Skip to main content

Human BMP-7 Antibody

R&D Systems, part of Bio-Techne | Catalog # MAB3541

R&D Systems, part of Bio-Techne

Key Product Details

Validated by

Biological Validation

Species Reactivity

Validated:

Human

Cited:

Human, Mouse, Hamster

Applications

Validated:

Immunohistochemistry, Western Blot, Neutralization

Cited:

Immunohistochemistry, Immunohistochemistry-Paraffin, Western Blot, ELISA, Neutralization, Immunocytochemistry, Immunoprecipitation, ELISA Development

Label

Unconjugated

Antibody Source

Monoclonal Mouse IgG2B Clone # 164311

Product Specifications

Immunogen

Chinese hamster ovary cell line CHO-derived recombinant human BMP-7
Ser293-His431
Accession # P18075

Specificity

Detects human BMP-7 in direct ELISAs and Western blots. In direct ELISAs, approximately 25% cross-reactivity with recombinant human (rh) BMP-6 is observed and no cross-reactivity with rhBMP-2, -3, -4, -5, or -8 is observed.

Clonality

Monoclonal

Host

Mouse

Isotype

IgG2B

Endotoxin Level

<0.10 EU per 1 μg of the antibody by the LAL method.

Scientific Data Images for Human BMP-7 Antibody

Alkaline Phosphatase Production Induced by BMP‑7 and Neutralization by Human BMP‑7 Antibody.

Alkaline Phosphatase Production Induced by BMP‑7 and Neutralization by Human BMP‑7 Antibody.

Recombinant Human BMP-7 (Catalog # 354-BP) induces alkaline phosphatase production in the the ATDC5 mouse chondrogenic cell line in a dose-dependent manner (orange line). Alkaline phosphatase production elicited by Recombinant Human BMP-7 (1 µg/mL) is neutralized (green line) by increasing concentrations of Mouse Anti-Human BMP-7 Monoclonal Antibody (Catalog # MAB3541). The ND50 is typically 1.5-6.0 µg/mL in the presence of L-ascorbic acid (50 µg/mL).
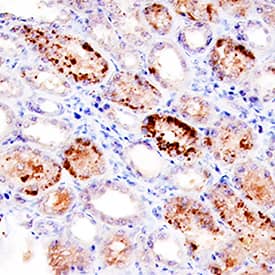
BMP-7 antibody in Human Kidney by Immunohistochemistry (IHC-P).

BMP‑7 in Human Kidney.

BMP-7 was detected in immersion fixed paraffin-embedded sections of human kidney using Mouse Anti-Human BMP-7 Monoclonal Antibody (Catalog # MAB3541) at 15 µg/mL overnight at 4 °C. Tissue was stained using the Anti-Mouse HRP-DAB Cell & Tissue Staining Kit (brown; Catalog # CTS002) and counterstained with hematoxylin (blue). Specific staining was localized to cytoplasm in convoluted tubules. View our protocol for Chromogenic IHC Staining of Paraffin-embedded Tissue Sections.
Detection of Human BMP-7 by Immunohistochemistry

