Skip to main content

Key Product Details

Species Reactivity

Human

Applications

Immunohistochemistry, Immunocytochemistry

Label

Unconjugated

Antibody Source

Recombinant Monoclonal Rabbit IgG Clone # 2358J

Product Specifications

Immunogen

E. coli-derived recombinant human ATF6
Met1-Thr192
Accession # P18850

Specificity

Detects human ATF6 in direct ELISAs.

Clonality

Monoclonal

Host

Rabbit

Isotype

IgG

Scientific Data Images for Human ATF6 Antibody

ATF6 in HeLa Human Cell Line.

ATF6 was detected in immersion fixed HeLa human cervical epithelial carcinoma cell line using Rabbit Anti-Human ATF6 Monoclonal Antibody (Catalog # MAB715271) at 3 µg/mL for 3 hours at room temperature. Cells were stained using the NorthernLights™ 557-conjugated Anti-Rabbit IgG Secondary Antibody (red; NL004) and counterstained with DAPI (blue). Specific staining was localized to cytoplasm and nuclei. Staining was performed using our protocol for Fluorescent ICC Staining of Non-adherent Cells.

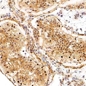
ATF6 in Human Testis.

ATF6 was detected in immersion fixed paraffin-embedded sections of human testis using Rabbit Anti-Human ATF6 Monoclonal Antibody (Catalog # MAB715271) at 5 µg/mL for 1 hour at room temperature followed by incubation with the Anti-Rabbit IgG VisUCyte™ HRP Polymer Antibody (VC003). Before incubation with the primary antibody, tissue was subjected to heat-induced epitope retrieval using Antigen Retrieval Reagent-Basic (CTS013). Tissue was stained using DAB (brown) and counterstained with hematoxylin (blue). Specific staining was localized to cytoplasm and nuclei in sperm cells. Staining was performed using our protocol for IHC Staining with VisUCyte HRP Polymer Detection Reagents.

Applications for Human ATF6 Antibody

Application
Recommended Usage

Immunocytochemistry

3-25 µg/mL
Sample: Immersion fixed HeLa human cervical epithelial carcinoma cell line

Immunohistochemistry

5-25 µg/mL
Sample: Immersion fixed paraffin-embedded sections of human testis

Formulation, Preparation, and Storage

Purification

Protein A or G purified from cell culture supernatant

Reconstitution

Reconstitute at 0.5 mg/mL in sterile PBS. For liquid material, refer to CoA for concentration.

Reconstitution Buffer Available:
Size / Price
Qty
Loading...

Formulation

Lyophilized from a 0.2 μm filtered solution in PBS with Trehalose. *Small pack size (SP) is supplied either lyophilized or as a 0.2 µm filtered solution in PBS.

Shipping

Lyophilized product is shipped at ambient temperature. Liquid small pack size (-SP) is shipped with polar packs. Upon receipt, store immediately at the temperature recommended below.

Stability & Storage

Use a manual defrost freezer and avoid repeated freeze-thaw cycles.
  • 12 months from date of receipt, -20 to -70 °C as supplied.
  • 1 month, 2 to 8 °C under sterile conditions after reconstitution.
  • 6 months, -20 to -70 °C under sterile conditions after reconstitution.

Background: ATF6

ATF6 is a constitutively expressed, endoplasmic reticulum (ER) membrane-anchored transcription factor. ATF6 is a key transcriptional activator of the unfolded protein response (UPR), which allows mammalian cells to maintain cellular homeostasis when they are subjected to environmental and physiological stresses that target the ER (reviewed in Shen, 2005 & Prywes, 2005). The C-terminus of ATF6 is located in the ER lumen and its N-terminal DNA binding domain faces the cytosol. AFT6 plays a key role in the ER stress response by transmitting the ER stress signal across the ER membrane into the nucleus. The induction of new gene expression by ATF6 is an important aspect of the ER stress response. In response to certain stress conditions, ATF6 translocates from the ER to the Golgi. The 90 kDa full-length ATF6 is processed within the Golgi to its active 50 kDa form through sequential cleavage by site-1 and site-2 proteases (S1P and S2P). Proteolytic activation of ATF6 in the ER stress response is a mechanism to regulate membrane-bound factors, and is referred to as regulated intramembrane proteolysis. The N-terminal active ATF6 translocates to the nucleus where it binds to ER stress-response elements in ER stress-response genes (ERSRGs). ATF6 is a potent transcriptional activator of ERSRGs. The fully glycosylated form of ATF6, a 670 amino acid protein, exhibits an electrophoretic mobility of ~90 kDa in denaturing SDS-gels, in part because of the glycosylated modifications. ATF6 has 3 consensus sites for N-linked glycosylation and exists constitutively as a glycosylated protein. Differentially glycosylated ATF6 forms may result from mutations or experimental treatment.

Long Name

Activating Transcription Factor 6

Alternate Names

ACHM7, ATF6 alpha

Entrez Gene IDs

22926 (Human); 226641 (Mouse); 304962 (Rat)

Gene Symbol

ATF6

UniProt

Additional ATF6 Products

Product Documents for Human ATF6 Antibody

Certificate of Analysis

To download a Certificate of Analysis, please enter a lot number in the search box below.

Note: Certificate of Analysis not available for kit components.

Product Specific Notices for Human ATF6 Antibody

For research use only

Loading...
Loading...
Loading...
Loading...