Skip to main content

Key Product Details

Validated by

Biological Validation

Species Reactivity

Validated:

Human

Cited:

Human

Applications

Validated:

Immunohistochemistry, Western Blot, Immunocytochemistry, Simple Western

Cited:

Immunohistochemistry-Paraffin

Label

Unconjugated

Antibody Source

Polyclonal Goat IgG

Product Specifications

Immunogen

E. coli-derived recombinant human Atrial Natriuretic Peptide/ANP
Asn26-Tyr151
Accession # P01160

Specificity

Detects human Atrial Natriuretic Peptide/ANP in direct ELISAs and Western blots.

Clonality

Polyclonal

Host

Goat

Isotype

IgG

Scientific Data Images for Human Atrial Natriuretic Peptide/ANP Antibody

Detection of Human Atrial Natriuretic Peptide/ANP antibody by Western Blot.

Detection of Human Atrial Natriuretic Peptide/ANP by Western Blot.

Western blot shows lysates of iBJ6 human induced pluripotent stem cell line untreated (-) or differentiated to cardiomyoctyes (+). PVDF membrane was probed with 1 µg/mL of Goat Anti-Human Atrial Natriuretic Peptide/ANP Antigen Affinity-purified Polyclonal Antibody (Catalog # AF3366) followed by HRP-conjugated Anti-Goat IgG Secondary Antibody (Catalog # HAF017). A specific band was detected for Atrial Natriuretic Peptide/ANP at approximately 17 kDa (as indicated). This experiment was conducted under reducing conditions and using Immunoblot Buffer Group 1.
Atrial Natriuretic Peptide/ANP antibody in BG01V Human Embryonic Stem Cells by Immunocytochemistry (ICC).

Atrial Natriuretic Peptide/ANP in BG01V Human Embryonic Stem Cells.

Atrial Natriuretic Peptide/ANP was detected in immersion fixed BG01V human embryonic stem cells differentiated to cardiomyocytes using Goat Anti-Human Atrial Natriuretic Peptide/ANP Antigen Affinity-purified Polyclonal Antibody (Catalog # AF3366) at 10 µg/mL for 3 hours at room temperature. Cells were stained using the NorthernLights™ 557-conjugated Anti-Goat IgG Secondary Antibody (red; Catalog # NL001) and counterstained with DAPI (blue). Specific staining was localized to cytoplasm. View our protocol for Fluorescent ICC Staining of Stem Cells on Coverslips.
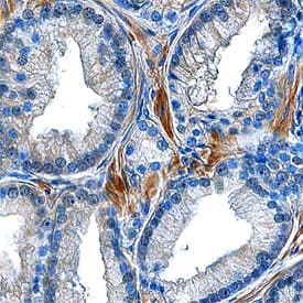
Atrial Natriuretic Peptide/ANP antibody in Human Prostate by Immunohistochemistry (IHC-P).

Atrial Natriuretic Peptide/ANP in Human Prostate.

Atrial Natriuretic Peptide/ANP was detected in immersion fixed paraffin-embedded sections of human prostate using Goat Anti-Human Atrial Natriuretic Peptide/ANP Antigen Affinity-purified Polyclonal Antibody (Catalog # AF3366) at 3 µg/mL overnight at 4 °C. Tissue was stained using the Anti-Goat HRP-DAB Cell & Tissue Staining Kit (brown; Catalog # CTS008) and counterstained with hematoxylin (blue). Specific staining was localized to stromal cells. View our protocol for Chromogenic IHC Staining of Paraffin-embedded Tissue Sections.

Applications for Human Atrial Natriuretic Peptide/ANP Antibody

Application
Recommended Usage

Immunocytochemistry

5-15 µg/mL
Sample: Immersion fixed BG01V human embryonic stem cells

Immunohistochemistry

3-15 µg/mL
Sample: Immersion fixed paraffin-embedded sections of human prostate

Simple Western

10 µg/mL
Sample: iBJ6 human induced pluripotent stem cell line differentiated to cardiomyocytes

Western Blot

1 µg/mL
Sample: iBJ6 human induced pluripotent stem cell line differentiated to cardiomyocytes 

Formulation, Preparation, and Storage

Purification

Antigen Affinity-purified

Reconstitution

Reconstitute at 0.2 mg/mL in sterile PBS. For liquid material, refer to CoA for concentration.

Reconstitution Buffer Available:
Size / Price
Qty
Loading...

Formulation

Lyophilized from a 0.2 μm filtered solution in PBS with Trehalose. *Small pack size (SP) is supplied either lyophilized or as a 0.2 µm filtered solution in PBS.

Shipping

Lyophilized product is shipped at ambient temperature. Liquid small pack size (-SP) is shipped with polar packs. Upon receipt, store immediately at the temperature recommended below.

Stability & Storage

Use a manual defrost freezer and avoid repeated freeze-thaw cycles.
  • 12 months from date of receipt, -20 to -70 °C as supplied.
  • 1 month, 2 to 8 °C under sterile conditions after reconstitution.
  • 6 months, -20 to -70 °C under sterile conditions after reconstitution.

Background: Atrial Natriuretic Peptide/ANP

ANP (Atril Natriuetic Peptide; also known as gamma-ANP, CDP/cardiodilatin-related peptide and CDD-ANF) is a secreted member of the natriuretic peptide family of molecules. It is expressed in multiple cell types, including atrial myocardiocytes, macrophages and select hypothalamic neurons. The C-terminus of ANP (or ANF) is reported to have a wide range of activities. It is best known to promote sodium and water excretion, but is also known to inhibit aldosterone and vasopressin secretion, while promoting testosterone and LH release. Human (pro)ANP is synthesized as a 153 amino acid (aa) preproprecursor that contains a 25 aa signal sequence, cardiodilatin-related peptide (aa 26-55), a prosequence (aa 56-123) and a C-terminal atrial natriuretic factor motif (aa 124-151) that may or may not be accompanied by a dibasic Arg fragment. Although multiple enzymes are reported to be active on proANP, transmembrane Corin would appear to be central to normal extracellular proteolytic processing and the generation of ANP. Notably, and depending upon the tissue, proANP can also be cleaved at alternate sites, including Ala120 and Arg126. There is at least one isoform variant that contains a 12 aa addition to the C-terminus of the proprecursor, resulting in an ANP that is 40 aa in length. Over aa 26-151 (proANP), human proANP shares 84% aa sequence identity with mouse proANP.

Alternate Names

ANF, ANP, Cardionatrin, NPPA, PND

Entrez Gene IDs

4878 (Human); 230899 (Mouse); 24602 (Rat)

Gene Symbol

NPPA

UniProt

Additional Atrial Natriuretic Peptide/ANP Products

Product Documents for Human Atrial Natriuretic Peptide/ANP Antibody

Certificate of Analysis

To download a Certificate of Analysis, please enter a lot number in the search box below.

Note: Certificate of Analysis not available for kit components.

Product Specific Notices for Human Atrial Natriuretic Peptide/ANP Antibody

For research use only

Loading...
Loading...
Loading...
Loading...