Skip to main content

Human CD1a Antibody

R&D Systems, part of Bio-Techne | Catalog # MAB7076

R&D Systems, part of Bio-Techne

Key Product Details

Species Reactivity

Validated:

Human

Cited:

Human

Applications

Validated:

Immunohistochemistry, Flow Cytometry, Immunocytochemistry, CyTOF-ready

Cited:

Flow Cytometry

Label

Unconjugated

Antibody Source

Monoclonal Mouse IgG1 Clone # 703217

Product Specifications

Immunogen

Mouse myeloma cell line NS0-derived recombinant human CD1a
Asp19-Val300 (predicted)
Accession # P06126

Specificity

Detects human CD1a in direct ELISAs. In direct ELISAs, less than 5% cross-reactivity with recombinant human (rh) CD1d is observed and no cross-reactivity with with rhCD1b or rhCD1e is observed.

Clonality

Monoclonal

Host

Mouse

Isotype

IgG1

Scientific Data Images for Human CD1a Antibody

Detection of CD1a antibody in MOLT-4 Human Cell Line antibody by Flow Cytometry.

Detection of CD1a in MOLT‑4 Human Cell Line by Flow Cytometry.

MOLT-4 human acute lymphoblastic leukemia cell line was stained with Mouse Anti-Human CD1a Monoclonal Antibody (Catalog # MAB7076, filled histogram) or isotype control antibody (MAB002, open histogram), followed by Phycoerythrin-conjugated Anti-Mouse IgG Secondary Antibody (F0102B).
CD1a antibody in MOLT-4 Human Cell Line by Immunocytochemistry (ICC).

CD1a in MOLT‑4 Human Cell Line.

CD1a was detected in immersion fixed MOLT-4 human acute lymphoblastic leukemia cell line using Mouse Anti-Human CD1a Monoclonal Antibody (Catalog # MAB7076) at 10 µg/mL for 3 hours at room temperature. Cells were stained using the NorthernLights™ 557-conjugated Anti-Mouse IgG Secondary Antibody (red; NL007) and counterstained with DAPI (blue). Specific staining was localized to surface and cytoplasm. View our protocol for Fluorescent ICC Staining of Non-adherent Cells.

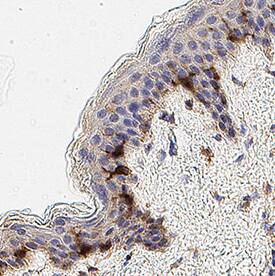
Detection of CD1a in Human Skin.

CD1a was detected in immersion fixed paraffin-embedded sections of Human Skin using Mouse Anti-Human CD1a Monoclonal Antibody (Catalog # MAB7076) at 3 µg/mL for 1 hour at room temperature followed by incubation with the Anti-Mouse IgG VisUCyte™ HRP Polymer Antibody (Catalog # VC001). Before incubation with the primary antibody, tissue was subjected to heat-induced epitope retrieval using VisUCyte Antigen Retrieval Reagent-Basic (Catalog # VCTS021). Tissue was stained using DAB (brown) and counterstained with hematoxylin (blue). Specific staining was localized to Langerhan's cells. View our protocol for IHC Staining with VisUCyte HRP Polymer Detection Reagents.

Applications for Human CD1a Antibody

Application
Recommended Usage

CyTOF-ready

Ready to be labeled using established conjugation methods. No BSA or other carrier proteins that could interfere with conjugation.

Flow Cytometry

2.5 µg/106 cells
Sample: MOLT‑4 human acute lymphoblastic leukemia cell line

Immunocytochemistry

8-25 µg/mL
Sample: Immersion fixed MOLT‑4 human acute lymphoblastic leukemia cell line

Immunohistochemistry

3-15 µg/mL
Sample: Immersion fixed paraffin-embedded sections of Human Skin

Formulation, Preparation, and Storage

Purification

Protein A or G purified from hybridoma culture supernatant

Reconstitution

Sterile PBS to a final concentration of 0.5 mg/mL. For liquid material, refer to CoA for concentration.

Reconstitution Buffer Available:
Size / Price
Qty
Loading...

Formulation

Lyophilized from a 0.2 μm filtered solution in PBS with Trehalose. *Small pack size (SP) is supplied either lyophilized or as a 0.2 µm filtered solution in PBS.

Shipping

Lyophilized product is shipped at ambient temperature. Liquid small pack size (-SP) is shipped with polar packs. Upon receipt, store immediately at the temperature recommended below.

Stability & Storage

Use a manual defrost freezer and avoid repeated freeze-thaw cycles.
  • 12 months from date of receipt, -20 to -70 °C as supplied.
  • 1 month, 2 to 8 °C under sterile conditions after reconstitution.
  • 6 months, -20 to -70 °C under sterile conditions after reconstitution.

Background: CD1a

CD1a is a 49 kDa transmembrane glycoprotein in the CD1 family of glycolipid antigen-presenting MHC-like molecules. CD1a contains one Ig-like domain in its extracellular region. It is expressed by most nonhuman mammals but not by mice or rats. Complexes of CD1a with beta2-microglobulin and endogenous glycolipids are constitutively expressed on antigen presenting cells, cortical thymocytes, and Langerhans cells. CD1a is a target of autoreactive Th22 helper T cells in the skin.

Long Name

T Cell Surface Glycoprotein CD1a

Alternate Names

CD1a, FCB6, HTA1, R4, T6

Entrez Gene IDs

909 (Human)

Gene Symbol

CD1A

UniProt

Additional CD1a Products

Product Documents for Human CD1a Antibody

Certificate of Analysis

To download a Certificate of Analysis, please enter a lot number in the search box below.

Note: Certificate of Analysis not available for kit components.

Product Specific Notices for Human CD1a Antibody

For research use only

Loading...
Loading...
Loading...
Loading...
Loading...