Skip to main content

Key Product Details

Validated by

Orthogonal Validation, Biological Validation

Species Reactivity

Human

Applications

Dual RNAscope ISH-IHC Compatible, Immunocytochemistry

Label

Unconjugated

Antibody Source

Recombinant Monoclonal Rabbit IgG Clone # 1112I

Product Specifications

Immunogen

KLH-conjugated human Caspase-3 synthetic peptide
CRGTELDCGIETD
Accession # P42574

Specificity

Detects the active form and p17 subunit of Caspase-3 in direct ELISAs, with less than 5% cross-reactivity with the precursor form observed.

Clonality

Monoclonal

Host

Rabbit

Isotype

IgG

Scientific Data Images for Human Caspase-3 Antibody

Caspase-3 antibody in Jurkat Human Cell Line by Immunocytochemistry (ICC).

Caspase‑3 in Jurkat Human Cell Line.

Caspase-3 was detected in immersion fixed Jurkat human acute T cell leukemia cell line treated with Staurosporine using Rabbit Anti-Human Caspase-3 Monoclonal Antibody (Catalog # MAB7071) at 1 µg/mL for 3 hours at room temperature. Cells were stained using the NorthernLights™ 557-conjugated Anti-Rabbit IgG Secondary Antibody (red; Catalog # NL004) and counterstained with DAPI (blue). Specific staining was localized to cytoplasm. View our protocol for Fluorescent ICC Staining of Non-adherent Cells.
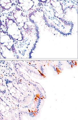
Caspase-3 antibody in Human Colon Using Dual RNAscope®ISH and IHC.

Caspase-3 in Human Colon Using Dual RNAscope®ISH and IHC.

Caspase-3 mRNA was detected (top image) in formalin-fixed paraffin-embedded tissue sections of human colon probed with ACD RNAScope®Probe (Catalog # 436561) and stained using ACD RNAscope®2.5 HD Duplex Detection Reagents (red, Catalog # 322500). Adjacent tissue section (bottom image) was processed for immunohistochemistry using R&D Systems Rabbit Anti-Human Caspase-3 Monoclonal Antibody (Catalog# MAB7071) at 5 ug/mL for 1 hour at room temperature followed by incubation with the Anti-Mouse IgG VisUCyte HRP Polymer Antibody (R&D Systems, Catalog # VC001) and DAB chromogen (brown). Tissues were counterstained with hematoxylin (blue).

Applications for Human Caspase-3 Antibody

Application
Recommended Usage

Dual RNAscope ISH-IHC Compatible

5-25 µg/mL
Sample: Immersion fixed paraffin-embedded sections of human colon

Immunocytochemistry

1-25 µg/mL
Sample: Immersion fixed Jurkat human acute T cell leukemia cell line treated with Staurosporine

Reviewed Applications

Read 1 review rated 5 using MAB7071 in the following applications:

Formulation, Preparation, and Storage

Purification

Protein A or G purified from cell culture supernatant

Reconstitution

Reconstitute at 0.5 mg/mL in sterile PBS. For liquid material, refer to CoA for concentration.

Reconstitution Buffer Available:
Size / Price
Qty
Loading...

Formulation

Lyophilized from a 0.2 μm filtered solution in PBS with Trehalose. *Small pack size (SP) is supplied either lyophilized or as a 0.2 µm filtered solution in PBS.

Shipping

Lyophilized product is shipped at ambient temperature. Liquid small pack size (-SP) is shipped with polar packs. Upon receipt, store immediately at the temperature recommended below.

Stability & Storage

Use a manual defrost freezer and avoid repeated freeze-thaw cycles.
  • 12 months from date of receipt, -20 to -70 °C as supplied.
  • 1 month, 2 to 8 °C under sterile conditions after reconstitution.
  • 6 months, -20 to -70 °C under sterile conditions after reconstitution.

Background: Caspase-3

Caspase-3 (Cysteine-aspartic acid protease 3/Casp3; also Yama, apopain and CPP32) is a 29 kDa heterodimer that belongs to the peptidase C14A family of enzymes. It is widely expressed and considered to be the major executioner caspase in the apoptotic cascade. Human procaspase-3 is a 32 kDa, 277 amino acid (aa) protein and is normally an inactive homodimer. Following cell stress/activation, procaspase-3 undergoes proteolysis to generate an N-terminal 148 aa p17/17 kDa subunit (aa 29-175), plus a 102 aa C-terminal p12/12 kDa subunit. These subunits noncovalently heterodimerize, and associate with another p17/p12 heterodimer to form an active enzyme. There is one potential variant that shows an alternative start site nine aa upstream of the standard start site coupled with a 21 aa substitution for aa 162-277. Over aa 29-175, human and mouse caspase-3 share 87% aa identity.

Alternate Names

Apopain, CASP3, Caspase3, CPP32, LICE-1, YAMA

Entrez Gene IDs

836 (Human); 12367 (Mouse)

Gene Symbol

CASP3

UniProt

Additional Caspase-3 Products

Product Documents for Human Caspase-3 Antibody

Certificate of Analysis

To download a Certificate of Analysis, please enter a lot number in the search box below.

Note: Certificate of Analysis not available for kit components.

Product Specific Notices for Human Caspase-3 Antibody

For research use only

Loading...
Loading...
Loading...
Loading...