Skip to main content

Key Product Details

Species Reactivity

Validated:

Human

Cited:

Human

Applications

Validated:

Immunohistochemistry, Western Blot, Immunocytochemistry, Simple Western

Cited:

Immunohistochemistry, Western Blot

Label

Unconjugated

Antibody Source

Monoclonal Mouse IgG1 Clone # 871701

Product Specifications

Immunogen

E. coli-derived recombinant human Aldo-keto Reductase 1C3/AKR1C3
Asp2-Tyr323
Accession # P42330

Specificity

Detects human Aldo-keto Reductase 1C3/AKR1C3 in ELISAs and Western Blot.

Clonality

Monoclonal

Host

Mouse

Isotype

IgG1

Scientific Data Images for Human Aldo-keto Reductase 1C3/AKR1C3 Antibody

Detection of Human Aldo-keto Reductase 1C3/AKR1C3 antibody by Western Blot.

Detection of Human Aldo-keto Reductase 1C3/AKR1C3 by Western Blot.

Western blot shows lysates of A549 human lung carcinoma cell line and HepG2 human hepatocellular carcinoma cell line. PVDF membrane was probed with 0.5 µg/mL of Mouse Anti-Human Aldo-keto Reductase 1C3/AKR1C3 Monoclonal Antibody (Catalog # MAB7678) followed by HRP-conjugated Anti-Mouse IgG Secondary Antibody (Catalog # HAF018). A specific band was detected for Aldo-keto Reductase 1C3/AKR1C3 at approximately 36 kDa (as indicated). This experiment was conducted under reducing conditions and using Immunoblot Buffer Group 1.
Aldo-keto Reductase 1C3/AKR1C3 antibody in LNCaP Human Cell Line by Immunocytochemistry (ICC).

Aldo-keto Reductase 1C3/AKR1C3 in LNCaP Human Cell Line.

Aldo-keto Reductase 1C3/AKR1C3 was detected in immersion fixed LNCaP human prostate cancer cell line stimulated with 50 ng/mL Recombinant Human/Mouse/Rat ActivinA (Catalog # 338-AC) for 24 hrs using Mouse Anti-Human Aldo-keto Reductase 1C3/AKR1C3 Monoclonal Antibody (Catalog # MAB7678) at 10 µg/mL for 3 hours at room temperature. Cells were stained using the NorthernLights™ 557-conjugated Anti-Mouse IgG Secondary Antibody (red; Catalog # NL007) and counterstained with DAPI (blue). Specific staining was localized to cell surfaces and cytoplasm. View our protocol for Fluorescent ICC Staining of Cells on Coverslips.
Detection of Human Aldo-keto Reductase 1C3/AKR1C3 antibody by Simple WesternTM.

Detection of Human Aldo-keto Reductase 1C3/AKR1C3 by Simple WesternTM.

Simple Western lane view shows lysates of A549 human lung carcinoma cell line and HepG2 human hepatocellular carcinoma cell line, loaded at 0.5 mg/mL. A specific band was detected for Aldo-keto Reductase 1C3/AKR1C3 at approximately 45 kDa (as indicated) using 5 µg/mL of Mouse Anti-Human Aldo-keto Reductase 1C3/AKR1C3 Monoclonal Antibody (Catalog # MAB7678) . This experiment was conducted under reducing conditions and using the 12-230 kDa separation system.

Applications for Human Aldo-keto Reductase 1C3/AKR1C3 Antibody

Application
Recommended Usage

Immunocytochemistry

8-25 µg/mL
Sample: Immersion fixed LNCaP human prostate cancer cell line stimulated with 50 ng/mL Recombinant Human/Mouse/Rat ActivinA (Catalog # 338-AC) for 24 hrs

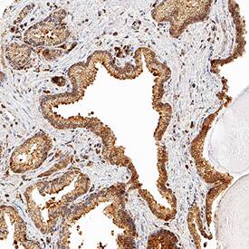
Immunohistochemistry

1-25 µg/mL
Sample: Immersion fixed paraffin-embedded sections of human prostate

Simple Western

5 µg/mL
Sample: A549 human lung carcinoma cell line and HepG2 human hepatocellular carcinoma cell line

Western Blot

0.5 µg/mL
Sample: A549 human lung carcinoma cell line and HepG2 human hepatocellular carcinoma cell line

Reviewed Applications

Read 2 reviews rated 5 using MAB7678 in the following applications:

Formulation, Preparation, and Storage

Purification

Protein A or G purified from hybridoma culture supernatant

Reconstitution

Reconstitute at 0.5 mg/mL in sterile PBS. For liquid material, refer to CoA for concentration.

Reconstitution Buffer Available:
Size / Price
Qty
Loading...

Formulation

Lyophilized from a 0.2 μm filtered solution in PBS with Trehalose. *Small pack size (SP) is supplied either lyophilized or as a 0.2 µm filtered solution in PBS.

Shipping

Lyophilized product is shipped at ambient temperature. Liquid small pack size (-SP) is shipped with polar packs. Upon receipt, store immediately at the temperature recommended below.

Stability & Storage

Use a manual defrost freezer and avoid repeated freeze-thaw cycles.
  • 12 months from date of receipt, -20 to -70 °C as supplied.
  • 1 month, 2 to 8 °C under sterile conditions after reconstitution.
  • 6 months, -20 to -70 °C under sterile conditions after reconstitution.

Background: Aldo-keto Reductase 1C3/AKR1C3

AKR1C3 (Aldo-Keto Reductase family 1 member C3; also 17-beta HSD 5, prostaglandin F synthase/PGFS and 3-alpha HSD type 2) is a 35-36 kDa member of the four gene 3-alpha HSD family, aldo-keto reductase superfamily of enzymes. It is expressed by multiple cell types, including prostate epithelium, T cells, and hepatocytes. AKR1C3 generates testosterone and progesterone, catalyzes the conversion of aldehydes and ketones into alcohols, and the mediates the reduction of prostaglandin D2 into PGF2. Human AKR1C3 is 323 amino acids (aa) in length. There are three potential isoform variants. One contains an alternative start site at Met120, a second shows a five aa substitution for aa 1-28, and a third possesses a 15 aa substitution for aa 124-323. Full-length human AKR1C3 shares 73% aa sequence identity with mouse AKR1C3.

Long Name

Aldo-keto Reductase Family 1, Member C3

Alternate Names

AKR1C3, AldoketoReductase 1C3, DD3, DDX, HA1753, HAKRB, HSD17B5, PGFS

Entrez Gene IDs

8644 (Human); 105349 (Mouse); 171516 (Rat)

Gene Symbol

AKR1C3

UniProt

Additional Aldo-keto Reductase 1C3/AKR1C3 Products

Product Documents for Human Aldo-keto Reductase 1C3/AKR1C3 Antibody

Certificate of Analysis

To download a Certificate of Analysis, please enter a lot number in the search box below.

Note: Certificate of Analysis not available for kit components.

Product Specific Notices for Human Aldo-keto Reductase 1C3/AKR1C3 Antibody

For research use only

Loading...
Loading...
Loading...
Loading...
Loading...