochemistry

3-15 µg/mL
Sample: Immersion fixed paraffin-embedded sections of human tonsil

Simple Western

20 µg/mL
Sample:   Human tonsil tissue

Western Blot

1 µg/mL
Sample: Raji human Burkitt's lymphoma cell line, Daudi human Burkitt's lymphoma cell line, Ramos human Burkitt's lymphoma cell line, and human tonsil tissue

Neutralization

Measured by its ability to neutralize CD27/TNFRSF7-induced inhibition of proliferation in mouse splenic T cells. The Neutralization Dose (ND50) is typically 2.25-9.0 µg/mL in the presence of 3 µg/mL Recombinant Human CD27/TNFRSF7 Fc Chimera, 10 µg/mL Recombinant Mouse CD27 Ligand/TNFSF7, and sub-optimal amounts of Mouse CD3 epsilon Monoclonal Antibody.

Reviewed Applications

Read 1 review rated 5 using AF382 in the following applications:

Formulation, Preparation, and Storage

Purification

Antigen Affinity-purified

Reconstitution

Reconstitute at 0.2 mg/mL in sterile PBS. For liquid material, refer to CoA for concentration.

Reconstitution Buffer Available:
Size / Price
Qty
Loading...

Formulation

Lyophilized from a 0.2 μm filtered solution in PBS with Trehalose. *Small pack size (SP) is supplied either lyophilized or as a 0.2 µm filtered solution in PBS.

Shipping

Lyophilized product is shipped at ambient temperature. Liquid small pack size (-SP) is shipped with polar packs. Upon receipt, store immediately at the temperature recommended below.

Stability & Storage

Use a manual defrost freezer and avoid repeated freeze-thaw cycles.
  • 12 months from date of receipt, -20 to -70 °C as supplied.
  • 1 month, 2 to 8 °C under sterile conditions after reconstitution.
  • 6 months, -20 to -70 °C under sterile conditions after reconstitution.

Background: CD27/TNFRSF7

Human CD27 is a lymphocyte-specific member of the TNF receptor superfamily. CD27 is expressed on a subset of human thymocytes and on the majority of mature T cells. CD27 expression is up-regulated after TCR stimulation. Within the CD4+ compartment, it is preferentially expressed on CD45RA+ cells. In contrast, it is preferentially expressed on CD45RO+ cells in the CD8+ compartment. CD27 also appeaars to be a potential marker for memory B cells. It exists as both a disulfide-linked dimer on the cell surface and as a soluble protein found in serum. Human CD27 is a 260 amino acid (aa) protein with a 20 aa signal, a 173 aa extracellular domain, a 20 aa transmembrane domain, and a 47 aa cytoplasmic domain. The ligand for CD27 is CD70. CD70 is expressed on thymic stromal cells and a small subset of activated T cells. Additionally a subset of activated B cells express CD70. The CD27/CD70 interaction appears to be a weak costimulatory pathway involved in T cell and B cell immune response. CD27/CD70 interactions may be more involved in controlling the expansion phase of an immune response. This would be in contrast to B7/CD28 interactions, which are important for the activation phase of immune responses.

References

  1. Camerini, D. et al. (1991) J. Immunol. 147:3165.
  2. Loenen, W.A. et al. (1992) J. Immunol. 149:3937.
  3. Lens, S.M.A. et al. (1998) Sem. Immunol. 10:491.

Alternate Names

CD27, TNFRSF7

Entrez Gene IDs

939 (Human); 21940 (Mouse); 500318 (Rat); 102139476 (Cynomolgus Monkey)

Gene Symbol

CD27

UniProt

Additional CD27/TNFRSF7 Products

Product Documents for Human CD27/TNFRSF7 Antibody

Certificate of Analysis

To download a Certificate of Analysis, please enter a lot number in the search box below.

Note: Certificate of Analysis not available for kit components.

Product Specific Notices for Human CD27/TNFRSF7 Antibody

For research use only

Loading...
Loading...
Loading...
Loading...
Loading...