Skip to main content

Key Product Details

Species Reactivity

Human

Applications

Immunohistochemistry, Western Blot

Label

Unconjugated

Antibody Source

Monoclonal Mouse IgG2A Clone # 462815

Product Specifications

Immunogen

HEK293 human embryonic kidney cell line transfected with human Calcitonin R
Ala25-Ala474
Accession # NP_001733

Specificity

Detects human Calcitonin R in direct ELISAs.

Clonality

Monoclonal

Host

Mouse

Isotype

IgG2A

Scientific Data Images for Human Calcitonin R Antibody

Detection of Human Calcitonin R antibody by Western Blot.

Detection of Human Calcitonin R by Western Blot.

Western blot shows lysates of HEK293T human embryonic kidney cell line mock transfected or tranfected with Calcitonin R. PVDF membrane was probed with 2 µg/mL of Mouse Anti-Human Calcitonin R Monoclonal Antibody (Catalog # MAB46141) followed by HRP-conjugated Anti-Mouse IgG Secondary Antibody (Catalog # HAF018). Specific bands were detected for Calcitonin R at approximately 90-100 kDa (as indicated). This experiment was conducted under reducing conditions and using Immunoblot Buffer Group 1.
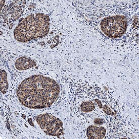
Calcitonin R antibody in Human Pancreatic Cancer Tissue by Immunohistochemistry (IHC-P).

Calcitonin R in Human Pancreatic Cancer Tissue.

Calcitonin R was detected in immersion fixed paraffin-embedded sections of human pancreatic cancer tissue using Mouse Anti-Human Calcitonin R Monoclonal Antibody (Catalog # MAB46141) at 5 µg/mL for 1 hour at room temperature followed by incubation with the Anti-Mouse IgG VisUCyte™ HRP Polymer Antibody (Catalog # VC001). Before incubation with the primary antibody, tissue was subjected to heat-induced epitope retrieval using Antigen Retrieval Reagent-Basic (Catalog # CTS013). Tissue was stained using DAB (brown) and counterstained with hematoxylin (blue). Specific staining was localized to cytoplasm. View our protocol for IHC Staining with VisUCyte HRP Polymer Detection Reagents.

Applications for Human Calcitonin R Antibody

Application
Recommended Usage

Immunohistochemistry

5-25 µg/mL
Sample: Immersion fixed paraffin-embedded sections of human pancreatic cancer tissue

Western Blot

2 µg/mL
Sample: HEK293T human embryonic kidney cell line tranfected with Calcitonin R

Formulation, Preparation, and Storage

Purification

Protein A or G purified from hybridoma culture supernatant

Reconstitution

Reconstitute at 0.5 mg/mL in sterile PBS. For liquid material, refer to CoA for concentration.

Reconstitution Buffer Available:
Size / Price
Qty
Loading...

Formulation

Lyophilized from a 0.2 μm filtered solution in PBS with Trehalose. *Small pack size (SP) is supplied either lyophilized or as a 0.2 µm filtered solution in PBS.

Shipping

Lyophilized product is shipped at ambient temperature. Liquid small pack size (-SP) is shipped with polar packs. Upon receipt, store immediately at the temperature recommended below.

Stability & Storage

Use a manual defrost freezer and avoid repeated freeze-thaw cycles.
  • 12 months from date of receipt, -20 to -70 °C as supplied.
  • 1 month, 2 to 8 °C under sterile conditions after reconstitution.
  • 6 months, -20 to -70 °C under sterile conditions after reconstitution.

Background: Calcitonin R

Calcitonin receptor (CALCR) is a glycosylated 70 kDa seven-transmembrane G protein-coupled receptor that mediates the hypocalcemic effects of the peptide hormone, calcitonin. CALCR activation inhibits osteoclast-mediated bone resorption and enhances renal calcium excretion. CALCR polymorphisms and mutations have been associated with several bone disorders. Alternative splicing results in the deletion of 16 aa in the first cytoplasmic loop or 23 aa in the first extracellular region. Human CALCR shares 70%‑72% aa sequence identity with mouse and rat CACLR.

Long Name

Calcitonin Receptor

Alternate Names

CalcitoninR, CALCR, CT-R

Entrez Gene IDs

799 (Human); 12311 (Mouse); 116506 (Rat)

Gene Symbol

CALCR

UniProt

Additional Calcitonin R Products

Product Documents for Human Calcitonin R Antibody

Certificate of Analysis

To download a Certificate of Analysis, please enter a lot number in the search box below.

Note: Certificate of Analysis not available for kit components.

Product Specific Notices for Human Calcitonin R Antibody

For research use only

Loading...
Loading...
Loading...
Loading...