Skip to main content

Key Product Details

Species Reactivity

Validated:

Human

Cited:

Human, Mouse

Applications

Validated:

Immunohistochemistry, Western Blot

Cited:

Western Blot, Flow Cytometry, Immunoprecipitation

Label

Unconjugated

Antibody Source

Monoclonal Mouse IgG2B Clone # 440621

Product Specifications

Immunogen

E. coli-derived recombinant human BRCA1 C-Terminus
Arg1634-Tyr1863
Accession # P38398

Specificity

Detects human BRCA1 C-Terminus.

Clonality

Monoclonal

Host

Mouse

Isotype

IgG2B

Scientific Data Images for Human BRCA1 C-Terminus Antibody

BRCA1 antibody in Human Breast Cancer Tissue by Immunohistochemistry (IHC-P).

BRCA1 in Human Breast Cancer Tissue.

BRCA1 was detected in immersion fixed paraffin-embedded sections of human breast cancer tissue using Human BRCA1 Monoclonal Antibody (Catalog # MAB22101) at 5 µg/mL overnight at 4 °C. Before incubation with the primary antibody tissue was subjected to heat-induced epitope retrieval using Antigen Retrieval Reagent-Basic (CTS013). Tissue was stained using the Anti-Mouse HRP-DAB Cell & Tissue Staining Kit (brown; CTS002) and counterstained with hematoxylin (blue). View our protocol for Chromogenic IHC Staining of Paraffin-embedded Tissue Sections.
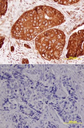
BRCA1 antibody in Human Breast by Immunohistochemistry (IHC-P).

BRCA1 in Human Breast.

BRCA1 was detected in immersion fixed paraffin-embedded sections of human breast array using Human BRCA1 Monoclonal Antibody (Catalog # MAB22101) at 15 µg/mL overnight at 4 °C. Tissue was stained using the Anti-Mouse HRP-DAB Cell & Tissue Staining Kit (brown; CTS002) and counterstained with hematoxylin (blue). Lower panel shows a lack of labeling if primary antibodies are omitted and tissue is stained only with secondary antibody followed by incubation with detection reagents. View our protocol for Chromogenic IHC Staining of Paraffin-embedded Tissue Sections.
Detection of Human/Mouse BRCA1 antibody by Western Blot.

Detection of Human BRCA1 by Western Blot.

Western blot shows lysates of U2OS human osteosarcoma cell line and HeLa human cervical epithelial carcinoma cell line. PVDF membrane was probed with 1 µg/mL of Human BRCA1 Monoclonal Antibody (Catalog # MAB22101) followed by HRP-conjugated Anti-Mouse IgG Secondary Antibody (Catalog # HAF007). A specific band was detected for BRCA1 at approximately 240 kDa (as indicated). This experiment was conducted under reducing conditions and using Immunoblot Buffer Group 1.

Applications for Human BRCA1 C-Terminus Antibody

Application
Recommended Usage

Immunohistochemistry

8-25 µg/mL
Sample: Immersion fixed paraffin-embedded sections of human breast and human breast cancer tissue

Western Blot

1 µg/mL
Sample: U2OS human osteosarcoma cell line and HeLa human cervical epithelial carcinoma cell line

Reviewed Applications

Read 2 reviews rated 5 using MAB22101 in the following applications:

Formulation, Preparation, and Storage

Purification

Protein A or G purified from hybridoma culture supernatant

Reconstitution

Reconstitute at 0.5 mg/mL in sterile PBS. For liquid material, refer to CoA for concentration.

Reconstitution Buffer Available:
Size / Price
Qty
Loading...

Formulation

Lyophilized from a 0.2 μm filtered solution in PBS with Trehalose. See Certificate of Analysis for details.
*Small pack size (-SP) is supplied either lyophilized or as a 0.2 µm filtered solution in PBS.

Shipping

Lyophilized product is shipped at ambient temperature. Liquid small pack size (-SP) is shipped with polar packs. Upon receipt, store immediately at the temperature recommended below.

Stability & Storage

Use a manual defrost freezer and avoid repeated freeze-thaw cycles.
  • 12 months from date of receipt, -20 to -70 °C as supplied.
  • 1 month, 2 to 8 °C under sterile conditions after reconstitution.
  • 6 months, -20 to -70 °C under sterile conditions after reconstitution.

Background: BRCA1

The BRCA1 (BReast CAncer gene 1) tumor suppressor protein has many reported functions. In addition to mediating signal transduction in DNA damage and repair responses, BRCA1 forms a heterodimer with BARD1 and regulates transcriptional activity, assisting in the preservation of chromosomal stability. BRCA1 is one of the first proteins recruited to sites of DNA double-strand breaks and serves as part of a scaffold for assembling other DNA damage response or repair factors, including MSH2, MLH1, ATM and PMS2.

Long Name

Breast Cancer 1

Alternate Names

BRCAI, breast and ovarian cancer susceptibility protein 1, breast and ovarian cancer sususceptibility protein, breast cancer 1, early onset, breast cancer type 1 susceptibility protein, EC 6.3.2, EC 6.3.2.-, IRIS, PNCA4, PSCP, subunit 1

Entrez Gene IDs

672 (Human); 12189 (Mouse); 497672 (Rat)

Gene Symbol

BRCA1

UniProt

Additional BRCA1 Products

Product Documents for Human BRCA1 C-Terminus Antibody

Certificate of Analysis

To download a Certificate of Analysis, please enter a lot number in the search box below.

Note: Certificate of Analysis not available for kit components.

Product Specific Notices for Human BRCA1 C-Terminus Antibody

For research use only

Loading...
Loading...
Loading...
Loading...