Skip to main content

Key Product Details

Species Reactivity

Human

Applications

CyTOF-ready, Flow Cytometry, Immunohistochemistry, Simple Western, Western Blot

Label

Unconjugated

Antibody Source

Polyclonal Goat IgG

Product Specifications

Immunogen

Mouse myeloma cell line NS0-derived recombinant human CD2
Lys25-Asp209
Accession # P06729

Specificity

Detects human CD2 in direct ELISAs and Western blots.

Clonality

Polyclonal

Host

Goat

Isotype

IgG

Scientific Data Images for Human CD2 Antibody

Detection of Human CD2 antibody by Western Blot.

Detection of Human CD2 by Western Blot.

Western blot shows lysates of Jurkat human acute T cell leukemia cell line, Raji human Burkitt's lymphoma cell line (negative control), MOLT-4 human acute lymphoblastic leukemia cell line, and HeLa human cervical epithelial carcinoma cell line (negative control). PVDF membrane was probed with 0.5 µg/mL of Goat Anti-Human CD2 Antigen Affinity-purified Polyclonal Antibody (Catalog # AF1856) followed by HRP-conjugated Anti-Goat IgG Secondary Antibody (Catalog # HAF017). A specific band was detected for CD2 at approximately 48 kDa (as indicated). GAPDH (Catalog # AF5718) is shown as a loading control. This experiment was conducted under reducing conditions and using Immunoblot Buffer Group 1.
Detection of Human CD2 antibody by Simple WesternTM.

Detection of Human CD2 by Simple WesternTM.

Simple Western lane view shows lysates of Jurkat human acute T cell leukemia cell line, MOLT-4 human acute lymphoblastic leukemia cell line, Raji human Burkitt's lymphoma cell line (negative control), and HeLa human cervical epithelial carcinoma cell line (negative control), loaded at 0.2 mg/mL. A specific band was detected for CD2 at approximately 77-87 kDa (as indicated) using 10 µg/mL of Goat Anti-Human CD2 Antigen Affinity-purified Polyclonal Antibody (Catalog # AF1856) followed by 1:50 dilution of HRP-conjugated Anti-Goat IgG Secondary Antibody (Catalog # HAF109). This experiment was conducted under reducing conditions and using the 12-230 kDa separation system.

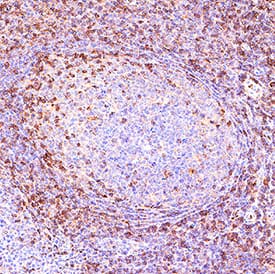
Detection of CD2 in human tonsil.

CD2 was detected in immersion fixed paraffin-embedded sections of human tonsil using Goat Anti-Human CD2 Antigen Affinity-purified Polyclonal Antibody (Catalog # AF1856) at 3 µg/mL for 1 hour at room temperature followed by incubation with the Anti-Goat IgG VisUCyte™ HRP Polymer Antibody (Catalog # VC004). Before incubation with the primary antibody, tissue was subjected to heat-induced epitope retrieval using VisUCyte Antigen Retrieval Reagent-Basic (Catalog # VCTS021). Tissue was stained using DAB (brown) and counterstained with hematoxylin (blue). Specific staining was localized to cell surface in lymphocytes. View our protocol for IHC Staining with VisUCyte HRP Polymer Detection Reagents.

Applications for Human CD2 Antibody

Application
Recommended Usage

CyTOF-ready

Ready to be labeled using established conjugation methods. No BSA or other carrier proteins that could interfere with conjugation.

Flow Cytometry

0.25 µg/106 cells
Sample: Human whole blood lymphocytes

Immunohistochemistry

3-15 µg/mL
Sample: Immersion fixed paraffin-embedded sections of human tonsil

Simple Western

10 µg/mL
Sample: Jurkat human acute T cell leukemia cell line and MOLT‑4 human acute lymphoblastic leukemia cell line

Western Blot

0.5 µg/mL
Sample: Jurkat human acute T cell leukemia cell line and MOLT‑4 human acute lymphoblastic leukemia cell line

Formulation, Preparation, and Storage

Purification

Antigen Affinity-purified

Reconstitution

Reconstitute at 0.2 mg/mL in sterile PBS. For liquid material, refer to CoA for concentration.

Reconstitution Buffer Available:
Size / Price
Qty
Loading...

Formulation

Lyophilized from a 0.2 μm filtered solution in PBS with Trehalose. *Small pack size (SP) is supplied either lyophilized or as a 0.2 µm filtered solution in PBS.

Shipping

Lyophilized product is shipped at ambient temperature. Liquid small pack size (-SP) is shipped with polar packs. Upon receipt, store immediately at the temperature recommended below.

Stability & Storage

Use a manual defrost freezer and avoid repeated freeze-thaw cycles.
  • 12 months from date of receipt, -20 to -70 °C as supplied.
  • 1 month, 2 to 8 °C under sterile conditions after reconstitution.
  • 6 months, -20 to -70 °C under sterile conditions after reconstitution.

Background: CD2

CD2 is a type I glycoprotein belonging to the Ig superfamily and is expressed on T cells, NK cells, B cells and some antigen presenting cells. Human CD2 binds human CD58 on antigen-presenting cells to induce co-stimulating signals in T cells.

Alternate Names

CD2, LFA-2, T11

Entrez Gene IDs

914 (Human); 12481 (Mouse); 102120798 (Cynomolgus Monkey)

Gene Symbol

CD2

UniProt

Additional CD2 Products

Product Documents for Human CD2 Antibody

Certificate of Analysis

To download a Certificate of Analysis, please enter a lot number in the search box below.

Note: Certificate of Analysis not available for kit components.

Product Specific Notices for Human CD2 Antibody

For research use only

Loading...
Loading...
Loading...
Loading...
Loading...