Skip to main content

Key Product Details

Validated by

Knockout/Knockdown

Species Reactivity

Validated:

Human

Cited:

Human

Applications

Validated:

Knockout Validated, Immunohistochemistry, Western Blot

Cited:

Western Blot

Label

Unconjugated

Antibody Source

Recombinant Monoclonal Rabbit IgG Clone # 2135A

Product Specifications

Immunogen

E. coli-derived recombinant human Brg1
Gln673-Asn774
Accession # P51532

Specificity

Detects human Brg1 in direct ELISAs and Western blots.

Clonality

Monoclonal

Host

Rabbit

Isotype

IgG

Scientific Data Images for Human Brg1 Antibody

Detection of Human Brg1 antibody by Western Blot.

Detection of Human Brg1 by Western Blot.

Western blot shows lysates of HeLa human cervical epithelial carcinoma cell line and K562 human chronic myelogenous leukemia cell line. Gels were loaded with 30 µg of cytoplasmic (Cyto) and 15 µg of nuclear extracts (Nuc). PVDF membrane was probed with 0.5 µg/mL of Rabbit Anti-Human Brg1 Monoclonal Antibody (Catalog # MAB5738) followed by HRP-conjugated Anti-Rabbit IgG Secondary Antibody (Catalog # HAF008). A specific band was detected for Brg1 at approximately 220 kDa (as indicated). This experiment was conducted under reducing conditions and using Immunoblot Buffer Group 1.
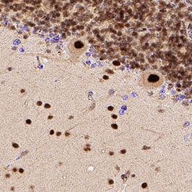
Brg1 antibody in Human Brain by Immunohistochemistry (IHC-P).

Brg1 in Human Brain.

Brg1 was detected in immersion fixed paraffin-embedded sections of human brain (cerebellum) using Rabbit Anti-Human Brg1 Monoclonal Antibody (Catalog # MAB5738) at 1 µg/mL for 1 hour at room temperature followed by incubation with the Anti-Rabbit IgG VisUCyte™ HRP Polymer Antibody (Catalog # VC003). Tissue was stained using DAB (brown) and counterstained with hematoxylin (blue). Specific staining was localized to neuronal nuclei. View our protocol for IHC Staining with VisUCyte HRP Polymer Detection Reagents.
Western Blot Shows Human Brg1 Antibody Specificity by Using Knockout Cell Line.

Western Blot Shows Human Brg1 Specificity by Using Knockout Cell Line.

Western blot shows lysates of HEK293T human embryonic kidney parental cell line and Brg1 knockout HEK293T cell line (KO). PVDF membrane was probed with 0.5 µg/mL of Rabbit Anti-Human Brg1 Monoclonal Antibody (Catalog # MAB5738) followed by HRP-conjugated Anti-Rabbit IgG Secondary Antibody (Catalog # HAF008). A specific band was detected for Brg1 at approximately 250 kDa (as indicated) in the parental HEK293T cell line, but is not detectable in knockout HEK293T cell line. GAPDH (Catalog # MAB5718) is shown as a loading control. This experiment was conducted under reducing conditions and using Immunoblot Buffer Group 1.

Applications for Human Brg1 Antibody

Application
Recommended Usage

Immunohistochemistry

1-25 µg/mL
Sample: Immersion fixed paraffin-embedded sections of human brain (cerebellum)

Knockout Validated

Brg1 is specifically detected in HEK293T human embryonic kidney parental cell line but is not detectable in Brg1 knockout HEK293T cell line.

Western Blot

0.5 µg/mL
Sample: HeLa human cervical epithelial carcinoma cell line and K562 human chronic myelogenous leukemia cell line

Reviewed Applications

Read 1 review rated 5 using MAB5738 in the following applications:

Formulation, Preparation, and Storage

Purification

Protein A or G purified from cell culture supernatant

Reconstitution

Reconstitute at 0.5 mg/mL in sterile PBS. For liquid material, refer to CoA for concentration.

Reconstitution Buffer Available:
Size / Price
Qty
Loading...

Formulation

Lyophilized from a 0.2 μm filtered solution in PBS with Trehalose. *Small pack size (SP) is supplied either lyophilized or as a 0.2 µm filtered solution in PBS.

Shipping

Lyophilized product is shipped at ambient temperature. Liquid small pack size (-SP) is shipped with polar packs. Upon receipt, store immediately at the temperature recommended below.

Stability & Storage

Use a manual defrost freezer and avoid repeated freeze-thaw cycles.
  • 12 months from date of receipt, -20 to -70 °C as supplied.
  • 1 month, 2 to 8 °C under sterile conditions after reconstitution.
  • 6 months, -20 to -70 °C under sterile conditions after reconstitution.

Background: Brg1

Brg1 (Brm/Swi2-related gene 1), also known as SMARCA4 (Swi/SNF-related matrix-associated actin-dependent regulator of chromatin, subfamily A, member 4), SNF2L4 and SNF2 beta, is a 205 kDa member of the SNF2 helicase family of molecules. It is a ubiquitously expressed, nuclear-localized chromatin remodeling ATPase that, depending upon its associated complex, may both facilitate and inhibit gene transcription. Human SMARCA4 is 1647 amino acids (aa) in length, and contains an HSA domain (aa 460‑532), one BRK region (aa 610‑654), six potential phosphoserine sites between aa 610‑662, a DEXDc domain that unwinds RNA and DNA (aa 774‑913), one Bromo domain (aa 1477‑1547) and eight potential phosphoserine sites between aa 1570‑1644.

Long Name

BRM/SWI2-related gene 1

Alternate Names

SMARCA4, SNF2, SNF2-beta, SNF2L4, SNF2LB, SWI2

Entrez Gene IDs

6597 (Human); 20586 (Mouse); 171379 (Rat)

Gene Symbol

SMARCA4

UniProt

Additional Brg1 Products

Product Documents for Human Brg1 Antibody

Certificate of Analysis

To download a Certificate of Analysis, please enter a lot number in the search box below.

Note: Certificate of Analysis not available for kit components.

Product Specific Notices for Human Brg1 Antibody

For research use only

Loading...
Loading...
Loading...
Loading...