Skip to main content

Key Product Details

Validated by

Knockout/Knockdown

Species Reactivity

Validated:

Human

Cited:

Human, Mouse

Applications

Validated:

Knockout Validated, Immunohistochemistry, Western Blot, Neutralization

Cited:

Immunohistochemistry, Immunohistochemistry-Paraffin, Flow Cytometry, Immunocytochemistry, ELISA Development

Label

Unconjugated

Antibody Source

Polyclonal Goat IgG

Product Specifications

Immunogen

S. frugiperda insect ovarian cell line Sf 21-derived recombinant human B7‑2/CD86
Ala23-His244
Accession # P42081

Specificity

Detects human B7‑2/CD86 in direct ELISAs and Western blots. In direct ELISAs, less than 10% cross‑reactivity with recombinant mouse B7-2 and recombinant rat B7-2 is observed.

Clonality

Polyclonal

Host

Goat

Isotype

IgG

Endotoxin Level

<0.10 EU per 1 μg of the antibody by the LAL method.

Scientific Data Images for Human B7-2/CD86 Antibody

Detection of Human B7-2/CD86 antibody by Western Blot.

Detection of Human B7‑2/CD86 by Western Blot.

Western blot shows lysates of Daudi human Burkitt's lymphoma cell line. PVDF membrane was probed with 0.5 µg/mL of Goat Anti-Human B7-2/CD86 Antigen Affinity-purified Polyclonal Antibody (Catalog # AF-141-NA) followed by HRP-conjugated Anti-Goat IgG Secondary Antibody (Catalog # HAF017). A specific band was detected for B7-2/CD86 at approximately 75 kDa (as indicated). This experiment was conducted under reducing conditions and using Immunoblot Buffer Group 1.
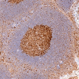
B7-2/CD86 antibody in Human Tonsil by Immunohistochemistry (IHC-P).

B7‑2/CD86 in Human Tonsil.

B7-2/CD86 was detected in immersion fixed paraffin-embedded sections of human tonsil using Goat Anti-Human B7-2/CD86 Antigen Affinity-purified Polyclonal Antibody (Catalog # AF-141-NA) at 15 µg/mL overnight at 4 °C. Tissue was stained using the Anti-Goat HRP-DAB Cell & Tissue Staining Kit (brown; Catalog # CTS008) and counterstained with hematoxylin (blue). View our protocol for Chromogenic IHC Staining of immersion fixed paraffin-embedded Tissue Sections.
B7-2/CD86 antibody in Human Tonsil by Immunohistochemistry (IHC-P).

B7‑2/CD86 in Human Tonsil.

B7-2/CD86 was detected in immersion fixed paraffin-embedded sections of human tonsil using Goat Anti-Human B7-2/CD86 Antigen Affinity-purified Polyclonal Antibody (Catalog # AF-141-NA) at 3 µg/mL for 1 hour at room temperature followed by incubation with the Anti-Goat IgG VisUCyte™ HRP Polymer Antibody (Catalog # VC004). Tissue was stained using DAB (brown) and counterstained with hematoxylin (blue). Specific staining was localized to lymphocytes. View our protocol for IHC Staining with VisUCyte HRP Polymer Detection Reagents.

Applications for Human B7-2/CD86 Antibody

Application
Recommended Usage

Immunohistochemistry

5-15 µg/mL
Sample: Immersion fixed paraffin-embedded sections of human tonsil

Knockout Validated

B7-2/CD86 is specifically detected in Ramos human Burkitt's lymphoma parental cell line but is not detectable in B7-2/CD86 knockout Ramos cell line

Western Blot

0.5 µg/mL
Sample: Daudi human Burkitt's lymphoma cell line

Neutralization

Measured by its ability to neutralize B7‑2/CD86-induced IL‑2 secretion in the Jurkat human acute T cell leukemia cell line. Linsley, P. et al. (1990) Proc. Natl. Acad. Sci. 87:5031. The Neutralization Dose (ND50) is typically 0.25-1.25 µg/mL in the presence of 2 µg/mL Recombinant Human B7‑2/CD86 Fc Chimera and 10 µg/mL PHA.

Reviewed Applications

Read 1 review rated 3 using AF-141-NA in the following applications:

Formulation, Preparation, and Storage

Purification

Antigen Affinity-purified

Reconstitution

Reconstitute at 0.2 mg/mL in sterile PBS. For liquid material, refer to CoA for concentration.

Reconstitution Buffer Available:
Size / Price
Qty
Loading...

Formulation

Lyophilized from a 0.2 μm filtered solution in PBS with Trehalose. *Small pack size (SP) is supplied either lyophilized or as a 0.2 µm filtered solution in PBS.

Shipping

Lyophilized product is shipped at ambient temperature. Liquid small pack size (-SP) is shipped with polar packs. Upon receipt, store immediately at the temperature recommended below.

Stability & Storage

Use a manual defrost freezer and avoid repeated freeze-thaw cycles.
  • 12 months from date of receipt, -20 to -70 °C as supplied.
  • 1 month, 2 to 8 °C under sterile conditions after reconstitution.
  • 6 months, -20 to -70 °C under sterile conditions after reconstitution.

Background: B7-2/CD86

B7-1 and B7-2, together with their receptors CD28 and CTLA-4, constitute one of the dominant costimulatory pathways that regulate T- and B-cell responses. Although both CTLA-4 and CD28 can bind to the same ligands, CTLA-4 binds to B7-1 and B7-2 with a 20‑100 fold higher affinity than CD28 and is involved in the down‑regulation of the immune response. B7-1 is expressed on activated B cells, activated T cells, and macrophages. B7-2 is constitutively expressed on interdigitating dendritic cells, Langerhans cells, peripheral blood dendritic cells, memory B cells, and germinal center B cells. Additionally, B7-2 is expressed at low levels on monocytes and can be up-regulated through interferon gamma. B7-1 and B7-2 are both members of the immunoglobulin superfamily. Human B7-2 is a 329 amino acid (aa) protein containing a putative 23 aa signal peptide, a 224 aa extracellular domain, a 21 aa transmembrane domain, and a 61 aa cytoplasmic domain. Human B7-2 and B7-1 share 26% amino acid identity. Human and mouse B7-2 share 50% amino acid identity. However, it has been observed that both human and mouse B7‑1 and
B7‑2 can bind to either human or mouse CD28 and CTLA-4, suggesting that there are conserved amino acids which form the B7-1/B7-2/CD28/CTLA-4 critical binding sites.

References

  1. Azuma, M. et al. (1993) Nature 366:76.
  2. Freeman, G.J. et al. (1993) Science 262:909.
  3. Freeman, G. et al. (1991) J. Exp. Med. 174:625.
  4. Selvakumar, A. et al. (1993) Immunogenetics 38:292.
  5. Chen, C. et al. (1994) J. Immunol. 152:4929.
  6. Freeman, G.J. et al. (1993) J. Exp. Med. 178:2185.

Alternate Names

B72, CD86

Entrez Gene IDs

942 (Human); 12524 (Mouse); 56822 (Rat); 102147235 (Cynomolgus Monkey)

Gene Symbol

CD86

UniProt

Additional B7-2/CD86 Products

Product Documents for Human B7-2/CD86 Antibody

Certificate of Analysis

To download a Certificate of Analysis, please enter a lot number in the search box below.

Note: Certificate of Analysis not available for kit components.

Product Specific Notices for Human B7-2/CD86 Antibody

For research use only

Loading...
Loading...
Loading...
Loading...