Skip to main content

Key Product Details

Validated by

Knockout/Knockdown

Species Reactivity

Validated:

Human

Cited:

Human

Applications

Validated:

Knockout Validated, Immunohistochemistry, Western Blot

Cited:

Western Blot

Label

Unconjugated

Antibody Source

Monoclonal Mouse IgG2B Clone # 760239

Product Specifications

Immunogen

E. coli-derived recombinant human BLMH/Bleomycin Hydrolase
Ser2-Glu455
Accession # Q13867

Specificity

Detects human BLMH/Bleomycin Hydrolase in direct ELISAs. It detects human, mouse and rat BLMH/Bleomycin Hydrolase in Western Blots.

Clonality

Monoclonal

Host

Mouse

Isotype

IgG2B

Scientific Data Images for Human BLMH/Bleomycin Hydrolase Antibody

Detection of Human, Mouse, and Rat BLMH/ Bleomycin Hydrolase antibody by Western Blot.

Detection of Human, Mouse, and Rat BLMH/ Bleomycin Hydrolase by Western Blot.

Western blot shows lysates of MOLT-4 human acute lymphoblastic leukemia cell line, mouse pancreas tissue, and rat pancreas tissue. PVDF membrane was probed with 0.2 µg/mL of Mouse Anti-Human BLMH/Bleomycin Hydrolase Monoclonal Antibody (Catalog # MAB6200) followed by HRP-conjugated Anti-Mouse IgG Secondary Antibody (Catalog # HAF018). A specific band was detected for BLMH/Bleomycin Hydrolase at approximately 52 kDa (as indicated). This experiment was conducted under reducing conditions and using Immunoblot Buffer Group 1.
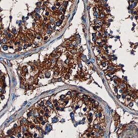
BLMH/Bleomycin Hydrolase antibody in Human Testis by Immunohistochemistry (IHC-P).

BLMH/Bleomycin Hydrolase in Human Testis.

BLMH/Bleomycin Hydrolase was detected in immersion fixed paraffin-embedded sections of human testis using Mouse Anti-Human BLMH/Bleomycin Hydrolase Monoclonal Antibody (Catalog # MAB6200) at 15 µg/mL overnight at 4 °C. Tissue was stained using the Anti-Mouse HRP-DAB Cell & Tissue Staining Kit (brown; Catalog # CTS002) and counterstained with hematoxylin (blue). Specific staining was localized to spermatocytes. View our protocol for Chromogenic IHC Staining of Paraffin-embedded Tissue Sections.
Western Blot Shows Human BLMH/Bleomycin Hydrolase Antibody Specificity by Using Knockout Cell Line.

Western Blot Shows Human BLMH/Bleomycin Hydrolase Specificity by Using Knockout Cell Line.

Western blot shows lysates of HeLa human cervical epithelial carcinoma parental cell line and BLMH/Bleomycin Hydrolase knockout HeLa cell line (KO). PVDF membrane was probed with 0.2 µg/mL of Mouse Anti-Human BLMH/Bleomycin Hydrolase Monoclonal Antibody (Catalog # MAB6200) followed by HRP-conjugated Anti-Mouse IgG Secondary Antibody (Catalog # HAF018). A specific band was detected for BLMH/Bleomycin Hydrolase at approximately 51 kDa (as indicated) in the parental HeLa cell line, but is not detectable in knockout HeLa cell line. GAPDH (Catalog # MAB5718) is shown as a loading control. This experiment was conducted under reducing conditions and using Immunoblot Buffer Group 1.

Applications for Human BLMH/Bleomycin Hydrolase Antibody

Application
Recommended Usage

Immunohistochemistry

8-25 µg/mL
Sample: Immersion fixed paraffin-embedded sections of human testis

Knockout Validated

BLMH/Bleomycin Hydrolase is specifically detected in HeLa human cervical epithelial carcinoma parental cell line but is not detectable in BLMH/Bleomycin Hydrolase knockout HeLa cell line.

Western Blot

0.2 µg/mL
Sample: MOLT‑4 human acute lymphoblastic leukemia cell line, mouse pancreas tissue, and rat pancreas tissue

Formulation, Preparation, and Storage

Purification

Protein A or G purified from hybridoma culture supernatant

Reconstitution

Sterile PBS to a final concentration of 0.5 mg/mL. For liquid material, refer to CoA for concentration.

Reconstitution Buffer Available:
Size / Price
Qty
Loading...

Formulation

Lyophilized from a 0.2 μm filtered solution in PBS with Trehalose. *Small pack size (SP) is supplied either lyophilized or as a 0.2 µm filtered solution in PBS.

Shipping

Lyophilized product is shipped at ambient temperature. Liquid small pack size (-SP) is shipped with polar packs. Upon receipt, store immediately at the temperature recommended below.

Stability & Storage

Use a manual defrost freezer and avoid repeated freeze-thaw cycles.
  • 12 months from date of receipt, -20 to -70 °C as supplied.
  • 1 month, 2 to 8 °C under sterile conditions after reconstitution.
  • 6 months, -20 to -70 °C under sterile conditions after reconstitution.

Background: BLMH/Bleomycin Hydrolase

Bleomycin Hydrolase (BLMH) is a cysteine peptidase of the papain superfamily. It is named for its ability to hydrolyze the antitumor agent bleomycin and inactivate it (1). It has a papain-like catalytic triad (Cys-His-Asp) with optimum activity at neutral pH. In mammals it is expressed ubiquitously in all types of tissues and its expression is up‑regulated in many tumors. It is present in the cytoplasm as homohexameric protein of approximately 300 kDa. In addition to its aminopeptidase activity, it has homocysteine-thiolactonase activity. BLMH inactivates bleomycin, a glycopeptide anticancer agent, by deaminating it (2). BLMH has been suggested to play a role in the generation of MHC class I-presented peptides (3, 4). Diminished BLMH activity may contribute to the pathology of Alzheimer’s disease (AD) (5, 6). It is inhibited by cysteine protease inhibitors such as N-ethylmaleimide, iodoacetamide, para-hydroxymercuribenzoate, and E‑64.

References

  1. Joshua-Tor, L. and S. A. Johnson (2004) in Handbook of Proteolytic Enzymes, Barrett, A. J. et al. eds. pp. 1197.

  2. Schwartz, D. R. et al. (1999) Proc. Natl. Acad. Sci. USA, 96:4680.

  3. Kim, E. et al. (2009) J. Immunol. 183:7379.

  4. Towne, C. F. et al. (2007) J. Immunol. 178:6923.

  5. Suszynska, J. et al. (2010) J. Alzheimers Dis. 19:1177.

  6. Lefterov, I. M. et al. (2000) FASEB J. 14:1837.

Alternate Names

BMH

Entrez Gene IDs

642 (Human)

Gene Symbol

BLMH

UniProt

Additional BLMH/Bleomycin Hydrolase Products

Product Documents for Human BLMH/Bleomycin Hydrolase Antibody

Certificate of Analysis

To download a Certificate of Analysis, please enter a lot number in the search box below.

Note: Certificate of Analysis not available for kit components.

Product Specific Notices for Human BLMH/Bleomycin Hydrolase Antibody

For research use only

Loading...
Loading...
Loading...
Loading...