Skip to main content

Human CD163 Antibody

R&D Systems, part of Bio-Techne | Catalog # MAB11730

R&D Systems, part of Bio-Techne
Catalog #
Availability
Size / Price
Qty
Loading...
MAB11730-100
MAB11730-SP

Key Product Details

Species Reactivity

Human

Applications

Multiplex Immunofluorescence, Immunohistochemistry

Label

Unconjugated

Antibody Source

Monoclonal Mouse IgG1 Clone # 1111605

Product Specifications

Immunogen

Synthetic Peptide
Accession # Q86VB7

Specificity

Detects a synthetic peptide specific for human CD163 around amino acid 240 in Direct ELISA.

Clonality

Monoclonal

Host

Mouse

Isotype

IgG1

Scientific Data Images for Human CD163 Antibody

Detection of CD163 in Human Liver via seqIF™ staining on COMET™

CD163 was detected in immersion fixed paraffin-embedded sections of human Liver using Mouse Anti-Human CD163, Monoclonal Antibody (Catalog #MAB11730) at 5ug/mL at 37° Celsius for 4 minutes. Before incubation with the primary antibody, tissue underwent an all-in-one dewaxing and antigen retrieval preprocessing using PreTreatment Module (PT Module) and Dewax and HIER Buffer H (pH 9; Epredia Catalog # TA-999-DHBH). Tissue was stained using the Alexa Fluor™ 647 Goat anti-Mouse IgG Secondary Antibody at 1:200 at 37 ° Celsius for 2 minutes. (Yellow; Lunaphore Catalog # DR647MS) and counterstained with DAPI (blue; Lunaphore Catalog # DR100). Specific staining was localized to the membrane. Protocol available in COMET™ Panel Builder.​​

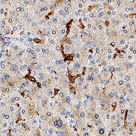
Detection of CD163 in Human Liver.

CD163 was detected in immersion fixed paraffin-embedded sections of human liver using Mouse Anti-Human CD163 Monoclonal Antibody (Catalog # MAB11730) at 5 µg/ml for 1 hour at room temperature followed by incubation with the Anti-Mouse IgG VisUCyte™ HRP Polymer Antibody (Catalog # VC001) or the HRP-conjugated Anti-Mouse IgG Secondary Antibody (Catalog # HAF007). Before incubation with the primary antibody, tissue was subjected to heat-induced epitope retrieval using VisUCyte Antigen Retrieval Reagent-Basic (Catalog # VCTS021). Tissue was stained using DAB (brown) and counterstained with hematoxylin (blue). Specific staining was localized to the cell surface of Kupffer cells. View our protocol for IHC Staining with VisUCyte HRP Polymer Detection Reagents.

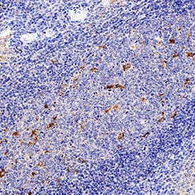
Detection of CD163 in Human Tonsil.

CD163 was detected in immersion fixed paraffin-embedded sections of human tonsil using Mouse Anti-Human CD163 Monoclonal Antibody (Catalog # MAB11730) at 5 µg/ml for 1 hour at room temperature followed by incubation with the Anti-Mouse IgG VisUCyte™ HRP Polymer Antibody (Catalog # VC001) or the HRP-conjugated Anti-Mouse IgG Secondary Antibody (Catalog # HAF007). Before incubation with the primary antibody, tissue was subjected to heat-induced epitope retrieval using VisUCyte Antigen Retrieval Reagent-Basic (Catalog # VCTS021). Tissue was stained using DAB (brown) and counterstained with hematoxylin (blue). Specific staining was localized to the cell surface. View our protocol for IHC Staining with VisUCyte HRP Polymer Detection Reagents.

Applications for Human CD163 Antibody

Application
Recommended Usage

Immunohistochemistry

3-25 µg/mL
Sample: Immersion fixed paraffin-embedded sections of human liver and tonsil

Multiplex Immunofluorescence

5 µg/mL
Sample: Immersion fixed paraffin-embedded sections of human liver

Formulation, Preparation, and Storage

Purification

Protein A or G purified from hybridoma culture supernatant

Reconstitution

Reconstitute lyophilized material at 0.2 mg/ml in sterile PBS. For liquid material, refer to CoA for concentration.

Reconstitution Buffer Available:
Size / Price
Qty
Loading...

