Skip to main content

Key Product Details

Species Reactivity

Validated:

Human

Cited:

Human

Applications

Validated:

Immunohistochemistry, Western Blot, Simple Western

Cited:

ELISA Detection

Label

Unconjugated

Antibody Source

Monoclonal Mouse IgG1 Clone # 1008037

Product Specifications

Immunogen

E. coli-derived recombinant human Apolipoprotein B/ApoB
Ile3374-Val3600
Accession # P04114

Specificity

Detects human Apolipoprotein B/ApoB in direct ELISAs.

Clonality

Monoclonal

Host

Mouse

Isotype

IgG1

Scientific Data Images for Human Apolipoprotein B/ApoB Antibody

Detection of Human Apolipoprotein B/ApoB antibody by Western Blot.

Detection of Human Apolipoprotein B/ApoB by Western Blot.

Western blot shows lysates of human plasma. PVDF membrane was probed with 1 µg/mL of Mouse Anti-Human Apolipoprotein B/ApoB Monoclonal Antibody (Catalog # MAB41242) followed by HRP-conjugated Anti-Mouse IgG Secondary Antibody (Catalog # HAF018). A specific band was detected for Apolipoprotein B/ApoB at approximately 500 kDa (as indicated). This experiment was conducted under reducing conditions and using Immunoblot Buffer Group 1.
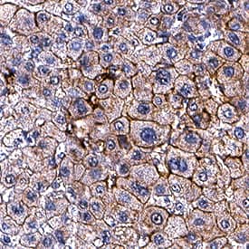
Apolipoprotein B/ApoB antibody in Human Liver by Immunohistochemistry (IHC-P).

Apolipoprotein B/ApoB in Human Liver.

Apolipoprotein B/ApoB was detected in immersion fixed paraffin-embedded sections of human liver using Mouse Anti-Human Apolipoprotein B/ApoB Monoclonal Antibody (Catalog # MAB41242) at 5 µg/mL for 1 hour at room temperature followed by incubation with the Anti-Mouse IgG VisUCyte™ HRP Polymer Antibody (Catalog # VC001). Before incubation with the primary antibody, tissue was subjected to heat-induced epitope retrieval using Antigen Retrieval Reagent-Basic (Catalog # CTS013). Tissue was stained using DAB (brown) and counterstained with hematoxylin (blue). Specific staining was localized to plasma membrane in hepatocytes. View our protocol for IHC Staining with VisUCyte HRP Polymer Detection Reagents.

Detection of Human Apolipoprotein B/ApoB by Simple WesternTM.

Simple Western shows lysates of human plasma, loaded at 1:50. A specific band was detected for Apolipoprotein B/ApoB at approximately 315 kDa (as indicated) using 5 µg/mL of Mouse Anti-Human Apolipoprotein B/ApoB Monoclonal Antibody (Catalog # MAB41242). This experiment was conducted under reducing conditions and using the 66-440kDa separation system.

Applications for Human Apolipoprotein B/ApoB Antibody

Application
Recommended Usage

Immunohistochemistry

5-25 µg/mL
Sample: Immerson fixed paraffin-embedded sections of human liver

Simple Western

5 µg/mL
Sample: Human Plasma

Western Blot

1 µg/mL
Sample: Human Plasma

Formulation, Preparation, and Storage

Purification

Protein A or G purified from hybridoma culture supernatant

Reconstitution

Reconstitute at 0.5 mg/mL in sterile PBS. For liquid material, refer to CoA for concentration.

Reconstitution Buffer Available:
Size / Price
Qty
Loading...

Formulation

Lyophilized from a 0.2 μm filtered solution in PBS with Trehalose. *Small pack size (SP) is supplied either lyophilized or as a 0.2 µm filtered solution in PBS.

Shipping

Lyophilized product is shipped at ambient temperature. Liquid small pack size (-SP) is shipped with polar packs. Upon receipt, store immediately at the temperature recommended below.

Stability & Storage

Use a manual defrost freezer and avoid repeated freeze-thaw cycles.
  • 12 months from date of receipt, -20 to -70 °C as supplied.
  • 1 month, 2 to 8 °C under sterile conditions after reconstitution.
  • 6 months, -20 to -70 °C under sterile conditions after reconstitution.

Background: Apolipoprotein B/ApoB

Human ApoB (Apolipoprotein B-100) is a 550 kDa, secreted, palmitoylated glycoprotein that is part of LDL and VLDL particles. It is made by liver and is 4536 amino acids (aa) in length. It binds LDL to the ApoB/E receptor. Multiple forms of ApoB-100 exist; ApoB-25, 26, 29, 37, 39, 48, and 74. The numbers reflect each molecule’s predicted MW as a percentage of ApoB-100 (512 kDa). Amino acids 1206-1414 of the precursor were used for immunization. Based on likelihood of secretion, this antibody may recognize B26 (1297 aa), B37 (1728 aa), B39 (1799 aa), and B48 (2152 aa). Over the immunization polypeptide range, human ApoB-100 is 80% and 82% aa identical to mouse and dog ApoB-100, respectively.

Alternate Names

APOB, ApoB-100, ApoB-48, FLDB, LDLCQ4

Entrez Gene IDs

338 (Human); 238055 (Mouse); 54225 (Rat)

Gene Symbol

APOB

UniProt

Additional Apolipoprotein B/ApoB Products

Product Documents for Human Apolipoprotein B/ApoB Antibody

Certificate of Analysis

To download a Certificate of Analysis, please enter a lot number in the search box below.

Note: Certificate of Analysis not available for kit components.

Product Specific Notices for Human Apolipoprotein B/ApoB Antibody

For research use only

Loading...
Loading...
Loading...
Loading...