Skip to main content

Human ASGR1/ASGPR1 Antibody

R&D Systems, part of Bio-Techne | Catalog # MAB43941

R&D Systems, part of Bio-Techne

Key Product Details

Species Reactivity

Human

Applications

CyTOF-ready, Flow Cytometry, Immunohistochemistry

Label

Unconjugated

Antibody Source

Monoclonal Mouse IgG1 Clone # 950203

Product Specifications

Immunogen

Mouse myeloma cell line NS0-derived recombinant human ASGR1/ASGPR1
Gln62-Leu291
Accession # P07306

Specificity

Detects human ASGR1/ASGPR1 in direct ELISAs.

Clonality

Monoclonal

Host

Mouse

Isotype

IgG1

Scientific Data Images for Human ASGR1/ASGPR1 Antibody

Detection of ASGR1/ASGPR1 antibody in HepG2 Human Cell Line antibody by Flow Cytometry.

Detection of ASGR1/ASGPR1 in HepG2 Human Cell Line by Flow Cytometry.

HepG2 human hepatocellular carcinoma cell line was stained with Mouse Anti-Human ASGR1/ASGPR1 Monoclonal Antibody (Catalog # MAB43941, filled histogram) or isotype control antibody (Catalog # MAB0041, open histogram), followed by PE-conjugated Anti-Mouse IgG Secondary Antibody (Catalog # F0102B). View our protocol for Staining Membrane-associated Proteins.
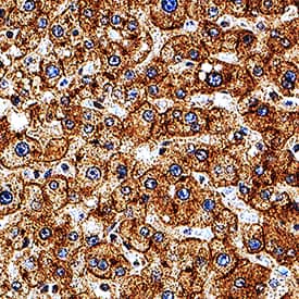
ASGR1/ASGPR1 antibody in Human Liver by Immunohistochemistry (IHC-P).

ASGR1/ASGPR1 in Human Liver.

ASGR1/ASGPR1 was detected in immersion fixed paraffin-embedded sections of human liver using Mouse Anti-Human ASGR1/ASGPR1 Monoclonal Antibody (Catalog # MAB43941) at 15 µg/mL for 1 hour at room temperature followed by incubation with the Anti-Mouse IgG VisUCyte™ HRP Polymer Antibody (Catalog # VC001). Tissue was stained using DAB (brown) and counterstained with hematoxylin (blue). Specific staining was localized to cytoplasm and membranes in hepatocytes. View our protocol for IHC Staining with VisUCyte HRP Polymer Detection Reagents.

Applications for Human ASGR1/ASGPR1 Antibody

Application
Recommended Usage

CyTOF-ready

Ready to be labeled using established conjugation methods. No BSA or other carrier proteins that could interfere with conjugation.

Flow Cytometry

0.25 µg/106 cells
Sample: HepG2 Human Cell Line

Immunohistochemistry

5-25 µg/mL
Sample: Immersion fixed paraffin-embedded sections of human liver

Formulation, Preparation, and Storage

Purification

Protein A or G purified from hybridoma culture supernatant

Reconstitution

Reconstitute at 0.5 mg/mL in sterile PBS. For liquid material, refer to CoA for concentration.

Reconstitution Buffer Available:
Size / Price
Qty
Loading...

Formulation

Lyophilized from a 0.2 μm filtered solution in PBS with Trehalose. *Small pack size (SP) is supplied either lyophilized or as a 0.2 µm filtered solution in PBS.

Shipping

Lyophilized product is shipped at ambient temperature. Liquid small pack size (-SP) is shipped with polar packs. Upon receipt, store immediately at the temperature recommended below.

Stability & Storage

Use a manual defrost freezer and avoid repeated freeze-thaw cycles.
  • 12 months from date of receipt, -20 to -70 °C as supplied.
  • 1 month, 2 to 8 °C under sterile conditions after reconstitution.
  • 6 months, -20 to -70 °C under sterile conditions after reconstitution.

