Skip to main content

Key Product Details

Validated by

Knockout/Knockdown

Species Reactivity

Human

Applications

Knockout Validated, Immunohistochemistry, Western Blot, Simple Western

Label

Unconjugated

Antibody Source

Monoclonal Mouse IgG1 Clone # 986025

Product Specifications

Immunogen

Mouse myeloma cell line NS0-derived recombinant human Aminopeptidase N/CD13
Lys69-Lys967
Accession # AAA51719

Specificity

Detects human Aminopeptidase N/CD13 in direct ELISAs.

Clonality

Monoclonal

Host

Mouse

Isotype

IgG1

Scientific Data Images for Human Aminopeptidase N/CD13 Antibody

Detection of Human Aminopeptidase N/CD13 antibody by Western Blot.

Detection of Human Aminopeptidase N/CD13 by Western Blot.

Western blot shows lysates of human prostate tissue, human liver tissue, HepG2 human hepatocellular carcinoma cell line, and PC-3 human prostate cancer cell line. PVDF membrane was probed with 1 µg/mL of Mouse Anti-Human Aminopeptidase N/CD13 Monoclonal Antibody (Catalog # MAB38151) followed by HRP-conjugated Anti-Mouse IgG Secondary Antibody (Catalog # HAF018). A specific band was detected for Aminopeptidase N/CD13 at approximately 150 kDa (as indicated). This experiment was conducted under reducing conditions and using Immunoblot Buffer Group 1.

Detection of Human Aminopeptidase N/CD13 by Simple WesternTM.

Simple Western shows lysates of Exosome Standards (PC-3) (NBP2-49856) and human prostate tissue, loaded at 0.5 mg/ml. A specific band was detected for Aminopeptidase N/CD13 at approximately 192 kDa (as indicated) using 20 µg/mL of Mouse Anti-Human Aminopeptidase N/CD13 Monoclonal Antibody (Catalog # MAB38151). This experiment was conducted under reducing conditions and using the 66-440kDa separation system.
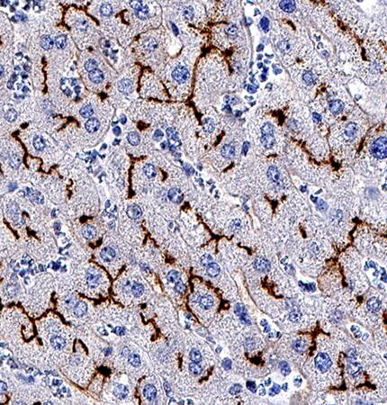
Aminopeptidase N/CD13 antibody in Human Colon by Immunohistochemistry (IHC-P).

Aminopeptidase N/CD13 in Human Colon.

Aminopeptidase N/CD13 was detected in immersion fixed paraffin-embedded sections of human colon using Mouse Anti-Human Aminopeptidase N/CD13 Monoclonal Antibody (Catalog # MAB38151) at 0.5 µg/mL for 1 hour at room temperature followed by incubation with the Anti-Mouse IgG VisUCyte™ HRP Polymer Antibody (Catalog # VC001). Before incubation with the primary antibody, tissue was subjected to heat-induced epitope retrieval using Antigen Retrieval Reagent-Basic (Catalog # CTS013). Tissue was stained using DAB (brown) and counterstained with hematoxylin (blue). Specific staining was localized to glandular cells. View our protocol for IHC Staining with VisUCyte HRP Polymer Detection Reagents.

Applications for Human Aminopeptidase N/CD13 Antibody

Application
Recommended Usage

Immunohistochemistry

0.5-25 µg/mL
Sample: Immersion fixed paraffin-embedded sections of human colon

Knockout Validated

Aminopeptidase N/CD13 is specifically detected in U937 human histiocytic lymphoma parental cell line but is not detectable in Aminopeptidase N/CD13 knockout U937 human histiocytic lymphoma cell line.

Simple Western

20 µg/mL
Sample: Exosome Standards (PC-3) (Catalog # NBP2-49856), human small intestine tissue and human prostate tissue

Western Blot

1 µg/mL
Sample: Human prostate tissue, Human liver tissue, HepG2 human hepatocellular carcinoma cell line, and PC‑3 human prostate cancer cell line

Formulation, Preparation, and Storage

Purification

Protein A or G purified from hybridoma culture supernatant

Reconstitution

Reconstitute at 0.5 mg/mL in sterile PBS. For liquid material, refer to CoA for concentration.

Reconstitution Buffer Available:
Size / Price
Qty
Loading...

Formulation

Lyophilized from a 0.2 μm filtered solution in PBS with Trehalose. See Certificate of Analysis for details.
*Small pack size (-SP) is supplied either lyophilized or as a 0.2 µm filtered solution in PBS.

Shipping

Lyophilized product is shipped at ambient temperature. Liquid small pack size (-SP) is shipped with polar packs. Upon receipt, store immediately at the temperature recommended below.

Stability & Storage

Use a manual defrost freezer and avoid repeated freeze-thaw cycles.
  • 12 months from date of receipt, -20 to -70 °C as supplied.
  • 1 month, 2 to 8 °C under sterile conditions after reconstitution.
  • 6 months, -20 to -70 °C under sterile conditions after reconstitution.

Background: Aminopeptidase N/CD13

The human ANPEP gene encodes aminopeptidase N (APN), which is also known as microsomal aminopeptidase, alanyl aminopeptidase, aminopeptidase M, CD13, or membrane protein p161 (1‑3). The deduced amino acid sequence of human APN consists of a short cytoplasmic tail (residues 2 to 8), a transmembrane region (residue 9 to 32), a Ser/Thr rich region and a zinc metalloprotease domain (residues 69 to 966). The amino acid sequence of human APN is 78% and 77% identical to that of rat and mouse, respectively. Widely expressed in many cells, tissues and species, APN cleaves the N-terminal amino acids from bioactive peptides, leading to their inactivation or degradation. The roles of APN in many fields, such as neuroscience, hematopoeitic cells, immune system, angiogenesis, cancer and viral infection, have been reviewed (3).

References

  1. Olsen, J. et al. (1988) FEBS Lett. 238:307.
  2. Look, A.T. et al. (1989) J. Clin. Invest. 83:1299.
  3. Turner, A.J. (2004) in Handbook of Proteolytic Enzymes (ed. Barrett, et al.) pp. 289, Academic Press, San Diego.

Alternate Names

Aminopeptidase M, ANPEP, APN, CD13, gp150, PEPN

Entrez Gene IDs

290 (Human); 16790 (Mouse); 397520 (Porcine); 102115663 (Cynomolgus Monkey)

Gene Symbol

ANPEP

UniProt

Additional Aminopeptidase N/CD13 Products

Product Documents for Human Aminopeptidase N/CD13 Antibody

Certificate of Analysis

To download a Certificate of Analysis, please enter a lot number in the search box below.

Note: Certificate of Analysis not available for kit components.

Product Specific Notices for Human Aminopeptidase N/CD13 Antibody

For research use only

Loading...
Loading...
Loading...
Loading...