Skip to main content

Key Product Details

Species Reactivity

Validated:

Human

Cited:

Human

Applications

Validated:

Immunohistochemistry, Western Blot

Cited:

Immunohistochemistry, Immunohistochemistry-Paraffin, Western Blot, Flow Cytometry, Immunocytochemistry

Label

Unconjugated

Antibody Source

Monoclonal Mouse IgG1 Clone # 234403

Product Specifications

Immunogen

E. coli-derived recombinant human BRCA2
Met1-Thr200
Accession # P51587

Specificity

Detects endogenous human BRCA2.

Clonality

Monoclonal

Host

Mouse

Isotype

IgG1

Scientific Data Images for Human BRCA2 Antibody

Detection of Human BRCA2 antibody by Western Blot.

Detection of Human BRCA2 by Western Blot.

Western blot shows lysates of Capan-1 human pancreatic adenocarcinoma cell line, HeLa human cervical epithelial carcinoma cell line, and U2OS human osteosarcoma cell line. PVDF membrane was probed with 0.2 µg/mL of Human BRCA2 Monoclonal Antibody (Catalog # MAB2476) followed by HRP-conjugated Anti-Mouse IgG Secondary Antibody (Catalog # HAF007). A specific band was detected for BRCA2 at approximately 380 kDa (as indicated). This experiment was conducted under reducing conditions and using Immunoblot Buffer Group 1.

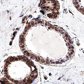
BRCA2 in Human Breast Cancer Tissue.

BRCA2 was detected in immersion fixed paraffin-embedded sections of human breast cancer tissue using Mouse Anti-Human BRCA2 Monoclonal Antibody (Catalog # MAB2476) at 5 µg/mL for 1 hour at room temperature followed by incubation with the Anti-Mouse IgG VisUCyte™ HRP Polymer Antibody (VC001). Before incubation with the primary antibody, tissue was subjected to heat-induced epitope retrieval using Antigen Retrieval Reagent-Basic (CTS013). Tissue was stained using DAB (brown) and counterstained with hematoxylin (blue). Specific staining was localized to cytoplasm and nuclei in epithelial cells. Staining was performed using our protocol for IHC Staining with VisUCyte HRP Polymer Detection Reagents.
Detection of Human Human BRCA2 Antibody by Western Blot

Detection of Human Human BRCA2 Antibody by Western Blot

Radioresistant IPF fibroblasts upregulate FoxM1, RAD51, and BRCA2 following exposure to radiation.a Upper, representative images showing FoxM1, RAD51, and BRCA2 protein expression in randomly selected control (n = 8) and IPF (n = 8) fibroblasts before and after 9 Gy radiation. beta-actin was used as a control. Lower, statistical analysis of FoxM1, RAD51, and BRCA2 protein expression in control and IPF fibroblasts (n = 8, each) before and after 9 Gy radiation. b Representative images and densitometry analysis of nuclear FoxM1 in control and IPF fibroblasts (n = 8, each) at 6 h after 9 Gy radiation. Lamin A/C and GAPDH were used as an internal control for nuclear and cytosolic fraction, respectively. c Changes in RAD51 mRNA expression in control and IPF fibroblasts (n = 8, each) as a function of time after 9 Gy radiation. d Changes in BRCA2 mRNA expression in control and IPF fibroblasts (n = 8) as a function of time after 9 Gy. Values are presented in mean ± SEM of fold changes compared to unirradiated control or IPF fibroblasts set at 1 fold. *: statistical significance of each protein or mRNA expression compared to unirradiated control or IPF fibroblasts at p < 0.05. e Left, control and IPF cells were irradiated with 9 Gy, and RAD51 positive cells were measured after 6 h as described in Materials and Methods. Right, statistical analysis was conducted using 3 images per each cell of 3 control or IPF fibroblasts. Scale bar indicates 50 µm. Shown is the mean fluorescence intensity (MFI) per nucleus. Values are presented in mean ± SEM of percentages compared to irradiated control fibroblasts set at 100%. Radioresistant IPF cells (high viability after 9 Gy) and radiosensitive control fibroblasts (low viability after 9 Gy) were selected for the experiment Image collected and cropped by CiteAb from the following publication (https://pubmed.ncbi.nlm.nih.gov/29789556), licensed under a CC-BY license. Not internally tested by R&D Systems.

Applications for Human BRCA2 Antibody

Application
Recommended Usage

Immunohistochemistry

5-25 µg/mL
Sample: Immersion fixed paraffin-embedded sections of human breast cancer tissue

Western Blot

0.2 µg/mL
Sample: Capan-1 human pancreatic adenocarcinoma cell line, HeLa human cervical epithelial carcinoma cell line, and U2OS human osteosarcoma cell line

Formulation, Preparation, and Storage

Purification

Protein A or G purified from hybridoma culture supernatant

Reconstitution

Reconstitute at 0.5 mg/mL in sterile PBS. For liquid material, refer to CoA for concentration.

Reconstitution Buffer Available:
Size / Price
Qty
Loading...

Formulation

Lyophilized from a 0.2 μm filtered solution in PBS with Trehalose. *Small pack size (SP) is supplied either lyophilized or as a 0.2 µm filtered solution in PBS.

Shipping

Lyophilized product is shipped at ambient temperature. Liquid small pack size (-SP) is shipped with polar packs. Upon receipt, store immediately at the temperature recommended below.

Stability & Storage

Use a manual defrost freezer and avoid repeated freeze-thaw cycles.
  • 12 months from date of receipt, -20 to -70 °C as supplied.
  • 1 month, 2 to 8 °C under sterile conditions after reconstitution.
  • 6 months, -20 to -70 °C under sterile conditions after reconstitution.

Background: BRCA2

BRCA2 is a nuclear protein that acts as a tumor suppressor. Germline mutation of BRCA2 accounts for many cases of familial breast and ovarian cancer. At the cellular level, BRCA2 is involved in homologous recombination (HR), a form of double-strand break repair. BRCA2 interacts with the Rad51 recombinase, another protein critical for HR, to preserve chromosomal integrity.

Long Name

Breast Cancer 2

Alternate Names

BRCA1/BRCA2-containing complex, subunit 2, BRCC2, breast and ovarian cancer susceptibility gene, early onset, breast cancer 2 tumor suppressor, breast cancer 2, early onset, breast cancer susceptibility protein BRCA2, breast cancer type 2 susceptibility protein, BROVCA2, FACD, FAD, FAD1, FANCB, FANCD, FANCD1Fanconi anemia, complementation group D1, Fanconi anemia group D1 protein, GLM3, PNCA2

Entrez Gene IDs

675 (Human)

Gene Symbol

BRCA2

UniProt

Additional BRCA2 Products

Product Documents for Human BRCA2 Antibody

Certificate of Analysis

To download a Certificate of Analysis, please enter a lot number in the search box below.

Note: Certificate of Analysis not available for kit components.

Product Specific Notices for Human BRCA2 Antibody

For research use only

Loading...
Loading...
Loading...
Loading...
Loading...