Detection of Human BMP-7 by Immunohistochemistry

BMP7v exerts antiangiogenic effects and sensitizes chemoresistant CSCs to standard therapy. a Azan-Mallory staining on paraffin-embedded sections of xenografts derived from the injection of CRC sphere cells and treated for 4 weeks (6–9 weeks) with PBS (vehicle) or BMP7v. Data are representative of three independent experiments using different CRC sphere cell lines (CSC#2, 7, and 18). b Percentage of necrosis evaluated on paraffin-embedded sections of xenografts treated as in a. Data are shown as mean ± SD of three independent experiments. c Immunohistochemical analysis of CD31 and VEGFR2 (red staining) on paraffin-embedded sections of xenografts generated by the injection of CRC sphere cell lines and treated with PBS (vehicle), BMP4, or BMP7v. Green arrowheads indicate microvessels expressing CD31 or VEGFR2. Images are representative of three independent experiments using cells as in a. Nuclei were revealed by hematoxylin staining (blue). The scale bar represents 20 µm. d Number of microvessels positive for CD31 (left panel) and VEGFR2 (right panel) expression, evaluated on paraffin-embedded sections of xenografts treated as in c. Data are shown as mean ± SD of cells. MVD = microvessel density. e Fold change of viable cells in 35 CR-CSC lines treated with oxaliplatin/5-FU for 24 h. Dotted line indicates the threshold between chemoresistant (red) and sensitive CR-CSCs (green). f Cell viability percentage in chemoresistant CR-CSCs (R1-R4) pretreated with BMP7 for 3 days and with oxaliplatin/5-FU (oxa/5-FU) for additional 24 h as indicated. Data are shown as mean ± SD of three different experiments performed in the indicated R-CSCs. g Colony forming efficiency of CR-CSCs treated as in f and evaluated at 21 days. Representative soft-agar analyses are reported in the lower part of the graph. Bars show the mean ± SD of seven different CRC sphere cell lines (CSC#1–3, 5, 7, 10, and 18). h Tumor size of subcutaneous growth of the indicated CR-CSCs. Mice were treated for 4 weeks (6–9 weeks) with vehicle, oxaliplatin/5-FU (oxa/5-FU) and BMP7v alone or in combination. Error bars show the mean ± SD of tumor size measured in six mice/group. Black arrowheads indicate days of treatment. i Immunohistochemical analysis of CD44v6, beta-catenin, Ki67, and CK20 (red color) in paraffin-embedded sections of CSC#7 xenografts treated as in h. Nuclei were counterstained by aqueous hematoxylin (blue color). The scale bar represents 20 µm (left panels). Percentage of CD44v6, beta-catenin, Ki67, and CK20 positive cells in paraffin-embedded sections of tumor xenografts treated with vehicle (V), BMP7v (B), oxaliplatin/5-FU (O/F), alone or in combination (B/O/F) for 72 h. Error bars are mean ± SD of positive cell counts in three serial embedded-paraffin sections of six tumor xenografts per group derived from the injection of three different CRC sphere cells (CSC#1, 2, and 7) (right panels) Image collected and cropped by CiteAb from the following publication (https://pubmed.ncbi.nlm.nih.gov/31591478), licensed under a CC-BY license. Not internally tested by R&D Systems.

Applications for Human BMP-7 Antibody

Application
Recommended Usage

Immunohistochemistry

8-25 µg/mL
Sample: Immersion fixed paraffin-embedded sections of human kidney tissue

Western Blot

1 µg/mL
Sample: Recombinant Human BMP‑7 (Catalog # 354-BP) under non-reducing conditions only

Neutralization

Measured by its ability to neutralize BMP-7-induced alkaline phosphatase production in the ATDC5 mouse chondrogenic cell line. Erlacher, L. et al. (1998) J. Bone Miner. Res. 13:383. The Neutralization Dose (ND50) is typically 1.5-6.0 µg/mL in the presence of 1 µg/mL Recombinant Human BMP-7 and 50 µg/mL L-ascorbic acid.

Formulation, Preparation, and Storage

Purification

Protein A or G purified from hybridoma culture supernatant

Reconstitution

For liquid material, refer to CoA for concentration.

Formulation

Supplied as a 0.2 μm filtered solution in PBS with Trehalose. *Small pack size (SP) is supplied either lyophilized or as a 0.2 µm filtered solution in PBS.

Shipping

Lyophilized product is shipped at ambient temperature. Liquid small pack size (-SP) is shipped with polar packs. Upon receipt, store immediately at the temperature recommended below.

Stability & Storage

Use a manual defrost freezer and avoid repeated freeze-thaw cycles.
  • 12 months from date of receipt, -20 to -70 °C, as supplied.
  • 1 month, 2 to 8 °C under sterile conditions after opening.
  • 6 months, -20 to -70 °C under sterile conditions after opening.

