Skip to main content

Key Product Details

Species Reactivity

Human

Applications

Immunohistochemistry, Western Blot, Simple Western

Label

Unconjugated

Antibody Source

Monoclonal Mouse IgG2B Clone # 868715

Product Specifications

Immunogen

E. coli-derived recombinant human Caspase-14
Ser2-Gln242
Accession # P31944

Specificity

Detects human Caspase-14 in direct ELISA and Western Blot.

Clonality

Monoclonal

Host

Mouse

Isotype

IgG2B

Scientific Data Images for Human Caspase-14 Antibody

Detection of Human Caspase-14 antibody by Western Blot.

Detection of Human Caspase-14 by Western Blot.

Western blot shows lysates of human skin tissue. PVDF membrane was probed with 0.2 µg/mL of Mouse Anti-Human Caspase-14 Monoclonal Antibody (Catalog # MAB8215) followed by HRP-conjugated Anti-Mouse IgG Secondary Antibody (Catalog # HAF018). Specific bands were detected for full length Caspase-14 at approximately 28-30 kDa and the p10 subunit at approximately 10 kDa (as indicated). This experiment was conducted under reducing conditions and using Immunoblot Buffer Group 1.
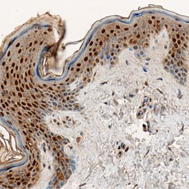
Caspase-14 antibody in Human Epidermis by Immunohistochemistry (IHC-P).

Caspase-14 in Human Epidermis.

Caspase-14 was detected in immersion fixed paraffin-embedded sections of human epidermis using Mouse Anti-Human Caspase-14 Monoclonal Antibody (Catalog # MAB8215) at 15 µg/mL overnight at 4 °C. Tissue was stained using the Anti-Mouse HRP-DAB Cell & Tissue Staining Kit (brown; Catalog # CTS002) and counterstained with hematoxylin (blue). Specific staining was localized to the nuclei of suprabasal keratinocytes. View our protocol for Chromogenic IHC Staining of Paraffin-embedded Tissue Sections.
Detection of Human Caspase-14 antibody by Simple WesternTM.

Detection of Human Caspase-14 by Simple WesternTM.

Simple Western lane view shows lysates of human skin tissue, loaded at 0.5 mg/mL. Specific bands were detected for full length Caspase-14 at approximately 36 kDa and the p10 subunit at approximately 12 kDa (as indicated) using 2 µg/mL of Mouse Anti-Human Caspase-14 Monoclonal Antibody (Catalog # MAB8215). This experiment was conducted under reducing conditions and using the 12-230 kDa separation system.

Applications for Human Caspase-14 Antibody

Application
Recommended Usage

Immunohistochemistry

8-25 µg/mL
Sample: Immersion fixed paraffin-embedded sections of human epidermis

Simple Western

2 µg/mL
Sample: Human skin tissue

Western Blot

0.2 µg/mL
Sample: Human skin tissue

Reviewed Applications

Read 2 reviews rated 5 using MAB8215 in the following applications:

Formulation, Preparation, and Storage

Purification

Protein A or G purified from hybridoma culture supernatant

Reconstitution

Reconstitute at 0.5 mg/mL in sterile PBS. For liquid material, refer to CoA for concentration.

Reconstitution Buffer Available:
Size / Price
Qty
Loading...

Formulation

Lyophilized from a 0.2 μm filtered solution in PBS with Trehalose. *Small pack size (SP) is supplied either lyophilized or as a 0.2 µm filtered solution in PBS.

Shipping

Lyophilized product is shipped at ambient temperature. Liquid small pack size (-SP) is shipped with polar packs. Upon receipt, store immediately at the temperature recommended below.

Stability & Storage

Use a manual defrost freezer and avoid repeated freeze-thaw cycles.
  • 12 months from date of receipt, -20 to -70 °C as supplied.
  • 1 month, 2 to 8 °C under sterile conditions after reconstitution.
  • 6 months, -20 to -70 °C under sterile conditions after reconstitution.

Background: Caspase-14

Caspase-14 belongs to the evolutionarily conserved caspase family of cysteinyl aspartate-specific proteinases that frequently play a central role in apoptosis. Caspases exist as inactive proenzymes that undergo proteolytic processing at conserved aspartic residues to produce large and small subunits that dimerize to form an active enzyme. Caspase-14 is processed to form p19 and p10 subunits, but unlike many caspases, this activation is believed to be non-apoptotic. Expressed within hair follicles and sebaceous glands in the epidermis, Caspase-14 processing is implicated in terminal keratinocyte differentiation and cornification. Caspase-14 expression may also protect against psoriasis and epidermal UVB photodamage. Full-length human Caspase-14 is 242 amino acids (aa) in length, and shares 71% and 72% aa sequence identity with mouse and rat Caspase-14, respectively.

Alternate Names

CASP14, Caspase14

Entrez Gene IDs

23581 (Human); 12365 (Mouse); 299587 (Rat)

Gene Symbol

CASP14

UniProt

Additional Caspase-14 Products

Product Documents for Human Caspase-14 Antibody

Certificate of Analysis

To download a Certificate of Analysis, please enter a lot number in the search box below.

Note: Certificate of Analysis not available for kit components.

Product Specific Notices for Human Caspase-14 Antibody

For research use only

Loading...
Loading...
Loading...
Loading...