Skip to main content

Key Product Details

Validated by

Biological Validation

Species Reactivity

Validated:

Human

Cited:

Human

Applications

Validated:

Immunohistochemistry, Western Blot, Neutralization

Cited:

Immunohistochemistry, Immunohistochemistry-Paraffin, Immunohistochemistry-Frozen

Label

Unconjugated

Antibody Source

Polyclonal Goat IgG

Product Specifications

Immunogen

E. coli-derived recombinant human CCL26/Eotaxin‑3
Thr24-Leu94
Accession # Q9Y258

Specificity

Detects CCL26/Eotaxin‑3 in direct ELISAs and Western blots.

Clonality

Polyclonal

Host

Goat

Isotype

IgG

Endotoxin Level

<0.10 EU per 1 μg of the antibody by the LAL method.

Scientific Data Images for Human CCL26/Eotaxin-3 Antibody

Detection of Human CCL26/Eotaxin-3 antibody by Western Blot.

Detection of Human CCL26/Eotaxin‑3 by Western Blot.

Western blot shows lysates of HUVEC human umbilical vein endothelial cells untreated (-) or treated (+) with 100 U/mL Recombinant Human IL-4 (Catalog # 204-IL) for 24 hours. PVDF membrane was probed with 1 µg/mL of Goat Anti-Human CCL26/Eotaxin-3 Antigen Affinity-purified Polyclonal Antibody (Catalog # AF653) followed by HRP-conjugated Anti-Goat IgG Secondary Antibody (Catalog # HAF017). A specific band was detected for CCL26/ Eotaxin-3 at approximately 12 kDa (as indicated). This experiment was conducted under reducing conditions and using Immunoblot Buffer Group 1.

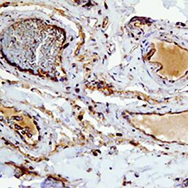
CCL26/Eotaxin-3 in Human Colon (Vasculature).

CCL26/Eotaxin-3 was detected in immersion fixed paraffin-embedded sections of human colon (vasculature) using Goat Anti-Human CCL26/Eotaxin-3 Antigen Affinity-purified Polyclonal Antibody (Catalog # AF653) at 15 µg/mL for 1 hour at room temperature followed by incubation with the Anti-Goat IgG VisUCyte™ HRP Polymer Antibody (VC004). Before incubation with the primary antibody, tissue was subjected to heat-induced epitope retrieval using Antigen Retrieval Reagent-Basic (CTS013). Tissue was stained using DAB (brown) and counterstained with hematoxylin (blue). Specific staining was localized to cell surface on endothelial cells. Staining was performed using our protocol for IHC Staining with VisUCyte HRP Polymer Detection Reagents.
Chemotaxis Induced by CCL26/Eotaxin‑3 and Neutralizatio by Human CCL26/Eotaxin‑3 Antibody.

Chemotaxis Induced by CCL26/Eotaxin‑3 and Neutralizatio by Human CCL26/Eotaxin‑3 Antibody.

Recombinant Human CCL26/Eotaxin-3 (Catalog # 346-E3) chemoattracts the BaF3 mouse pro-B cell line transfected with mouse CCR3 in a dose-dependent manner (orange line). The amount of cells that migrated through to the lower chemotaxis chamber was measured by Resazurin (Catalog # AR002). Chemotaxis elicited by Recombinant Human CCL26/Eotaxin-3 (1 µg/mL) is neutralized (green line) by increasing concentrations of Human CCL26/Eotaxin-3 Antigen Affinity-purified Polyclonal Antibody (Catalog # AF653). The ND50 is typically 4-24 µg/mL.

Applications for Human CCL26/Eotaxin-3 Antibody

Application
Recommended Usage

Immunohistochemistry

5-15 µg/mL
Sample: Immersion fixed paraffin-embedded sections of human colon (vasculature)

Western Blot

1 µg/mL
Sample: HUVEC human umbilical vein endothelial cells treated with Recombinant Human IL‑4 (Catalog # 204-IL)

Neutralization

Measured by its ability to neutralize CCL26/Eotaxin‑3-induced chemotaxis in the BaF3 mouse pro‑B cell line transfected with mouse CCR3. The Neutralization Dose (ND50) is typically 4-24 µg/mL in the presence of 1 µg/mL Recombinant Human CCL26/Eotaxin‑3.

Formulation, Preparation, and Storage

Purification

Antigen Affinity-purified

Reconstitution

Reconstitute at 0.2 mg/mL in sterile PBS. For liquid material, refer to CoA for concentration.

Reconstitution Buffer Available:
Size / Price
Qty
Loading...

Formulation

Lyophilized from a 0.2 μm filtered solution in PBS with Trehalose. *Small pack size (SP) is supplied either lyophilized or as a 0.2 µm filtered solution in PBS.

Shipping

Lyophilized product is shipped at ambient temperature. Liquid small pack size (-SP) is shipped with polar packs. Upon receipt, store immediately at the temperature recommended below.

Stability & Storage

Use a manual defrost freezer and avoid repeated freeze-thaw cycles.
  • 12 months from date of receipt, -20 to -70 °C as supplied.
  • 1 month, 2 to 8 °C under sterile conditions after reconstitution.
  • 6 months, -20 to -70 °C under sterile conditions after reconstitution.

Background: CCL26/Eotaxin-3

Eotaxin-3, also named CCL26 or SCYA26, is a novel human CC chemokine that maps to chromosome 7q11.2, within 40 kilobases of the Eotaxin-2 loci. Eotaxin‑3/CCL26 has been shown to be constitutively expressed in the heart and ovary. In addition, low levels of Eotaxin-3/CCL26 expression can also be detected in various tissues. The expression of Eotaxin-3/CCL26 in vascular endothelial cells has been shown to be up-regulated by IL-13 and IL-4.

Eotaxin-3/CCL26 cDNA encodes a 94 amino acid (aa) residue protein with a putative signal peptide of either 23 or 26 aa residues. Recombinant Eotaxin-3/CCL26 has been produced in insect cells using a baculovirus expression system and shown to contain 71 aa residues. Recombinant Eotaxin-3/CCL26 is chemotactic for eosinophils and PHA-activated T cells. Eotaxin-3/CCL26 induces calcium flux in eosinophils as well as in CCR3-transfected cells. Eotaxin-3/CCL26 has also been shown to cross-desensitize cells to other CCR3 ligands. Both the 71 aa residue and 68 aa residue variants of recombinant Eotaxin-3 have been expressed in E. coli and found to have equal potency in inducing chemotaxis of a human CCR3-transfected cell line.

References

  1. Gou, R.F. et al. (1999) Genomics 58:313.
  2. Kitamura, M. et al. (1999) J. Biol. Chem. 274:27975.
  3. Shinkai, A. et al. (1999) J. Immunol. 163:1602.

Alternate Names

Eotaxin-3, Eotaxin3, SCYA26

Entrez Gene IDs

10344 (Human)

Gene Symbol

CCL26

UniProt

Additional CCL26/Eotaxin-3 Products

Product Documents for Human CCL26/Eotaxin-3 Antibody

Certificate of Analysis

To download a Certificate of Analysis, please enter a lot number in the search box below.

Note: Certificate of Analysis not available for kit components.

Product Specific Notices for Human CCL26/Eotaxin-3 Antibody

For research use only

Loading...
Loading...
Loading...
Loading...