Skip to main content

Key Product Details

Species Reactivity

Validated:

Human

Cited:

Human, Mouse, Canine, Gerbil, Xenograft

Applications

Validated:

Immunohistochemistry, Western Blot, Simple Western, Immunoprecipitation

Cited:

Immunohistochemistry-Frozen, Western Blot, Immunocytochemistry, Immunoprecipitation, ELISA Capture, Microarray, Electron Microscopy

Label

Unconjugated

Antibody Source

Polyclonal Goat IgG

Product Specifications

Immunogen

Mouse myeloma cell line NS0-derived recombinant human Cathepsin D
Leu21-Leu412
Accession # P07339

Specificity

Detects human Cathepsin D in direct ELISAs and Western blots. In direct ELISAs, approximately 20% cross-reactivity with recombinant mouse (rm) Cathepsin D is observed.

Clonality

Polyclonal

Host

Goat

Isotype

IgG

Scientific Data Images for Human Cathepsin D Antibody

Detection of Human Cathepsin D antibody by Western Blot.

Detection of Human Cathepsin D by Western Blot.

Western blot shows lysates of K562 human chronic myelogenous leukemia cell line. PVDF membrane was probed with 1 µg/mL of Goat Anti-Human Cathepsin D Antigen Affinity-purified Polyclonal Antibody (Catalog # AF1014) followed by HRP-conjugated Anti-Goat IgG Secondary Antibody (Catalog # HAF019). Specific bands were detected for Procathepsin D at approximately 45 kDa and Cathepsin D heavy chain 28 kDa (as indicated). This experiment was conducted under reducing conditions and using Immunoblot Buffer Group 1.
Detection of Human Cathepsin D antibody by Western Blot.

Detection of Human Cathepsin D by Western Blot.

Western blot shows lysates of PANC-1 human pancreatic carcinoma cell line and MCF-7 human breast cancer cell line. PVDF membrane was probed with 1 µg/mL of Goat Anti-Human Cathepsin D Antigen Affinity-purified Polyclonal Antibody (Catalog # AF1014) followed by HRP-conjugated Anti-Goat IgG Secondary Antibody (Catalog # HAF017). Specific bands were detected for Procathepsin D at approximately 45 kDa and Cathepsin D heavy chain 28 kDa (as indicated). This experiment was conducted under reducing conditions and using Immunoblot Buffer Group 1.
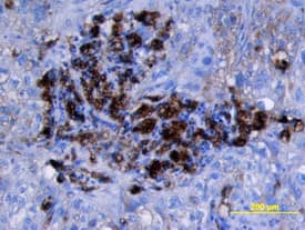
Cathepsin D antibody in Human Lung Cancer Tissue by Immunohistochemistry (IHC-P).

Cathepsin D in Human Lung Cancer Tissue.

Cathepsin D was detected in immersion fixed paraffin-embedded sections of human lung cancer tissue using Goat Anti-Human Cathepsin D Antigen Affinity-purified Polyclonal Antibody (Catalog # AF1014) at 15 µg/mL overnight at 4 °C. Tissue was stained using the Anti-Goat HRP-DAB Cell & Tissue Staining Kit (brown; Catalog # CTS008) and counterstained with hematoxylin (blue). View our protocol for Chromogenic IHC Staining of Paraffin-embedded Tissue Sections.

Applications for Human Cathepsin D Antibody

Application
Recommended Usage

Immunohistochemistry

5-15 µg/mL
Sample: Immersion fixed paraffin-embedded sections of human breast and lung cancer tissue

Immunoprecipitation

25 µg/mL
Sample: Conditioned cell culture medium spiked with Recombinant Human Cathepsin D (Catalog # 1014-AS), see our available Western blot detection antibodies

Simple Western

50 µg/mL
Sample: K562 human chronic myelogenous leukemia cell line and MCF‑7 human breast cancer cell line

Western Blot

1 µg/mL
Sample: K562 human chronic myelogenous leukemia cell line, PANC‑1 human pancreatic carcinoma cell line, and MCF‑7 human breast cancer cell line

Formulation, Preparation, and Storage

Purification

Antigen Affinity-purified

Reconstitution

Reconstitute at 0.2 mg/mL in sterile PBS. For liquid material, refer to CoA for concentration.

Reconstitution Buffer Available:
Size / Price
Qty
Loading...

Formulation

Lyophilized from a 0.2 μm filtered solution in PBS with Trehalose. *Small pack size (SP) is supplied either lyophilized or as a 0.2 µm filtered solution in PBS.

Shipping

Lyophilized product is shipped at ambient temperature. Liquid small pack size (-SP) is shipped with polar packs. Upon receipt, store immediately at the temperature recommended below.

Stability & Storage

Use a manual defrost freezer and avoid repeated freeze-thaw cycles.
  • 12 months from date of receipt, -20 to -70 °C as supplied.
  • 1 month, 2 to 8 °C under sterile conditions after reconstitution.
  • 6 months, -20 to -70 °C under sterile conditions after reconstitution.

Background: Cathepsin D

Cathepsin D is a lysosomal aspartic protease of the pepsin family (1). Human cathepsin D is synthesized as a precursor protein, consisting of a signal peptide (residues 1‑18), a propeptide (residues 19-64), and a mature chain (residues 65‑412) (2‑4). The mature chain can be processed further to the light (residues 65‑161) and heavy (residues 169‑412) chains. It is expressed in most cells and overexpressed in breast cancer cells (5). It is a major enzyme in protein degradation in lysosomes, and also involved in the presentation of antigenic peptides. Mice deficient in this enzyme showed a progressive atrophy of the intestinal mucosa, a massive destruction of lymphoid organs, and a profound neuronal ceroid lipofucinosis, indicating that cathepsin D is essential for proteolysis of proteins regulating cell growth and tissue homeostasis (6). Cathepsin D secreted from human prostate carcinoma cells are responsible for the generation of angiostatin, a potent endogeneous inhibitor of angiogenesis (6).

References

  1. Conner et al. in Handbook of Proteolytic Enzymes Barrett (1998) Academic Press, San Diego, p. 828.
  2. Faust, et al. (1985) Proc. Natl. Acad. Sci. USA 82:4910.
  3. Westley and May (1987) Nucl. Acid Res. 15:3773.
  4. Redecker, et al. (1991) DNA Cell Biol. 10:423.
  5. Rochefort, et al. (2000) Clin. Chim. Acta. 291:157.
  6. Tsukuba, et al. (2000) Mol. Cells 10:601.

Alternate Names

CTSD

Entrez Gene IDs

1509 (Human); 13033 (Mouse)

Gene Symbol

CTSD

UniProt

Additional Cathepsin D Products

Product Documents for Human Cathepsin D Antibody

Certificate of Analysis

To download a Certificate of Analysis, please enter a lot number in the search box below.

Note: Certificate of Analysis not available for kit components.

Product Specific Notices for Human Cathepsin D Antibody

For research use only

Loading...
Loading...
Loading...
Loading...