Skip to main content

Key Product Details

Species Reactivity

Validated:

Human

Cited:

Human

Applications

Validated:

Immunohistochemistry, Western Blot, Simple Western

Cited:

ELISA Development (Capture)

Label

Unconjugated

Antibody Source

Monoclonal Mouse IgG2B Clone # 401025

Product Specifications

Immunogen

E. coli-derived recombinant human Calbindin D
Met1-Asn261
Accession # P05937

Specificity

Detects human Calbindin D in direct ELISAs and Western blots. In direct ELISAs and Western blots, this antibody does not cross-react with recombinant human S100P.

Clonality

Monoclonal

Host

Mouse

Isotype

IgG2B

Scientific Data Images for Human Calbindin D Antibody

Detection of Human Calbindin D antibody by Western Blot.

Detection of Human Calbindin D by Western Blot.

Western blot shows lysates of human kidney tissue and human brain (cerebellum) tissue. PVDF membrane was probed with 0.25 µg/mL of Mouse Anti-Human Calbindin D Monoclonal Antibody (Catalog # MAB3320) followed by HRP-conjugated Anti-Mouse IgG Secondary Antibody (Catalog # HAF018). A specific band was detected for Calbindin D at approximately 28 kDa (as indicated). This experiment was conducted under reducing conditions and using Immunoblot Buffer Group 1.
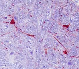
Calbindin D antibody in Rat Brainstem by Immunohistochemistry (IHC-P).

Calbindin D in Rat Brainstem.

Calbindin D was detected in perfusion fixed paraffin-embedded sections of rat brainstem (medulla) using 25 µg/mL Mouse Anti-Human Calbindin D Monoclonal Antibody (Catalog # MAB3320) overnight at 4 °C. Tissue was stained with the Anti-Mouse HRP-AEC Cell & Tissue Staining Kit (red; Catalog # CTS003) and counterstained with hematoxylin (blue). View our protocol for Chromogenic IHC Staining of Paraffin-embedded Tissue Sections.
Detection of Human Calbindin D antibody by Simple WesternTM.

Detection of Human Calbindin D by Simple WesternTM.

Simple Western lane view shows lysates of human brain (cerebellum) tissue, loaded at 0.2 mg/mL. A specific band was detected for Calbindin D at approximately 32 kDa (as indicated) using 10 µg/mL of Mouse Anti-Human Calbindin D Monoclonal Antibody (Catalog # MAB3320) . This experiment was conducted under reducing conditions and using the 12-230 kDa separation system.

Applications for Human Calbindin D Antibody

Application
Recommended Usage

Immunohistochemistry

8-25 µg/mL
Sample: Perfusion fixed frozen sections of rat brain (hypothalamus) and brainstem (medulla), and immersion fixed paraffin-embedded sections of human brain (cerebellum)

Simple Western

10 µg/mL
Sample: Human brain (cerebellum) tissue

Western Blot

0.25 µg/mL
Sample: Human kidney tissue and human brain (cerebellum) tissue

Formulation, Preparation, and Storage

Purification

Protein A or G purified from hybridoma culture supernatant

Reconstitution

Reconstitute at 0.5 mg/mL in sterile PBS. For liquid material, refer to CoA for concentration.

Reconstitution Buffer Available:
Size / Price
Qty
Loading...

Formulation

Lyophilized from a 0.2 μm filtered solution in PBS with Trehalose. *Small pack size (SP) is supplied either lyophilized or as a 0.2 µm filtered solution in PBS.

Shipping

Lyophilized product is shipped at ambient temperature. Liquid small pack size (-SP) is shipped with polar packs. Upon receipt, store immediately at the temperature recommended below.

Stability & Storage

Use a manual defrost freezer and avoid repeated freeze-thaw cycles.
  • 12 months from date of receipt, -20 to -70 °C as supplied.
  • 1 month, 2 to 8 °C under sterile conditions after reconstitution.
  • 6 months, -20 to -70 °C under sterile conditions after reconstitution.

Background: Calbindin D

Calbindin D, also known as Calbindin 1, is a Vitamin D-dependent cytoplasmic protein in the EF-hand calcium binding protein family that includes calmodulin, parvalbumin, troponin C, and S100. Calbindin D is widely expressed and regulates calcium homeostasis. Calbindin D protects neurons from excitotoxic and apoptotic cell death by buffering excess calcium. Human, mouse, and rat Calbindin D share 99% amino acid sequence identity.

Long Name

Vitamin D-dependent Calcium-Binding Protein

Alternate Names

CABP, CABP1, CABP28K, CABP9K, Calbindin 3, Calbindin-D, Calbindin-D9K, S100G

Entrez Gene IDs

795 (Human); 12309 (Mouse); 24249 (Rat)

Gene Symbol

S100G

UniProt

Additional Calbindin D Products

Product Documents for Human Calbindin D Antibody

Certificate of Analysis

To download a Certificate of Analysis, please enter a lot number in the search box below.

Note: Certificate of Analysis not available for kit components.

Product Specific Notices for Human Calbindin D Antibody

For research use only

Loading...
Loading...
Loading...
Loading...