Formulation

Lyophilized from a 0.2 μm filtered solution in PBS with Trehalose.

Shipping

Lyophilized product is shipped at ambient temperature. Liquid small pack size (-SP) is shipped with polar packs. Upon receipt, store immediately at the temperature recommended below.

Stability & Storage

Use a manual defrost freezer and avoid repeated freeze-thaw cycles.
  • 12 months from date of receipt, -20 to -70 °C as supplied.
  • 1 month, 2 to 8 °C under sterile conditions after reconstitution.
  • 6 months, -20 to -70 °C under sterile conditions after reconstitution.

Background: CD163

CD163, previously called M130 or p155, is a 130‑160 kDa type I transmembrane glycoprotein that belongs to group B of the cysteine-rich scavenger receptor family (1‑3). It is essential for clearance of hemoglobin-haptoglobin (Hb-Hp) complexes in the liver, spleen and circulation (4). The human CD163 contains a 41 amino acid (aa) signal sequence, a 1009 aa extracellular domain (ECD) with 9 scavenger receptor cysteine-rich (SRCR) domains, a 22 aa transmembrane segment, and a 39‑84 aa cytoplasmic region (1). The third SRCR domain is crucial for calcium-dependent binding of hemoglobin/haptoglobin complexes (3). Three splice forms (isoforms 2, 3 and 4) vary within their intracellular regions (1, 5), while one isoform (# 4) also has a 34 aa insert between SRCR domains 5 and 6 within the ECD. While all are expressed, isoform 3 is the most abundant, being generally expressed on the cell surface and most active in endocytosis (5). An approximately 130 kDa soluble form of human CD163 (sCD163) is assumed to contain virtually all of the ECD, which shares 74%, 75%, 84%, 86%, 86% and 87% aa identity with mouse, rat, bovine, equine, porcine and canine CD163 ECD, respectively (6, 7). It is released from the cell surface by proteolysis after oxidative stress or inflammatory stimuli, including bacterial endotoxins and activation of the Toll-like receptors TLR2 or TLR5 (7‑10). Expression of CD163 is constitutive, and induced by glucocorticoids, IL‑10, IL‑6 or endotoxin on circulating monocytes, tissue macrophages, and at low levels on monocyte-derived dendritic cells (1, 2, 11, 12). In addition to clearing Hb‑Hp complexes, CD163 is also a scavenger receptor for free Hb (if Hp is depleted) and TWEAK (TNF-like weak inducer of apoptosis), and can function as an erythroblast adhesion receptor (4, 13‑15).

References

  1. Law, S.K.A. et al. (1993) Eur. J. Immunol. 23:2320.
  2. Sulahian, T.H. et al. (2000) Cytokine 12:1312.
  3. Madsen, M. et al. (2004) J. Biol. Chem. 279:51561.
  4. Kristiansen, M. et al. (2001) Nature 409:198.
  5. Nielsen, M.J. et al. (2006) J. Leukoc. Biol. 79:837.
  6. Moller, H.J. et al. (2002) Blood 99:378.
  7. Droste, A. et al. (1999) Biochem. Biophys. Res. Commun. 256:110.
  8. Hintz, K. A. et al. (2002) J. Leukoc. Biol. 72:711.
  9. Weaver, L.K. et al. (2006) J. Leukoc. Biol. 80:26.
  10. Timmerman, M. and P. Hogger (2005) Free Radic. Biol. Med. 39:98.
  11. Buechler, C. et al. (2000) J. Leukoc. Biol. 67:97.
  12. Pulford, K.A. et al. (1989) J. Clin. Pathol. 42:414.
  13. Schaer, D.J. et al. (2006) Blood 107:373.
  14. Bover, L.C. et al. (2007) J. Immunol. 178:8183.
  15. Fabriek, B.O. et al. (2007) Blood 109:5223.

Alternate Names

CD163, GHI/61, HbSR, M130, RM3/1

Entrez Gene IDs

9332 (Human); 93671 (Mouse); 312701 (Rat)

Gene Symbol

CD163

UniProt

Additional CD163 Products

Product Documents for Human CD163 Antibody

Certificate of Analysis

To download a Certificate of Analysis, please enter a lot number in the search box below.

Note: Certificate of Analysis not available for kit components.

Product Specific Notices for Human CD163 Antibody

For research use only

Loading...
Loading...
Loading...
Loading...