Skip to main content

Key Product Details

Species Reactivity

Human

Applications

Immunohistochemistry, Western Blot

Label

Unconjugated

Antibody Source

Polyclonal Sheep IgG

Product Specifications

Immunogen

E. coli-derived recombinant human Annexin A8/ANXA8
Ala2-Pro327
Accession # P13928

Specificity

Detects human Annexin A8/ANXA8 in direct ELISAs and Western blots. In direct ELISAs, less than 5% cross-reactivity with recombinant human (rh) ANXA4, rhANXA5, rhANXA6, rhANXA7, rhANXA11, and rhANXA13A is observed.

Clonality

Polyclonal

Host

Sheep

Isotype

IgG

Scientific Data Images for Human Annexin A8/ANXA8 Antibody

Detection of Human Annexin A8 antibody by Western Blot.

Detection of Human Annexin A8 by Western Blot.

Western blot shows lysates of A549 human lung carcinoma cell line. PVDF membrane was probed with 2 µg/mL of Sheep Anti-Human Annexin A8 Antigen Affinity-purified Polyclonal Antibody (Catalog # AF8105) followed by HRP-conjugated Anti-Sheep IgG Secondary Antibody (Catalog # HAF016). A specific band was detected for Annexin A8 at approximately 36 kDa (as indicated). This experiment was conducted under reducing conditions and using Immunoblot Buffer Group 1.
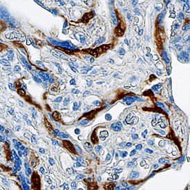
Annexin A8 antibody in Human Placenta by Immunohistochemistry (IHC-P).

Annexin A8 in Human Placenta.

Annexin A8 was detected in immersion fixed paraffin-embedded sections of human placenta using Sheep Anti-Human Annexin A8 Antigen Affinity-purified Polyclonal Antibody (Catalog # AF8105) at 1 µg/mL overnight at 4 °C. Before incubation with the primary antibody, tissue was subjected to heat-induced epitope retrieval using Antigen Retrieval Reagent-Basic (Catalog # CTS013). Tissue was stained using the Anti-Sheep HRP-DAB Cell & Tissue Staining Kit (brown; Catalog # CTS019) and counterstained with hematoxylin (blue). Specific staining was localized to endothelial cells. View our protocol for Chromogenic IHC Staining of Paraffin-embedded Tissue Sections.

Applications for Human Annexin A8/ANXA8 Antibody

Application
Recommended Usage

Immunohistochemistry

5-15 µg/mL
Sample: Immersion fixed paraffin-embedded sections of human placenta subjected to heat-induced epitope retrieval using Antigen Retrieval Reagent-Basic (Catalog # CTS013)

Western Blot

2 µg/mL
Sample: A549 human lung carcinoma cell line

Formulation, Preparation, and Storage

Purification

Antigen Affinity-purified

Reconstitution

Reconstitute at 0.2 mg/mL in sterile PBS. For liquid material, refer to CoA for concentration.

Reconstitution Buffer Available:
Size / Price
Qty
Loading...

Formulation

Lyophilized from a 0.2 μm filtered solution in PBS with Trehalose. *Small pack size (SP) is supplied either lyophilized or as a 0.2 µm filtered solution in PBS.

Shipping

Lyophilized product is shipped at ambient temperature. Liquid small pack size (-SP) is shipped with polar packs. Upon receipt, store immediately at the temperature recommended below.

Stability & Storage

Use a manual defrost freezer and avoid repeated freeze-thaw cycles.
  • 12 months from date of receipt, -20 to -70 °C as supplied.
  • 1 month, 2 to 8 °C under sterile conditions after reconstitution.
  • 6 months, -20 to -70 °C under sterile conditions after reconstitution.

Background: Annexin A8/ANXA8

Annexin A8 (ANXA8), also known as VAC-beta, is an approximately 37 kDa member of the Annexin family of calcium-dependent phospholipid-binding proteins. Annexin A8 associates with the cytosolic face of endosomal membranes in the presence of elevated calcium, and it plays a role in endosomal vesicle trafficking. Annexin A8 is widely expressed in epithelial cells, particularly in the tongue, skin, cornea, and pubertal mammary ducts. It is upregulated in mammary hyperplasia and adenocarcinoma as well as infiltrating pancreatic adenocarcinoma. Annexin A8 is also upregulated during osteoclast differentiation at sites of bone loss. A highly similar duplicated copy of this gene is found in close proximity on the long arm of chromosome 10. Also, multiple copies of ANXA8-like sequences are reported on human chromosome 10q11. Human Annexin A8 shares 92% amino acid sequence identity with mouse and rat Annexin A8.

Alternate Names

Anx8, ANXA8, ANXA8L2

Entrez Gene IDs

653145 (Human)

Gene Symbol

ANXA8

UniProt

Additional Annexin A8/ANXA8 Products

Product Documents for Human Annexin A8/ANXA8 Antibody

Certificate of Analysis

To download a Certificate of Analysis, please enter a lot number in the search box below.

Note: Certificate of Analysis not available for kit components.

Product Specific Notices for Human Annexin A8/ANXA8 Antibody

For research use only

Loading...
Loading...
Loading...
Loading...