Skip to main content

Human B7-1/CD80 Antibody Best Seller

R&D Systems, part of Bio-Techne | Catalog # MAB140

R&D Systems, part of Bio-Techne

Key Product Details

Validated by

Orthogonal Validation, Biological Validation

Species Reactivity

Validated:

Human

Cited:

Human, Mouse

Applications

Validated:

Immunohistochemistry, ELISA Capture (Matched Antibody Pair), Neutralization, Flow Cytometry, Dual RNAscope ISH-IHC Compatible, CyTOF-ready

Cited:

Immunohistochemistry, Immunohistochemistry-Paraffin, Western Blot, Neutralization, Flow Cytometry, Immunocytochemistry, ELISA Capture, ELISA Development (Detection), Functional Assay, T Cell Activation

Label

Unconjugated

Antibody Source

Monoclonal Mouse IgG1 Clone # 37711

Product Specifications

Immunogen

S. frugiperda insect ovarian cell line Sf 21-derived recombinant human B7‑1/CD80
Val35-Asn242 (predicted)
Accession # P33681

Specificity

Detects human B7‑1/CD80 in ELISAs. In sandwich immunoassays, no cross-reactivity or interference with recombinant human (rh) B7-2, recombinant mouse (rm) B7-1, rmB7-2, rhB7-H1, rhB7-H2, rhB7-H3 or rmPD-L2 is observed.

Clonality

Monoclonal

Host

Mouse

Isotype

IgG1

Endotoxin Level

<0.10 EU per 1 μg of the antibody by the LAL method.

Scientific Data Images for Human B7-1/CD80 Antibody

Detection of B7-1/CD80 antibody in Raji Human Cell Line antibody by Flow Cytometry.

Detection of B7-1/CD80 in Raji Human Cell Line by Flow Cytometry.

Raji human Burkitt's lymphoma cell line was stained with Mouse Anti-Human B7-1/CD80 Monoclonal Antibody (Catalog # MAB140, filled histogram) or isotype control antibody (Catalog # MAB002, open histogram), followed by Fluorescein-conjugated Anti-Mouse IgG Secondary Antibody (Catalog # F0103B). View our protocol for Staining Membrane-associated Proteins.
IL‑2 secretion Induced by B7‑1/CD80 and Neutralization by Human B7‑1/CD80 Antibody.

IL‑2 secretion Induced by B7‑1/CD80 and Neutralization by Human B7‑1/CD80 Antibody.

Recombinant Human B7-1/CD80 Fc Chimera (Catalog # 140-B1) co-stimulates IL-2 secretion in the Jurkat human acute T cell leukemia cell line in the presence of PHA in a dose-dependent manner (orange line), as measured by the Human IL-2 Quantikine ELISA Kit (Catalog # D2050). IL-2 secretion elicited by Recombinant Human B7-1/CD80 Fc Chimera (1 µg/mL) and PHA (10 µg/mL) is neutralized (green line) by increasing concentrations of Mouse Anti-Human B7-1/CD80 Monoclonal Antibody (Catalog # MAB140). The ND50 is typically 0.2-1 µg/mL.
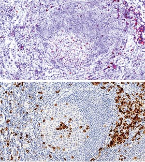
B7-1/CD80 antibody in Human Tonsil by Immunohistochemistry (IHC-P).

B7‑1/CD80 in Human Tonsil.

B7-1/CD80 was detected in immersion fixed paraffin-embedded sections of human tonsil using Mouse Anti-Human B7-1/CD80 Monoclonal Antibody (Catalog # MAB140) at 5 µg/mL overnight at 4 °C. Tissue was stained using the Anti-Mouse HRP-DAB Cell & Tissue Staining Kit (brown; Catalog # CTS002) and counterstained with hematoxylin (blue). Specific staining was localized to cytoplasm in lymphocytes. View our protocol for Chromogenic IHC Staining of Paraffin-embedded Tissue Sections.

Applications for Human B7-1/CD80 Antibody

Application
Recommended Usage

CyTOF-ready

Ready to be labeled using established conjugation methods. No BSA or other carrier proteins that could interfere with conjugation.

