Skip to main content

Key Product Details

Species Reactivity

Human

Applications

Immunohistochemistry, Western Blot

Label

Unconjugated

Antibody Source

Polyclonal Sheep IgG

Product Specifications

Immunogen

Mouse myeloma cell line NS0-derived recombinant human Brorin/VWC2
Ser28-Met325
Accession # Q2TAL6

Specificity

Detects human Brorin in direct ELISAs and Western blots. In direct ELISAs, approximately 50% cross-reactivity with recombinant mouse Brorin is observed.

Clonality

Polyclonal

Host

Sheep

Isotype

IgG

Scientific Data Images for Human Brorin/VWC2 Antibody

Detection of Human Brorin/VWC2 antibody by Western Blot.

Detection of Human Brorin/VWC2 by Western Blot.

Western blot shows lysates of human brain (cerebellum) tissue. PVDF Membrane was probed with 1 µg/mL of Sheep Anti-Human Brorin/VWC2 Antigen Affinity-purified Polyclonal Antibody (Catalog # AF6147) followed by HRP-conjugated Anti-Sheep IgG Secondary Antibody (Catalog # HAF016). A specific band was detected for Brorin/VWC2 at approximately 46kDa (as indicated). This experiment was conducted under reducing conditions and using Immunoblot Buffer Group 8.
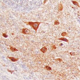
Brorin/VWC2 antibody in Human Brain by Immunohistochemistry (IHC-P).

Brorin/VWC2 in Human Brain.

Brorin/VWC2 was detected in immersion fixed paraffin-embedded sections of human brain (medulla) using Sheep Anti-Human Brorin/VWC2 Antigen Affinity-purified Polyclonal Antibody (Catalog # AF6147) at 10 µg/mL overnight at 4 °C. Before incubation with the primary antibody, tissue was subjected to heat-induced epitope retrieval using Antigen Retrieval Reagent-Basic (Catalog # CTS013). Tissue was stained using the Anti-Sheep HRP-DAB Cell & Tissue Staining Kit (brown; Catalog # CTS019) and counterstained with hematoxylin (blue). Specific staining was localized to neurons. View our protocol for Chromogenic IHC Staining of Paraffin-embedded Tissue Sections.

Applications for Human Brorin/VWC2 Antibody

Application
Recommended Usage

Immunohistochemistry

5-15 µg/mL
Sample: Immersion fixed paraffin-embedded sections of human brain (medulla)

Western Blot

1 µg/mL
Sample: Human brain (cerebellum) tissue

Formulation, Preparation, and Storage

Purification

Antigen Affinity-purified

Reconstitution

Reconstitute at 0.2 mg/mL in sterile PBS. For liquid material, refer to CoA for concentration.

Reconstitution Buffer Available:
Size / Price
Qty
Loading...

Formulation

Lyophilized from a 0.2 μm filtered solution in PBS with Trehalose. *Small pack size (SP) is supplied either lyophilized or as a 0.2 µm filtered solution in PBS.

Shipping

Lyophilized product is shipped at ambient temperature. Liquid small pack size (-SP) is shipped with polar packs. Upon receipt, store immediately at the temperature recommended below.

Stability & Storage

Use a manual defrost freezer and avoid repeated freeze-thaw cycles.
  • 12 months from date of receipt, -20 to -70 °C as supplied.
  • 1 month, 2 to 8 °C under sterile conditions after reconstitution.
  • 6 months, -20 to -70 °C under sterile conditions after reconstitution.

Background: Brorin/VWC2

Brorin (brain-specific chordin-like protein), also called VWC2, is an ~46 kDa glycoprotein that is a member of the Chordin family of secreted BMP regulators (1‑3). The human Brorin cDNA encodes 325 amino acids (aa) including a 27 aa signal sequence and a 298 aa secreted mature protein with two VWFC domains. These domains contain a pattern of 10 cysteine residues that is conserved in other family members, with the remaining aa sequence sharing little identity (1). Human Brorin shares 90%, 91%, and 95% aa sequence identity with mouse, rat, and equine Brorin, respectively. It also shares aa identity with VWC2L (Brorin-like) of 37% overall and 62% within the VWFC domains (4). Brorin is predominantly expressed in embryonic and adult neural tissues in the mouse (1). Expression of Brorin mRNA is concentrated in neurons within the diencephalon and medulla oblongata but is not detected in the developing cerebral cortex (1). Brorin binds and antagonizes BMPs, interacting via the VWFC domains (1‑3). It promotes neurogenesis in mouse neural precursors (1). Knockdown of Brorin in zebrafish embryos results in morphological abnormalities in the brain and eye (1, 4).

References

  1. Koike, N. et al. (2007) J. Biol. Chem. 282:15843.
  2. Zhang, J-L. et al. (2007) J. Biol. Chem. 282:20002.
  3. Fujisawa, T. et al. (2009) Biochem. Biophys. Res. Commun. 385:215.
  4. Miwa, H. et al. (2009) FEBS Lett. 583:3643.

Long Name

von Willebrand Factor A2 Domain

Alternate Names

Brain-specific chordin-like protein, VWC2

Entrez Gene IDs

375567 (Human); 319922 (Mouse); 501231 (Rat)

Gene Symbol

VWC2

UniProt

Additional Brorin/VWC2 Products

Product Documents for Human Brorin/VWC2 Antibody

Certificate of Analysis

To download a Certificate of Analysis, please enter a lot number in the search box below.

Note: Certificate of Analysis not available for kit components.

Product Specific Notices for Human Brorin/VWC2 Antibody

For research use only

Loading...
Loading...
Loading...
Loading...