Skip to main content

Key Product Details

Species Reactivity

Validated:

Human

Cited:

Human

Applications

Validated:

Immunohistochemistry, ELISA Capture (Matched Antibody Pair), Neutralization

Cited:

Immunohistochemistry, Western Blot, Neutralization, ELISA Detection

Label

Unconjugated

Antibody Source

Monoclonal Mouse IgG1 Clone # 164313

Product Specifications

Immunogen

Chinese hamster ovary cell line CHO-derived recombinant human BMP-7
Arg292-His431
Accession # P18075

Specificity

Detects human BMP-7 in ELISAs. In ELISAs, this antibody shows approximately 25-50% cross-reactivity with recombinant human (rh) BMP‑6 and no cross-reactivity with rhBMP-2, -3, -4, -5, or -8.

Clonality

Monoclonal

Host

Mouse

Isotype

IgG1

Endotoxin Level

<0.10 EU per 1 μg of the antibody by the LAL method.

Scientific Data Images for Human BMP-7 Antibody

Alkaline Phosphatase Production Induced by BMP-7 and Neutralization by Human BMP-7 Antibody.

Alkaline Phosphatase Production Induced by BMP-7 and Neutralization by Human BMP-7 Antibody.

Recombinant Human BMP-7 (Catalog # 354-BP) induces alkaline phosphatase production in the the ATDC5 mouse chondrogenic cell line in a dose-dependent manner (orange line). Alkaline phosphatase production elicited by Recombinant Human BMP-7 (1 µg/mL) is neutralized (green line) by increasing concentrations of Human BMP-7 Monoclonal Antibody (Catalog # MAB3542). The ND50 is typically 4-12 µg/mL in the presence of L-ascorbic acid (50 µg/mL).
BMP-7 antibody in Human Prostate Cancer Tissue by Immunohistochemistry (IHC-P).

BMP-7 in Human Prostate Cancer Tissue.

BMP-7 was detected in immersion fixed paraffin-embedded sections of human prostate cancer tissue using 25 µg/mL Human BMP-7 Monoclonal Antibody (Catalog # MAB3542) overnight at 4 °C. Tissue was stained with the Anti-Mouse HRP-DAB Cell & Tissue Staining Kit (brown; Catalog # CTS002) and counterstained with hematoxylin (blue). View our protocol for Chromogenic IHC Staining of Paraffin-embedded Tissue Sections.
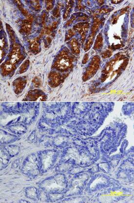
BMP-7 antibody in Human Prostate by Immunohistochemistry (IHC-P).

BMP‑7 in Human Prostate.

BMP-7 was detected in immersion fixed paraffin-embedded sections of human prostate using Human BMP-7 Monoclonal Antibody (Catalog # MAB3542) at 25 µg/mL overnight at 4 °C. Tissue was stained using the Anti-Mouse HRP-DAB Cell & Tissue Staining Kit (brown; Catalog # CTS002) and counterstained with hematoxylin (blue). Lower panel shows a lack of labeling if primary antibodies are omitted and tissue is stained only with secondary antibody followed by incubation with detection reagents. View our protocol for Chromogenic IHC Staining of Paraffin-embedded Tissue Sections.

Applications for Human BMP-7 Antibody

Application
Recommended Usage

Immunohistochemistry

8-25 µg/mL
Sample: Immersion fixed paraffin-embedded sections of human prostate cancer tissue and immersion fixed paraffin-embedded sections of human prostate

Neutralization

Measured by its ability to neutralize BMP-7-induced alkaline phosphatase production in the ATDC5 mouse chondrogenic cell line. Erlacher, L. et al. (1998) J. Bone Miner. Res. 13:383. The Neutralization Dose (ND50) is typically 4-12 µg/mL in the presence of 1 µg/mL Recombinant Human BMP-7 and 50 µg/mL L-ascorbic acid.

Human BMP-7 Sandwich Immunoassay

ELISA Capture (Matched Antibody Pair)
Recommended Concentration: 2-8 µg/mL
Use in combination with these reagents:
  • Detection Reagent: Human BMP-7 Biotinylated Antibody (Catalog # BAM354)
  • Standard: Recombinant Human BMP-7 Protein (Catalog # 354-BP)
Please Note: Optimal dilutions of this antibody should be experimentally determined.

Formulation, Preparation, and Storage

Purification

Protein A or G purified from hybridoma culture supernatant

Reconstitution

Reconstitute at 0.5 mg/mL in sterile PBS. For liquid material, refer to CoA for concentration.

Reconstitution Buffer Available:
Size / Price
Qty
Loading...

Formulation

Lyophilized from a 0.2 μm filtered solution in PBS with Trehalose. *Small pack size (SP) is supplied either lyophilized or as a 0.2 µm filtered solution in PBS.

Shipping

Lyophilized product is shipped at ambient temperature. Liquid small pack size (-SP) is shipped with polar packs. Upon receipt, store immediately at the temperature recommended below.

Stability & Storage

Use a manual defrost freezer and avoid repeated freeze-thaw cycles.
  • 12 months from date of receipt, -20 to -70 °C as supplied.
  • 1 month, 2 to 8 °C under sterile conditions after reconstitution.
  • 6 months, -20 to -70 °C under sterile conditions after reconstitution.

Background: BMP-7

BMP-7, or osteogenic protein 1 (OP-1), is one of at least 15 structurally and functionally related BMPs, which are members of the transforming growth factor beta (TGF-beta) superfamily. BMPs regulate cartilage and bone formation, embryogenesis and morphogenesis of various tissues and organs, and growth, differentiation, chemotaxis and apoptosis of various cell types. Biologically active BMP-7 is a disulfide-linked homodimer. Cellular responses to BMP-7 have been shown to be mediated by the formation of hetero-oligomeric complexes of type I and type II serine/threonine kinase receptors.

Long Name

Bone Morphogenetic Protein 7

Alternate Names

BMP7, OP-1

Entrez Gene IDs

655 (Human); 12162 (Mouse); 85272 (Rat)

Gene Symbol

BMP7

UniProt

Additional BMP-7 Products

Product Documents for Human BMP-7 Antibody

Certificate of Analysis

To download a Certificate of Analysis, please enter a lot number in the search box below.

Note: Certificate of Analysis not available for kit components.

Product Specific Notices for Human BMP-7 Antibody

For research use only

Loading...
Loading...
Loading...
Loading...