Skip to main content

Human APJ Antibody

R&D Systems, part of Bio-Techne | Catalog # MAB8561

Recombinant Monoclonal Antibody.
R&D Systems, part of Bio-Techne

Key Product Details

Species Reactivity

Validated:

Human

Cited:

Human

Applications

Validated:

Immunohistochemistry, Flow Cytometry

Cited:

Flow Cytometry

Label

Unconjugated

Antibody Source

Recombinant Monoclonal Mouse IgG1 Clone # 72133R

Product Specifications

Immunogen

Mouse myeloma cell line NS0-derived recombinant human APJ
Met1-Asp380
Accession # P35414

Specificity

Detects human APJ in direct ELISAs.

Clonality

Monoclonal

Host

Mouse

Isotype

IgG1

Scientific Data Images for Human APJ Antibody

Detection of APJ antibody in U-118-MG Human Cell Line antibody by Flow Cytometry.

Detection of APJ in U‑118‑MG Human Cell Line by Flow Cytometry.

U-118-MG human glioblastoma/astrocytoma cell line was stained with Mouse Anti-Human APJ Monoclonal Antibody (Catalog # MAB8561, filled histogram) or isotype control antibody (Catalog # MAB002, open histogram), followed by Allophycocyanin-conjugated Anti-Mouse IgG Secondary Antibody (Catalog # F0101B). View our protocol for Staining Membrane-associated Proteins.
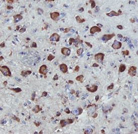
APJ antibody in Human Hypothalamus by Immunohistochemistry (IHC-P).

APJ in Human Hypothalamus.

APJ was detected in immersion fixed paraffin-embedded sections of human hypothalamus using Mouse Anti-Human APJ Monoclonal Antibody (Catalog # MAB8561) at 0.5 µg/mL for 1 hour at room temperature followed by incubation with the Anti-Mouse IgG VisUCyte™ HRP Polymer Antibody (Catalog # VC001). Tissue was stained using DAB (brown) and counterstained with hematoxylin (blue). Specific staining was localized to cytoplasm and cell membranes. View our protocol for IHC Staining with VisUCyte HRP Polymer Detection Reagents.

Applications for Human APJ Antibody

Application
Recommended Usage

Flow Cytometry

0.25 µg/106 cells
Sample: U‑118‑MG human glioblastoma/astrocytoma cell line

Immunohistochemistry

0.5-25 µg/mL
Sample: Immersion fixed paraffin-embedded sections of human hypothalamus

Formulation, Preparation, and Storage

Purification

Protein A or G purified from cell culture supernatant

Reconstitution

Reconstitute at 0.5 mg/mL in sterile PBS. For liquid material, refer to CoA for concentration.

Reconstitution Buffer Available:
Size / Price
Qty
Loading...

Formulation

Lyophilized from a 0.2 μm filtered solution in PBS with Trehalose. *Small pack size (SP) is supplied either lyophilized or as a 0.2 µm filtered solution in PBS.

Shipping

Lyophilized product is shipped at ambient temperature. Liquid small pack size (-SP) is shipped with polar packs. Upon receipt, store immediately at the temperature recommended below.

Stability & Storage

Use a manual defrost freezer and avoid repeated freeze-thaw cycles.
  • 12 months from date of receipt, -20 to -70 °C as supplied.
  • 1 month, 2 to 8 °C under sterile conditions after reconstitution.
  • 6 months, -20 to -70 °C under sterile conditions after reconstitution.

Background: APJ

APJ is a G-protein coupled receptor that is related to the angiotensin receptor. It is primarily expressed in coronary artery endothelium and binds the endogenous ligand, apelin. APJ can also function as a co-receptor for HIV.

Long Name

Apelin Receptor/G-protein Coupled Receptor APJ

Alternate Names

AGTRL1, APJR, APLNR, HG11

Entrez Gene IDs

187 (Human); 23796 (Mouse); 83518 (Rat)

Gene Symbol

APLNR

UniProt

Additional APJ Products

Product Documents for Human APJ Antibody

Certificate of Analysis

To download a Certificate of Analysis, please enter a lot number in the search box below.

Note: Certificate of Analysis not available for kit components.

Product Specific Notices for Human APJ Antibody

For research use only

Loading...
Loading...
Loading...
Loading...
Loading...