Skip to main content

Key Product Details

Species Reactivity

Validated:

Human

Cited:

Human

Applications

Validated:

Immunohistochemistry, Western Blot

Cited:

Immunohistochemistry, Immunohistochemistry-Paraffin, ELISA Detection

Label

Unconjugated

Antibody Source

Polyclonal Goat IgG

Product Specifications

Immunogen

E. coli-derived recombinant human beta-Defensin 4/2
Gly24-Pro64
Accession # O15263

Specificity

Detects human beta-Defensin 4/2 in direct ELISAs and Western blots.

Clonality

Polyclonal

Host

Goat

Isotype

IgG

Scientific Data Images for Human beta-Defensin 4/2 Antibody

beta-Defensin 4/2 antibody in Human Lung by Immunohistochemistry (IHC-P).

beta-Defensin 4/2 in Human Lung.

beta-Defensin 4/2 was detected in immersion fixed paraffin-embedded sections of human lung using Human beta-Defensin 4/2 Antigen Affinity-purified Polyclonal Antibody (Catalog # AF2758) at 10 µg/mL overnight at 4 °C. Before incubation with the primary antibody tissue was subjected to heat-induced epitope retrieval using Antigen Retrieval Reagent-Basic (Catalog # CTS013). Tissue was stained using the Anti-Goat HRP-DAB Cell & Tissue Staining Kit (brown; Catalog # CTS008) and counterstained with hematoxylin (blue). Specific labeling was localized to the cytoplasm of alveolar cells. View our protocol for Chromogenic IHC Staining of Paraffin-embedded Tissue Sections.
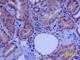
beta-Defensin 4/2 antibody in Human Kidney Array by Immunohistochemistry (IHC-P).

beta-Defensin 4/2 in Human Kidney Array.

beta-Defensin 4/2 was detected in immersion fixed paraffin-embedded sections of human kidney array using Human beta-Defensin 4/2 Antigen Affinity-purified Polyclonal Antibody (Catalog # AF2758) at 10 µg/mL overnight at 4 °C. Tissue was stained using the Anti-Goat HRP-DAB Cell & Tissue Staining Kit (brown; Catalog # CTS008) and counterstained with hematoxylin (blue). View our protocol for Chromogenic IHC Staining of Paraffin-embedded Tissue Sections.

Applications for Human beta-Defensin 4/2 Antibody

Application
Recommended Usage

Immunohistochemistry

5-15 µg/mL
Sample: Immersion fixed paraffin-embedded sections of human lung and immersion fixed paraffin-embedded sections of human kidney array

Western Blot

0.1 µg/mL
Sample: Recombinant Human beta-Defensin 4/2

Formulation, Preparation, and Storage

Purification

Antigen Affinity-purified

Reconstitution

Reconstitute at 0.2 mg/mL in sterile PBS. For liquid material, refer to CoA for concentration.

Reconstitution Buffer Available:
Size / Price
Qty
Loading...

Formulation

Lyophilized from a 0.2 μm filtered solution in PBS with Trehalose. *Small pack size (SP) is supplied either lyophilized or as a 0.2 µm filtered solution in PBS.

Shipping

Lyophilized product is shipped at ambient temperature. Liquid small pack size (-SP) is shipped with polar packs. Upon receipt, store immediately at the temperature recommended below.

Stability & Storage

Use a manual defrost freezer and avoid repeated freeze-thaw cycles.
  • 12 months from date of receipt, -20 to -70 °C as supplied.
  • 1 month, 2 to 8 °C under sterile conditions after reconstitution.
  • 6 months, -20 to -70 °C under sterile conditions after reconstitution.

Background: beta-Defensin 2

Human BD-2, also known as defensin beta 2 (DEFB-2), is a secreted, 41 amino acid residue anti-microbial protein belonging to the defensin family. Mature defensins are cationic proteins with three intramolecular disulfides and a characteristic triple-stranded beta-sheet. Human BD-2 expression is induced by inflammatory signals in multiple tissues, including airway epithelial cells and keratinocytes. At the amino acid sequence level, human BD-2 shares 98% and 51% homology with the proteins from rhesus monkey and rat, respectively.

Long Name

Defensin 2 beta

Alternate Names

BD-2, betaDefensin 2, DEFB2, DEFB4A, DEFB4B, HBD-2, SAP-1

Entrez Gene IDs

1673 (Human)

Gene Symbol

DEFB4A

UniProt

Additional beta-Defensin 2 Products

Product Documents for Human beta-Defensin 4/2 Antibody

Certificate of Analysis

To download a Certificate of Analysis, please enter a lot number in the search box below.

Note: Certificate of Analysis not available for kit components.

Product Specific Notices for Human beta-Defensin 4/2 Antibody

For research use only

Loading...
Loading...
Loading...
Loading...