Dual RNAscope ISH-IHC Compatible

5-25 µg/mL
Sample: Immersion fixed paraffin-embedded sections of human tonsil tissue

Flow Cytometry

0.25 µg/106 cells
Sample: Raji human Burkitt's lymphoma cell line

Immunohistochemistry

5-25 µg/mL
Sample:  Immersion fixed paraffin-embedded sections of human tonsil tissue

Neutralization

Measured by its ability to neutralize B7‑1/CD80 and PHA-induced IL‑2 secretion in the Jurkat human acute T cell leukemia cell line. The Neutralization Dose (ND50) is typically 0.2-1 µg/mL in the presence of 1 µg/mL Recombinant Human B7‑1/CD80 Fc Chimera and 10 µg/mL PHA.

Human B7-1/CD80 Sandwich Immunoassay

ELISA Capture (Matched Antibody Pair)
Recommended Concentration: 2-8 µg/mL
Use in combination with these reagents:
  • Detection Reagent: Human B7-1/CD80 Biotinylated Antibody (Catalog # BAM1402)
  • Standard: Recombinant Human B7-1/CD80 Fc Chimera His-tag Protein, CF (Catalog # 140-B1)
Please Note: Optimal dilutions of this antibody should be experimentally determined.

Reviewed Applications

Read 2 reviews rated 3.5 using MAB140 in the following applications:

Formulation, Preparation, and Storage

Purification

Protein A or G purified from hybridoma culture supernatant

Reconstitution

Reconstitute at 0.5 mg/mL in sterile PBS. For liquid material, refer to CoA for concentration.

Reconstitution Buffer Available:
Size / Price
Qty
Loading...

Formulation

Lyophilized from a 0.2 μm filtered solution in PBS with Trehalose. *Small pack size (SP) is supplied either lyophilized or as a 0.2 µm filtered solution in PBS.

Shipping

Lyophilized product is shipped at ambient temperature. Liquid small pack size (-SP) is shipped with polar packs. Upon receipt, store immediately at the temperature recommended below.

Stability & Storage

Use a manual defrost freezer and avoid repeated freeze-thaw cycles.
  • 12 months from date of receipt, -20 to -70 °C as supplied.
  • 1 month, 2 to 8 °C under sterile conditions after reconstitution.
  • 6 months, -20 to -70 °C under sterile conditions after reconstitution.

Background: B7-1/CD80

B7-1 and B7-2, together with their receptors CD28 and CTLA-4, constitute one of the dominant co-stimulatory pathways that regulate T- and B-cell responses. Although both CTLA-4 and CD28 can bind to the same ligands, CTLA-4 binds to B7-1 and B7-2 with a 20‑100 fold higher affinity than CD28 and is involved in the down‑regulation of the immune response. B7-1 is expressed on activated B cells, activated T cells, and macrophages. B7-2 is constitutively expressed on interdigitating dendritic cells, Langerhans cells, peripheral blood dendritic cells, memory B cells, and germinal center B cells. Additionally, B7-2 is expressed at low levels on monocytes and can be up‑regulated through Interferon gamma. B7-1 and B7-2 are both members of the Immunoglobulin superfamily. Human B7-1 is a 288 amino acid (aa) protein containing a 34 aa signal peptide, a 208 aa extracellular domain, a 21 aa transmembrane domain, and a 25 aa cytoplasmic domain. Human B7-1 and B7-2 share 26% aa sequenceidentity. Human and mouse B7-1 share 44% aa sequenceidentity. However, it has been observed that both human and mouse B7-1 and B7-2 can bind to either human or mouse CD28 and CTLA-4, suggesting that there are conserved amino acids which form the B7-1/B7-2/CD28/CTLA-4 critical binding sites.

References

  1. Azuma, M. et al. (1993) Nature 366:76.
  2. Freeman, G.J. et al. (1993) Science 262:909.
  3. Freeman, G. et al. (1991) J. Exp. Med. 174:625.
  4. Selvakumar, A. et al. (1993) Immunogenetics 38:292.
  5. Chen, C. et al. (1994) J. Immunol. 152:4929.
  6. Freeman, G.J. et al. (1993) J. Exp. Med. 178:2185.

Alternate Names

B71, CD80

Entrez Gene IDs

941 (Human); 12519 (Mouse); 25408 (Rat); 102140078 (Cynomolgus Monkey)

Gene Symbol

CD80

UniProt

Additional B7-1/CD80 Products

Product Documents for Human B7-1/CD80 Antibody

Certificate of Analysis

To download a Certificate of Analysis, please enter a lot number in the search box below.

Note: Certificate of Analysis not available for kit components.

Product Specific Notices for Human B7-1/CD80 Antibody

For research use only

Loading...
Loading...
Loading...
Loading...
Loading...