Background: ASGR1/ASGPR1

The human asialoglycoprotein receptor (ASGPR) is an endocytic recycling receptor that belongs to the long-form subfamily of the C-type/Ca+2-dependent lectin family (1, 2, 3). It is a complex of two noncovalently-linked subunits, a major 46 kDa glycoprotein (ASGR1) and a minor 50 kDa glycoprotein (ASGR2). The major human ASGPR subunit, ASGR1 (also H1), is synthesized as a 291 amino acid (aa) type II transmembrane (TM) glycoprotein. It contains a 40 aa cytoplasmic region, a 21 aa TM segment, and a 230 aa extracellular domain (ECD) (4 - 6). The cytoplasmic region contains one palmitoylation site at Cys36 that is essential for ligand endocytosis and dissociation (7). The ECD contains two important structural regions. The first is a stalk region of 62 aa (aa 61 - 123) that contributes to noncovalent oligomerization. The second is a 118 aa, carbohydrate-binding, Ca+2-dependent C-type lectin domain (aa 161 - 278) that is stabilized by three Ca+2 ions (3, 8). Human ASGR1 ECD is 79% aa identical to mouse ASGR1 ECD. There are two minor (ASGR2) subunits that interact with ASGR1/H1 in a mutually exclusive manner to generate a functional ASGPR (9). They represent alternate splice forms of a type II TM protein. Termed H2b and H2c, H2b differs from H2c only by the presence of a 19 aa insert in its cytoplasmic region. This insert is significant because it allows serine phosphorylation of the cytoplasmic tail and provides for the majority of ASGPR ligand internalization (9). The stoichiometry of a functional ASGPR is unclear, but is suggested to be either a 2:2, 3:1 or 3:2 ratio of ASGR1/H1:ASGR2/H2 (9, 10, 11). ASGPR is found on hepatocytes and a subset of T cells (6, 12). ASGPR is reported to bind Gal (nonreducing), GalNAc, and sialic acid alpha2,6Gal and GalNAc (3, 13, 14, 15). This is generally within the context of triantennary or tetraantennary configurations (2). The sialic acid terminations are of particular interest because molecules with these motifs most likely represent the endogenous ligands for ASGPR (14).

References

  1. Stockert, R. J. (1995) Physiol. Rev. 75:591.
  2. Weigel, P.H. and J.H.N. Yik (2002) Biochim. Biophys. Acta 1572:341.
  3. Meier, M. et al. (2000) J. Mol. Biol. 300:857.
  4. Spiess, M. et al. (1985) J. Biol. Chem. 260:1979.
  5. Spiess, M. and H.F. Lodish (1986) Cell 44:177.
  6. Bischoff, J. et al. (1988) J. Cell Biol. 106:1067.
  7. Yik, J.H.N. et al. (2002) J. Biol. Chem. 277:40844.
  8. Monroe, R.S. and B.E. Huber (1994) Gene 148:237.
  9. Yik, J.H.N. et al. (2002) J. Biol. Chem. 277:23076.
  10. Bider, M.D. et al. (1996) J. Biol. Chem. 271:31996.
  11. Lodish, H. (1991) Trends Biochem. Sci. 16:374.
  12. Park, J-H. et al. (2006) Biotechnol. Lett. 28:1061.
  13. Westerlind, U. et al. (2004) Glyconj. J. 21:227.
  14. Park, E.I. et al. (2005) Proc. Natl. Acad. Sci. USA 102:17125.
  15. Park, E.I. et al. (2003) J. Biol. Chem. 278:4597.

Long Name

Asialoglycoprotein Receptor 1

Alternate Names

ASGPR1, CLEC4H1, MHL1, RHL1

Entrez Gene IDs

432 (Human); 11889 (Mouse); 24210 (Rat)

Gene Symbol

ASGR1

UniProt

Additional ASGR1/ASGPR1 Products

Product Documents for Human ASGR1/ASGPR1 Antibody

Certificate of Analysis

To download a Certificate of Analysis, please enter a lot number in the search box below.

Note: Certificate of Analysis not available for kit components.

Product Specific Notices for Human ASGR1/ASGPR1 Antibody

For research use only

Loading...
Loading...
Loading...
Loading...
Loading...