Background: BMP-7

Bone morphogenetic protein 7 (BMP-7), also known as osteogenic protein 1 (OP-1), is a widely expressed TGF-beta superfamily member with important functions during embryogenesis, in the adult, and in disease (1, 2). Human BMP-7 is synthesized with a 29 amino acid (aa) signal sequence, a 263 aa propeptide, and a 139 aa growth factor domain (3, 4). The growth factor domain of human BMP-7 shares 98% aa sequence identity with mouse and rat BMP-7. The BMP-7 propeptide is cleaved intracellularly but often remains associated with the mature C-terminus. Based on in vivo and in vitro studies, BMP-7 has the potential to be secreted as a disulfide‑linked mature homodimer, or particularly as a heteromeric complex that consists of two propeptides noncovalently associated with a mature disulfide‑linked homodimer (5, 6). The presence of the propeptides in BMP-7 appears to stabilize the molecule and provide a docking mechanism for extracellular storage on molecules such as fibrillin-1 and -2 (5, 6). The propeptides themselves do not impart latency to the complex. BMP-7 binding to type II receptors rapidly displaces the prodomain:mature molecule interaction and has no effect on activity. But it is suggested that immobilized BMP-7 (via prodomain:fibrillin) is inactive, allowing for possible long-term storage of the molecule (6). BMP-7 interacts with the type 2 receptors Activin RIIA, Activin RIIB, and BMPR-II and the type 1 receptors Activin RIA, BMPR-IA, and BMPR-IB (2, 6). BMP-7 may also be processed into a disulfide‑linked heterodimer with either BMP-2 or BMP-4. Such complexes may show increased potency and range of activity compared to BMP-7 homodimers (7‑9). BMP-7 plays a role in a variety of organ systems. It promotes new bone formation and nephron development (10, 11), inhibits the branching of prostate epithelium (12), and antagonizes epithelial-mesenchymal transition (EMT) (13‑15). In pathological conditions, BMP-7 inhibits tumor growth and metastasis (14), ameliorates fibrotic damage in nephritis (13), and promotes neuroregeneration following brain ischemia (16).

References

  1. Chen, D. et al. (2004) Growth Factors 22:233.
  2. Kishigami, S. and Y. Mishina (2005) Cytokine Growth Factor Rev. 16:265.
  3. Ozkaynak, E. et al. (1990) EMBO J. 9:2085.
  4. Celeste, A.J. et al. (1990) Proc. Natl. Acad. Sci. 87:9843.
  5. Gregory, K.E. et al. (2005) J. Biol. Chem. 280:27970.
  6. Sengle, G. et al. (2008) J. Mol. Biol. 381:1025.
  7. Israel, D.I. et al. (1996) Growth Factors 13:291.
  8. Aono, A. et al. (1995) Biochem. Biophys. Res. Commun. 210:670.
  9. Nishimatsu, S. and G.H. Thomsen (1998) Mech. Dev. 74:75.
  10. Sampath, T.K. et al. (1992) J. Biol. Chem. 267:20352.
  11. Kazama, I. et al. (2008) J. Am. Soc. Nephrol. 19:2181.
  12. Grishina, I.B. et al. (2005) Dev. Biol. 288:334.
  13. Zeisberg, M. et al. (2003) Nat. Med. 9:964.
  14. Buijs, J.T. et al. (2007) Am. J. Pathol. 171:1047.
  15. Yu, M.-A. et al. (2009) J. Am. Soc. Nephrol. 20:567.
  16. Chou, J. et al. (2006) J. Neurol. Sci. 240:21.

Long Name

Bone Morphogenetic Protein 7

Alternate Names

BMP7, OP-1

Entrez Gene IDs

655 (Human); 12162 (Mouse); 85272 (Rat)

Gene Symbol

BMP7

UniProt

Additional BMP-7 Products

Product Documents for Human BMP-7 Antibody

Certificate of Analysis

To download a Certificate of Analysis, please enter a lot number in the search box below.

Note: Certificate of Analysis not available for kit components.

Product Specific Notices for Human BMP-7 Antibody

For research use only

Loading...
Loading...
Loading...
Loading...